共1页/12条首页上一页1下一页尾页
回复:12 阅读:3038
纵膈占位,新加免疫组化

xclbljys 离线

帖子:5253
粉蓝豆:224
经验:7005
注册时间:2008-11-21
加关注  |  发消息
楼主 发表于 2011-08-29 18:31|举报|关注(0)
浏览排序[ 顺序 逆序 楼主 支持 精彩 ]  快捷回复

  

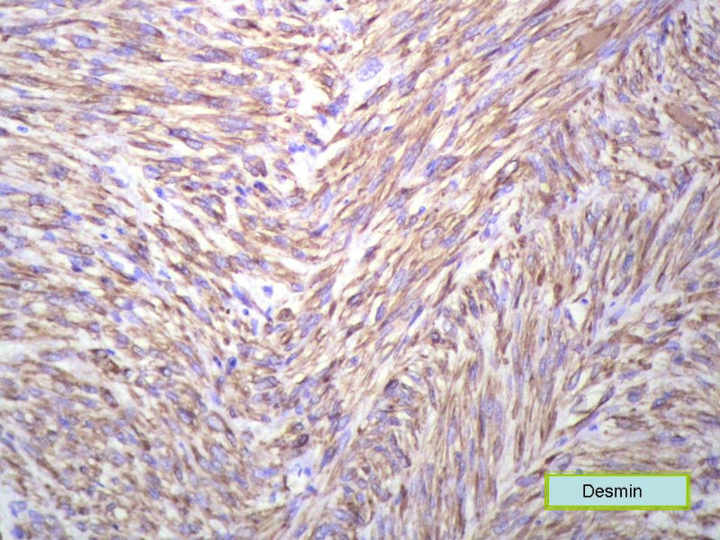
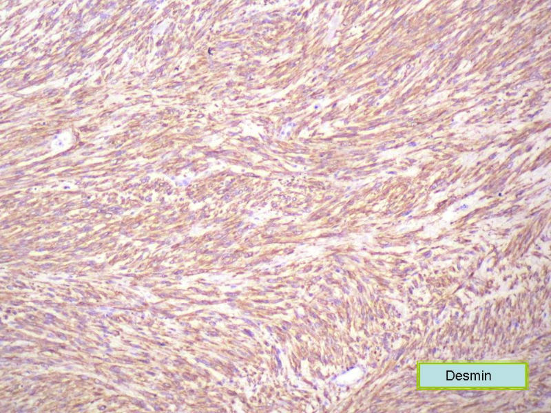
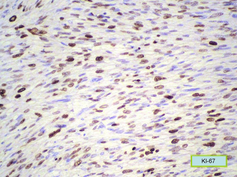
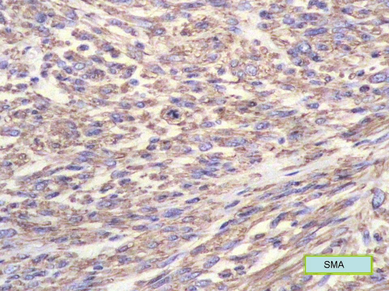
女,71岁,胸闷2月余,CT提示纵膈占位。手术见左肺与胸膜之间有一肿块,与周围粘连,手术切除。肉眼,肿块7X5X3厘米,边界较清楚,切面灰白灰红,质韧。
镜检:核分裂5</10HP
 
  • 纵膈占位,新加免疫组化图1
    图1
  • 纵膈占位,新加免疫组化图2
    图2
  • 纵膈占位,新加免疫组化图3
    图3
  • 纵膈占位,新加免疫组化图4
    图4
  • 纵膈占位,新加免疫组化图5
    图5
  • 纵膈占位,新加免疫组化图6
    图6
  • 纵膈占位,新加免疫组化图7
    图7
  • 纵膈占位,新加免疫组化图8
    图8
  • 纵膈占位,新加免疫组化图9
    图9
  • 纵膈占位,新加免疫组化图10
    图10
  • 纵膈占位,新加免疫组化图11
    图11
  • 纵膈占位,新加免疫组化图12
    图12
  • 纵膈占位,新加免疫组化图13
    图13
标签:
本帖最后由 xclbljys 于 2011-08-31 17:48:51 编辑
0
signature
许春雷
添加参考诊断
×参考诊断
  

天山望月 离线

帖子:4902
粉蓝豆:83
经验:5092
注册时间:2007-02-03
加关注  |  发消息
1 楼    发表于2011-08-29 20:57:24举报|引用
返回顶部 | 快捷回复

梭形细胞肿瘤,高核分裂,考虑恶性,

1、恶性孤立性纤维性肿瘤?

2、肉瘤?纤维、肌源性?

3、恶性间皮瘤?

4、肉瘤样癌?

5、转移肿瘤?

6、MFH。

7、其它

 

1

海上明月
回复
signature
广州金域病理

巴特尔 离线

帖子:117
粉蓝豆:11
经验:1303
注册时间:2011-08-30
加关注  |  发消息
2 楼    发表于2011-08-30 13:53:36举报|引用
返回顶部 | 快捷回复

恶性间皮瘤可能性大除外平滑肌肉瘤、恶性外周神经鞘膜瘤。请做免疫组化。

0
回复
signature
巴特尔

Danrs 离线

帖子:1445
粉蓝豆:176
经验:3050
注册时间:2008-12-09
加关注  |  发消息
3 楼    发表于2011-08-30 18:15:22举报|引用
返回顶部 | 快捷回复

肿瘤细胞梭形,部分核怪异,易见核分裂相。恶性肿瘤。

肿瘤位于肺和胸壁之间,与周围有粘连。我觉得首先要考虑软组织来源的,平滑肌肉瘤、纤维肉瘤、恶性神经鞘瘤、恶性孤立性纤维性肿瘤,肉瘤样癌也不能不考虑。恶性间皮瘤,主要是觉得包块局限,也没有胸腔积液,好像不好考虑。从病史来看,包块不像在肺上,软组织恶性肿瘤的转移,好像不像。

0
回复

3673566 离线

帖子:1879
粉蓝豆:74
经验:3305
注册时间:2006-10-29
加关注  |  发消息
4 楼    发表于2011-08-30 21:57:57举报|引用
返回顶部 | 快捷回复

1、CT提示纵膈占位,手术见肿块位于左肺与胸膜之间;

2、肉眼肿瘤界限清楚,镜下未见明确的肺组织结构;

3、肿瘤细胞束状、编织状排列,部分区间质粘液变性;

4、瘤细胞梭形,有明显的异型性,可见核分裂像。

综上,考虑:(纵隔)恶性梭形细胞肿瘤,首选恶性间皮瘤及恶性外周神经鞘膜瘤。

对待免疫组化.....

0
回复

xiaocaodi 离线

帖子:855
粉蓝豆:46
经验:1917
注册时间:2006-10-21
加关注  |  发消息
5 楼    发表于2011-08-30 22:58:10举报|引用
返回顶部 | 快捷回复

肿瘤细胞呈束状、编织状排列,瘤细胞呈梭形,细胞有异型,可见核分裂,首先考虑平肉,除外恶性神经鞘、恶性SFT,还有胸腺瘤等。

0
回复

海上明月 离线

帖子:9476
粉蓝豆:1172
经验:10007
注册时间:2009-08-29
加关注  |  发消息
6 楼    发表于2011-08-31 00:27:04举报|引用
返回顶部 | 快捷回复

如下顺序考虑鉴别:

1)肉瘤样间皮瘤

2)肺胸膜滑膜肉瘤

3)SFT,恶性

4)纤维肉瘤

其他

0
回复
signature
王军臣

xclbljys 离线

帖子:5253
粉蓝豆:224
经验:7005
注册时间:2008-11-21
加关注  |  发消息
7 楼    发表于2011-08-31 17:47:15举报|引用
返回顶部 | 快捷回复

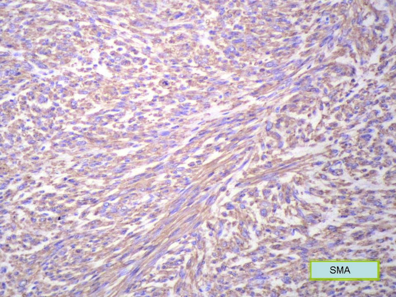
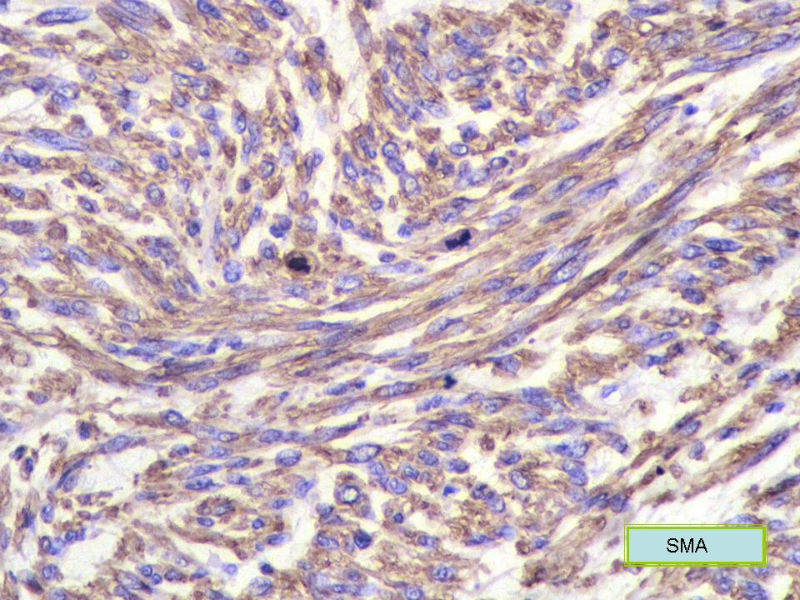
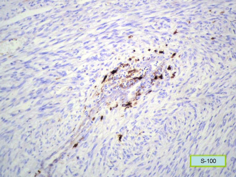
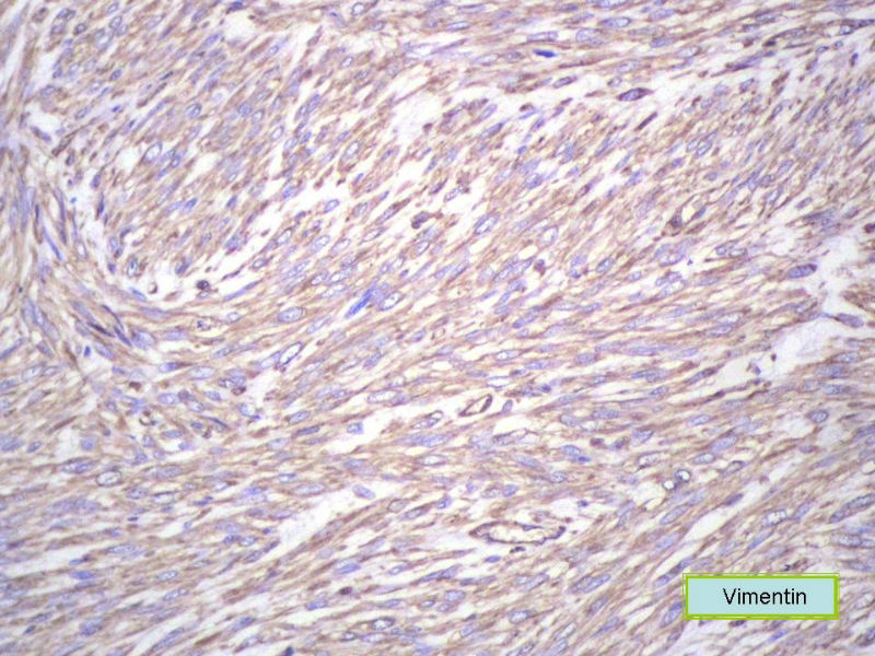
 此例我们诊断为平滑肌肉瘤,因为很少见,请各位老师讨论!


  • 图1
  • 图2
  • 图3
  • 图4
  • 图5
  • 图6
  • 图7
  • 图8
  • 图9
  • 图10
  • 图11
  • 图12
  • 图13
  • 图14

0
回复
signature
许春雷

天山望月 离线

帖子:4902
粉蓝豆:83
经验:5092
注册时间:2007-02-03
加关注  |  发消息
8 楼    发表于2011-08-31 22:44:49举报|引用
返回顶部 | 快捷回复

支持平滑肌肉瘤的诊断,谢谢楼主!

0
回复
signature
广州金域病理

海上明月 离线

帖子:9476
粉蓝豆:1172
经验:10007
注册时间:2009-08-29
加关注  |  发消息
9 楼    发表于2011-09-01 00:52:04举报|引用
返回顶部 | 快捷回复

形态学和免疫组化标记符合平滑肌肉瘤,但要标记Myogenin等鉴别横纹肌肉瘤,标记D2-40、Calretinin等鉴别肉瘤样间皮瘤。

0
回复
signature
王军臣

轻羽飞扬 离线

帖子:445
粉蓝豆:13
经验:882
注册时间:2009-08-13
加关注  |  发消息
10 楼    发表于2011-09-02 22:50:40举报|引用
返回顶部 | 快捷回复

好病例,学习,谢谢许老师。

0
回复
signature
天道酬勤

guofuqiangjing 离线

帖子:791
粉蓝豆:18
经验:954
注册时间:2010-07-22
加关注  |  发消息
11 楼    发表于2011-09-03 07:29:22举报|引用
返回顶部 | 快捷回复

形态学和免疫组化标记符合平滑肌肉瘤!支持!

但要标记Myogenin等鉴别横纹肌肉瘤,标记D2-40、Calretinin等鉴别肉瘤样间皮瘤。

学习!谢谢!

0
回复

wy1992 离线

帖子:4858
粉蓝豆:1
经验:7320
注册时间:2007-06-30
加关注  |  发消息
12 楼    发表于2011-09-03 09:34:32举报|引用
返回顶部 | 快捷回复

支持平滑肌肉瘤的诊断,谢谢楼主!

0
回复
signature

朱正龙

回复:12 阅读:3038
共1页/12条首页上一页1下一页尾页
【免责声明】讨论内容仅作学术交流之用,不作为诊疗依据,由此而引起的法律问题作者及本站不承担任何责任。
快速回复
进入高级回复
您最多可输入10000个汉字,按 "Ctrl" + "Enter" 直接发送
搜索回复/乘电梯 ×
按内容
按会员
乘电梯
合作伙伴
友情链接