| 图片: | |
|---|---|
| 名称: | |
| 描述: | |
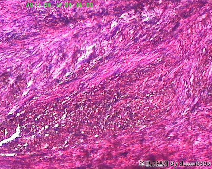
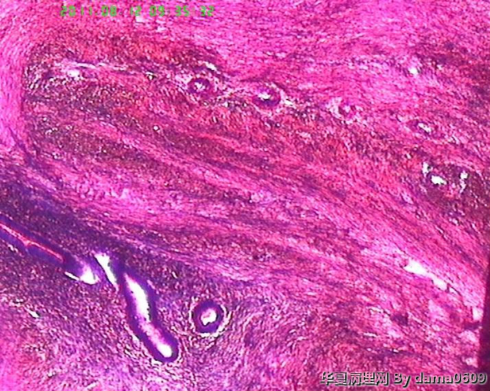
老师好!以前学生也遇到过此情况,偶尔染出的片子的细胞核的上方会出现黑色的异物,多见于子宫平滑肌瘤的片子。很影响观察核的形态、核分裂像。初以为是苏木素杂质,而且不经常出现,所以没在意。最近此现象很严重,许多的片子都出现此情况,反复过滤苏木素不见好转,新配苏木素也是如此。经过仔细观察,现发现似乎不是杂质,是细胞核上方覆盖着小气泡(如图),不知何故,如何解决??另外一个问题,我们的片子封片后经常出现斑片状或整张片子模糊,似乎树胶没有封到(如图),不只是脱蜡不干净,还是脱水出问题?此想象并不是出现在所有的一批片子上,而是个别。请老师们帮助指点。谢谢。
