共1页/9条首页上一页1下一页尾页
回复:9 阅读:3398
大家也看看非妇科的吧,看图说话

huhuu 离线

帖子:193
粉蓝豆:41
经验:1459
注册时间:2011-08-25
加关注  |  发消息
楼主 发表于 2011-08-27 08:50|举报|关注(0)
浏览排序[ 顺序 逆序 楼主 支持 精彩 ]  快捷回复

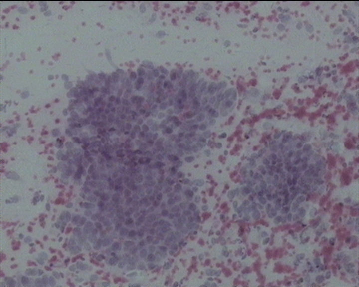
 支气管刷检手工涂片

标签:
0
添加参考诊断
×参考诊断
  

huhuu 离线

帖子:193
粉蓝豆:41
经验:1459
注册时间:2011-08-25
加关注  |  发消息
1 楼    发表于2011-08-27 08:57:01举报|引用
返回顶部 | 快捷回复
本帖最后由 huhuu 于 2011-08-27 09:03:22 编辑

 怎么搞的 传不了图片

 老是等待上传,上传的图标总是灰的

0
回复

huhuu 离线

帖子:193
粉蓝豆:41
经验:1459
注册时间:2011-08-25
加关注  |  发消息
2 楼    发表于2011-08-27 09:42:07举报|引用
返回顶部 | 快捷回复
  • 图1
  • 图2
  • 图3
  • 图4
  • 图5
  • 图6

 

0
回复

xrff 离线

帖子:212
粉蓝豆:37
经验:972
注册时间:2008-06-21
加关注  |  发消息
3 楼    发表于2011-08-27 23:20:41举报|引用
返回顶部 | 快捷回复

小细胞恶性肿瘤

0
回复

huhuu 离线

帖子:193
粉蓝豆:41
经验:1459
注册时间:2011-08-25
加关注  |  发消息
4 楼    发表于2011-08-29 08:51:00举报|引用
返回顶部 | 快捷回复

 郁闷,肺穿刺活检没穿到

0
回复

hanbing 离线

帖子:655
粉蓝豆:55
经验:6018
注册时间:2008-04-05
加关注  |  发消息
5 楼    发表于2011-08-29 16:03:07举报|引用
返回顶部 | 快捷回复

小细胞癌

0
回复

wsp456 离线

帖子:208
粉蓝豆:575
经验:633
注册时间:2008-12-02
加关注  |  发消息
6 楼    发表于2011-08-30 22:23:03举报|引用
返回顶部 | 快捷回复

小细胞恶性肿瘤

0
回复

老油 离线

帖子:236
粉蓝豆:525
经验:247
注册时间:2010-11-16
加关注  |  发消息
7 楼    发表于2011-08-31 23:16:05举报|引用
返回顶部 | 快捷回复

 找到低分化癌细胞,首先考虑低分化神经内分泌癌。

0
回复

feiyanwen 离线

帖子:200
粉蓝豆:3
经验:201
注册时间:2011-03-19
加关注  |  发消息
8 楼    发表于2011-09-02 04:28:58举报|引用
返回顶部 | 快捷回复

 小细胞癌

0
回复
signature
费晏文

常乐无限 离线

帖子:768
粉蓝豆:23
经验:833
注册时间:2012-07-02
加关注  |  发消息
9 楼    发表于2012-08-08 14:29:20举报|引用
返回顶部 | 快捷回复
引用 8 楼 feiyanwen 在 2011-09-02 04:28:58 的发言:

 小细胞癌


0
回复
signature
从微观世界寻求真理,是一件快乐的事情!
回复:9 阅读:3398
共1页/9条首页上一页1下一页尾页
【免责声明】讨论内容仅作学术交流之用,不作为诊疗依据,由此而引起的法律问题作者及本站不承担任何责任。
快速回复
进入高级回复
您最多可输入10000个汉字,按 "Ctrl" + "Enter" 直接发送
搜索回复/乘电梯 ×
按内容
按会员
乘电梯
合作伙伴
友情链接