共3页/44条首页上一页123下一页尾页
回复:44 阅读:12563
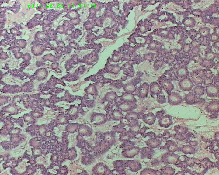
76岁女性卵巢巨大囊性肿物

samool 离线

帖子:250
粉蓝豆:11
经验:389
注册时间:2006-11-29
加关注  |  发消息
楼主 发表于 2011-08-26 17:55|举报|关注(12)
浏览排序[ 顺序 逆序 楼主 支持 精彩 ]  快捷回复

 卵巢肿物,大小18*14*10cm

  • 76岁女性卵巢巨大囊性肿物图1
    图1
  • 76岁女性卵巢巨大囊性肿物图2
    图2
  • 76岁女性卵巢巨大囊性肿物图3
    图3
  • 76岁女性卵巢巨大囊性肿物图4
    图4
  • 76岁女性卵巢巨大囊性肿物图5
    图5
  • 76岁女性卵巢巨大囊性肿物图6
    图6
  • 76岁女性卵巢巨大囊性肿物图7
    图7
  • 76岁女性卵巢巨大囊性肿物图8
    图8
  • 76岁女性卵巢巨大囊性肿物图9
    图9
  • 76岁女性卵巢巨大囊性肿物图10
    图10
  • 76岁女性卵巢巨大囊性肿物图11
    图11
  • 76岁女性卵巢巨大囊性肿物图12
    图12
  • 76岁女性卵巢巨大囊性肿物图13
    图13
  • 76岁女性卵巢巨大囊性肿物图14
    图14
  • 76岁女性卵巢巨大囊性肿物图15
    图15
  • 76岁女性卵巢巨大囊性肿物图16
    图16
  • 76岁女性卵巢巨大囊性肿物图17
    图17

,切面灰黄色,中央见一囊腔,12*4cm大小,未见内容物,内壁光滑。囊壁厚约4cm。

标签:
本帖最后由 samool 于 2011-08-26 17:56:36 编辑
0
添加参考诊断
×参考诊断
  

wangdingding 离线

帖子:1474
粉蓝豆:98
经验:6042
注册时间:2006-10-19
加关注  |  发消息
7 楼    发表于2011-08-27 10:29:33举报|引用
返回顶部 | 快捷回复

1、类癌               2、 颗粒细胞瘤可用免疫组化

0
回复

naonao 离线

帖子:35
粉蓝豆:1943
经验:70
注册时间:2008-07-08
加关注  |  发消息
14 楼    发表于2011-08-28 12:15:00举报|引用
返回顶部 | 快捷回复

学习,期待组化结果

0
回复
signature

快乐之星 离线

帖子:855
粉蓝豆:35
经验:1881
注册时间:2009-06-08
加关注  |  发消息
15 楼    发表于2011-08-28 15:33:08举报|引用
返回顶部 | 快捷回复

学习,期待结果

0
回复
signature
把握今天,展望明天

lcyxxm 离线

帖子:13332
粉蓝豆:9
经验:14051
注册时间:2006-10-25
加关注  |  发消息
39 楼    发表于2012-08-17 20:32:47举报|引用
返回顶部 | 快捷回复
引用 28 楼 洋洋洒洒 在 2012-03-10 21:05:27 的发言:

支持类癌。谢谢老师的辛勤付出。


0
回复
signature

samool 离线

帖子:250
粉蓝豆:11
经验:389
注册时间:2006-11-29
加关注  |  发消息
20 楼    发表于2011-08-30 09:01:19举报|引用
返回顶部 | 快捷回复
引用:17 楼 在 2011-08-28 20:45:42 的发言:

倾向类癌,免疫标记什么结果?

 病人家属不愿意做进一步检查。

0
回复

kint123 离线

帖子:1620
粉蓝豆:240
经验:2095
注册时间:2009-01-31
加关注  |  发消息
9 楼    发表于2011-08-27 15:42:22举报|引用
返回顶部 | 快捷回复

图7的两种不同分化上皮之间是个什么关系?移行还是共存?

卵巢类癌还是比较少见的,以前赵老师发的一个性索间质肿瘤的组织学变型中,好像有类似的图

http://www.ipathology.cn/channel/detail/name/bbs/view/ASC/article/169712.html

 

0
回复
signature
The More We See, The Less We Know!

子龙 离线

帖子:101
粉蓝豆:802
经验:849
注册时间:2007-11-22
加关注  |  发消息
10 楼    发表于2011-08-27 16:20:55举报|引用
返回顶部 | 快捷回复

考虑类癌

0
回复

litaishengpo 离线

帖子:47
粉蓝豆:4
经验:48
注册时间:2012-10-13
加关注  |  发消息
44 楼    发表于2013-01-08 20:31:49举报|引用
返回顶部 | 快捷回复

1、类癌

               2、Sertoli细胞瘤

               3颗粒细胞瘤

囊壁没有畸胎瘤成分吗,有的话类癌可能性大

0
回复

samool 离线

帖子:250
粉蓝豆:11
经验:389
注册时间:2006-11-29
加关注  |  发消息
1 楼    发表于2011-08-26 17:58:54举报|引用
返回顶部 | 快捷回复
此3张图片为宫颈处组织
  • 图1
  • 图2
  • 图3

 

0
回复

mint 离线

帖子:5
粉蓝豆:1
经验:11
注册时间:2009-08-25
加关注  |  发消息
17 楼    发表于2011-08-28 20:45:42举报|引用
返回顶部 | 快捷回复

倾向类癌,免疫标记什么结果?

0
回复

lindongliang2008 离线

帖子:259
粉蓝豆:8
经验:914
注册时间:2009-11-11
加关注  |  发消息
18 楼    发表于2011-08-28 20:51:46举报|引用
返回顶部 | 快捷回复

就类癌了吧

0
回复

zhenshijian 离线

帖子:1069
粉蓝豆:91
经验:1364
注册时间:2008-04-20
加关注  |  发消息
19 楼    发表于2011-08-28 20:52:31举报|引用
返回顶部 | 快捷回复
引用 13 楼 cqzhao 在 2011-08-28 05:54:35 的发言:

 DDX: 类癌, epithelial tumor, sex cord tumor. Do some stains 

Chromogranin, synaptophysin

EMA, CK7

inhibinm calretinin


0
回复

dashan366 离线

帖子:69
粉蓝豆:10
经验:725
注册时间:2010-08-21
加关注  |  发消息
11 楼    发表于2011-08-27 20:14:56举报|引用
返回顶部 | 快捷回复

支持类癌。

0
回复
signature
王术元

月儿 离线

帖子:1877
粉蓝豆:67
经验:2039
注册时间:2006-09-25
加关注  |  发消息
2 楼    发表于2011-08-26 20:01:53举报|引用
返回顶部 | 快捷回复

支持?类癌?宫颈处是污染

0
回复

我是丫丫 离线

帖子:213
粉蓝豆:52
经验:549
注册时间:2009-02-20
加关注  |  发消息
4 楼    发表于2011-08-26 20:19:09举报|引用
返回顶部 | 快捷回复

学习中。(考虑颗粒细胞瘤)

0
回复

yanru 离线

帖子:31
粉蓝豆:21
经验:156
注册时间:2011-02-28
加关注  |  发消息
12 楼    发表于2011-08-27 21:19:25举报|引用
返回顶部 | 快捷回复

我倾向于类癌需做一些免疫组化和颗粒细胞瘤鉴别!

0
回复

未知陨石 离线

帖子:479
粉蓝豆:13
经验:559
注册时间:2010-09-11
加关注  |  发消息
22 楼    发表于2011-11-03 21:08:20举报|引用
返回顶部 | 快捷回复

 支持细胞瘤,伴性索分化的生殖细胞肿瘤,类癌,转移性腺癌

0
回复
signature

明浩 离线

帖子:491
粉蓝豆:1381
经验:1100
注册时间:2010-05-13
加关注  |  发消息
24 楼    发表于2011-12-02 00:33:07举报|引用
返回顶部 | 快捷回复

类癌

 

0
回复
signature

花诺盛开蝴蝶自来,你诺精彩天自安排。。。

cqzhao 离线

帖子:5518
粉蓝豆:1071
经验:5755
注册时间:2008-09-29
加关注  |  发消息
13 楼    发表于2011-08-28 05:54:35举报|引用
返回顶部 | 快捷回复

 DDX: 类癌, epithelial tumor, sex cord tumor. Do some stains 

Chromogranin, synaptophysin

EMA, CK7

inhibinm calretinin

0
回复

hu8afu 离线

帖子:1177
粉蓝豆:35
经验:1230
注册时间:2009-02-11
加关注  |  发消息
40 楼    发表于2012-10-10 21:24:53举报|引用
返回顶部 | 快捷回复

 类癌

0
回复
回复:44 阅读:12563
共3页/44条首页上一页123下一页尾页
【免责声明】讨论内容仅作学术交流之用,不作为诊疗依据,由此而引起的法律问题作者及本站不承担任何责任。
快速回复
进入高级回复
您最多可输入10000个汉字,按 "Ctrl" + "Enter" 直接发送
搜索回复/乘电梯 ×
按内容
按会员
乘电梯
合作伙伴
友情链接