共3页/44条首页上一页123下一页尾页
回复:44 阅读:12548
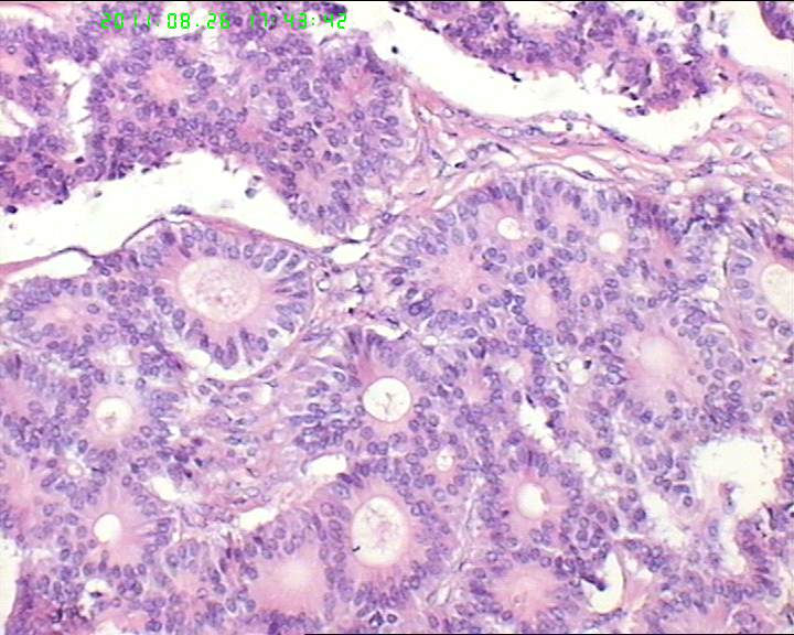
76岁女性卵巢巨大囊性肿物

samool 离线

帖子:250
粉蓝豆:11
经验:389
注册时间:2006-11-29
加关注  |  发消息
楼主 发表于 2011-08-26 17:55|举报|关注(12)
浏览排序[ 顺序 逆序 楼主 支持 精彩 ]  快捷回复

 卵巢肿物,大小18*14*10cm

  • 76岁女性卵巢巨大囊性肿物图1
    图1
  • 76岁女性卵巢巨大囊性肿物图2
    图2
  • 76岁女性卵巢巨大囊性肿物图3
    图3
  • 76岁女性卵巢巨大囊性肿物图4
    图4
  • 76岁女性卵巢巨大囊性肿物图5
    图5
  • 76岁女性卵巢巨大囊性肿物图6
    图6
  • 76岁女性卵巢巨大囊性肿物图7
    图7
  • 76岁女性卵巢巨大囊性肿物图8
    图8
  • 76岁女性卵巢巨大囊性肿物图9
    图9
  • 76岁女性卵巢巨大囊性肿物图10
    图10
  • 76岁女性卵巢巨大囊性肿物图11
    图11
  • 76岁女性卵巢巨大囊性肿物图12
    图12
  • 76岁女性卵巢巨大囊性肿物图13
    图13
  • 76岁女性卵巢巨大囊性肿物图14
    图14
  • 76岁女性卵巢巨大囊性肿物图15
    图15
  • 76岁女性卵巢巨大囊性肿物图16
    图16
  • 76岁女性卵巢巨大囊性肿物图17
    图17

,切面灰黄色,中央见一囊腔,12*4cm大小,未见内容物,内壁光滑。囊壁厚约4cm。

标签:
本帖最后由 samool 于 2011-08-26 17:56:36 编辑
0
添加参考诊断
×参考诊断
  

huyb2010 离线

帖子:4005
粉蓝豆:186
经验:4472
注册时间:2010-11-30
加关注  |  发消息
21 楼    发表于2011-11-03 20:48:38举报|引用
返回顶部 | 快捷回复

学习了

0
回复
signature

路在脚下......

未知陨石 离线

帖子:479
粉蓝豆:13
经验:559
注册时间:2010-09-11
加关注  |  发消息
22 楼    发表于2011-11-03 21:08:20举报|引用
返回顶部 | 快捷回复

 支持细胞瘤,伴性索分化的生殖细胞肿瘤,类癌,转移性腺癌

0
回复
signature

linyguo 离线

帖子:2365
粉蓝豆:43
经验:2514
注册时间:2009-08-09
加关注  |  发消息
23 楼    发表于2011-12-01 23:17:39举报|引用
返回顶部 | 快捷回复

类癌

0
回复

明浩 离线

帖子:491
粉蓝豆:1381
经验:1100
注册时间:2010-05-13
加关注  |  发消息
24 楼    发表于2011-12-02 00:33:07举报|引用
返回顶部 | 快捷回复

类癌

 

0
回复
signature

花诺盛开蝴蝶自来,你诺精彩天自安排。。。

白桦林 离线

帖子:523
粉蓝豆:414
经验:1411
注册时间:2007-06-21
加关注  |  发消息
25 楼    发表于2011-12-02 10:05:01举报|引用
返回顶部 | 快捷回复

考虑支持细胞瘤或者类癌,要免疫组化鉴别

0
回复

凌孤寒 离线

帖子:151
粉蓝豆:0
经验:287
注册时间:2009-07-06
加关注  |  发消息
26 楼    发表于2011-12-02 10:06:45举报|引用
返回顶部 | 快捷回复

不能排除性索间质肿瘤

0
回复

病理020 离线

帖子:1344
粉蓝豆:5580
经验:1814
注册时间:2011-10-02
加关注  |  发消息
27 楼    发表于2011-12-02 10:09:13举报|引用
返回顶部 | 快捷回复

卵巢囊性颗粒细胞瘤

0
回复
signature
邓学田

洋洋洒洒 离线

帖子:1445
粉蓝豆:256
经验:2479
注册时间:2010-12-13
加关注  |  发消息
28 楼    发表于2012-03-10 21:05:27举报|引用
返回顶部 | 快捷回复

支持类癌。谢谢老师的辛勤付出。

0
回复

200406 离线

帖子:1385
粉蓝豆:145
经验:2735
注册时间:2011-08-08
加关注  |  发消息
29 楼    发表于2012-05-25 23:41:38举报|引用
返回顶部 | 快捷回复

Sertoli细胞瘤,宫颈污染。

0
回复

vitamin-xbl 离线

帖子:383
粉蓝豆:0
经验:431
注册时间:2007-04-03
加关注  |  发消息
30 楼    发表于2012-05-26 17:25:47举报|引用
返回顶部 | 快捷回复

恶性肿瘤,可能是一般的上皮性肿瘤,也可能是神经内分泌肿瘤,需要免疫组化。排除一下颗粒细胞瘤。

0
回复

安迪 离线

帖子:598
粉蓝豆:3525
经验:849
注册时间:2011-03-04
加关注  |  发消息
31 楼    发表于2012-05-26 20:07:17举报|引用
返回顶部 | 快捷回复

类癌

 

0
回复

洋洋洒洒 离线

帖子:1445
粉蓝豆:256
经验:2479
注册时间:2010-12-13
加关注  |  发消息
32 楼    发表于2012-05-28 11:24:57举报|引用
返回顶部 | 快捷回复

 病人家属不愿意做进一步检查。真不孝.。

0
回复

热爱病理的人 离线

帖子:1585
粉蓝豆:2372
经验:2048
注册时间:2012-05-28
加关注  |  发消息
33 楼    发表于2012-05-29 22:26:05举报|引用
返回顶部 | 快捷回复

类癌,我们也遇到过一例,是以便秘为首发症状

0
回复
signature
这样的路,还需要走很久很久......

晓明 离线

帖子:1630
粉蓝豆:56
经验:1784
注册时间:2010-02-02
加关注  |  发消息
34 楼    发表于2012-05-29 23:12:32举报|引用
返回顶部 | 快捷回复

1、类癌    2|、Sertoli细胞瘤  3、 颗粒细胞瘤4,卵黄囊瘤

1

李丹
回复
signature
典型中看不典型,不典型中找典型。

病理部落酋长 离线

帖子:27
粉蓝豆:2
经验:99
注册时间:2011-10-01
加关注  |  发消息
35 楼    发表于2012-06-30 17:47:01举报|引用
返回顶部 | 快捷回复

类癌

0
回复

200406 离线

帖子:1385
粉蓝豆:145
经验:2735
注册时间:2011-08-08
加关注  |  发消息
36 楼    发表于2012-06-30 19:01:02举报|引用
返回顶部 | 快捷回复

类癌,宫颈处为污染.

0
回复

涛哥 离线

帖子:14
粉蓝豆:155
经验:143
注册时间:2011-07-13
加关注  |  发消息
37 楼    发表于2012-07-01 22:04:11举报|引用
返回顶部 | 快捷回复

 类癌,免疫组化,排除颗粒细胞瘤

0
回复
signature
爱好太广泛,所以成不了专家。

redsnow007 离线

帖子:329
粉蓝豆:5
经验:999
注册时间:2008-01-01
加关注  |  发消息
38 楼    发表于2012-08-17 16:20:33举报|引用
返回顶部 | 快捷回复

首先类癌,与性索-间质肿瘤鉴别

0
回复

lcyxxm 离线

帖子:13332
粉蓝豆:9
经验:14051
注册时间:2006-10-25
加关注  |  发消息
39 楼    发表于2012-08-17 20:32:47举报|引用
返回顶部 | 快捷回复
引用 28 楼 洋洋洒洒 在 2012-03-10 21:05:27 的发言:

支持类癌。谢谢老师的辛勤付出。


0
回复
signature

hu8afu 离线

帖子:1177
粉蓝豆:35
经验:1230
注册时间:2009-02-11
加关注  |  发消息
40 楼    发表于2012-10-10 21:24:53举报|引用
返回顶部 | 快捷回复

 类癌

0
回复
回复:44 阅读:12548
共3页/44条首页上一页123下一页尾页
【免责声明】讨论内容仅作学术交流之用,不作为诊疗依据,由此而引起的法律问题作者及本站不承担任何责任。
快速回复
进入高级回复
您最多可输入10000个汉字,按 "Ctrl" + "Enter" 直接发送
搜索回复/乘电梯 ×
按内容
按会员
乘电梯
合作伙伴
友情链接