共1页/9条首页上一页1下一页尾页
回复:9 阅读:3271
急求老师指导:回盲部肿物肠镜活检。

dama0609 离线

帖子:613
粉蓝豆:1474
经验:708
注册时间:2008-09-08
加关注  |  发消息
楼主 发表于 2011-08-25 20:52|举报|关注(1)
浏览排序[ 顺序 逆序 楼主 支持 精彩 ]  快捷回复

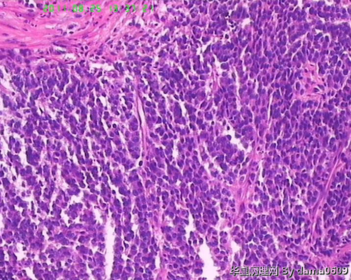
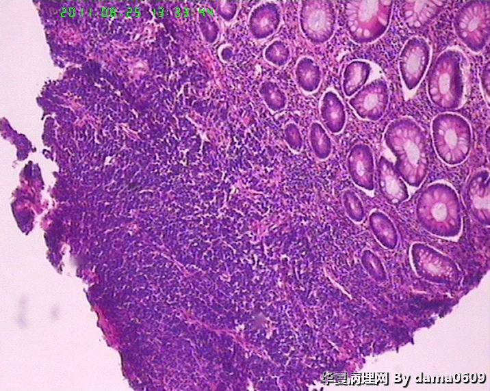
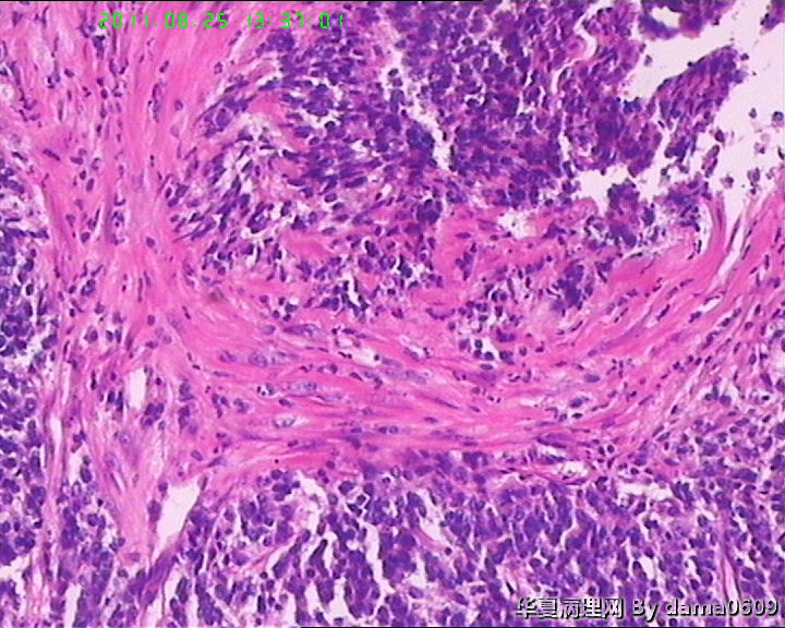
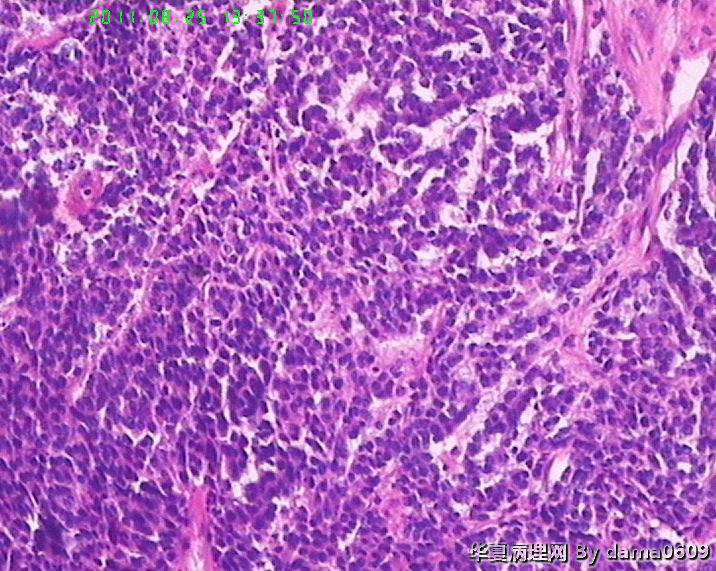
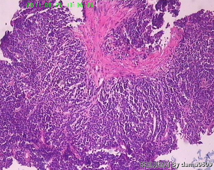
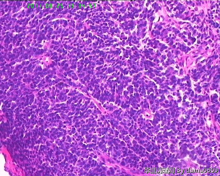
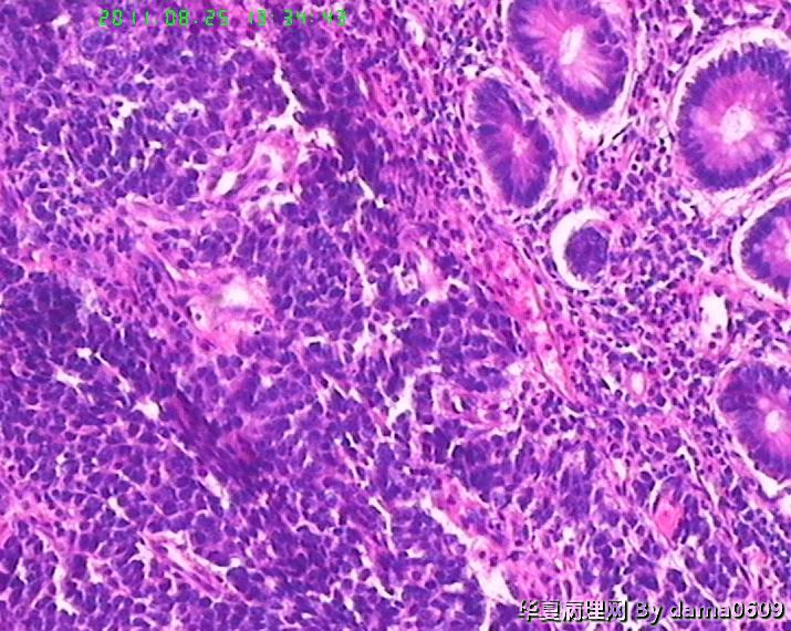
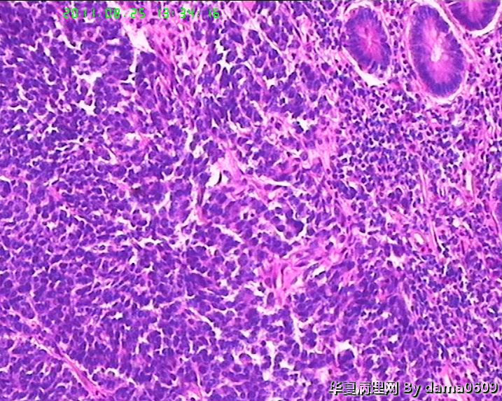
 患者男性,39岁。以回盲部肿物行肠镜检查、活检。镜下四块组织内有两块见呈巢状的小细胞(如图

  • 急求老师指导:回盲部肿物肠镜活检。图1
    图1
  • 急求老师指导:回盲部肿物肠镜活检。图2
    图2
  • 急求老师指导:回盲部肿物肠镜活检。图3
    图3
  • 急求老师指导:回盲部肿物肠镜活检。图4
    图4
  • 急求老师指导:回盲部肿物肠镜活检。图5
    图5
  • 急求老师指导:回盲部肿物肠镜活检。图6
    图6
  • 急求老师指导:回盲部肿物肠镜活检。图7
    图7
  • 急求老师指导:回盲部肿物肠镜活检。图8
    图8
  • 急求老师指导:回盲部肿物肠镜活检。图9
    图9
  • 急求老师指导:回盲部肿物肠镜活检。图10
    图10
  • 急求老师指导:回盲部肿物肠镜活检。图11
    图11
  • 急求老师指导:回盲部肿物肠镜活检。图12
    图12

),另两块为粘膜慢性炎表现及坏死组织。学生不知如何分类:未分化癌?类癌?小细胞癌?请老师指教。谢谢!

标签:
0
signature
过河小马!
添加参考诊断
×参考诊断
  

老四 离线

帖子:153
粉蓝豆:31
经验:347
注册时间:2009-03-28
加关注  |  发消息
1 楼    发表于2011-08-25 21:02:17举报|引用
返回顶部 | 快捷回复

细胞核较小、深染、一致,核分裂象少见,支持典型类癌。

1

我是丫丫
回复

宁静致远 离线

帖子:4242
粉蓝豆:2853
经验:6556
注册时间:2007-03-27
加关注  |  发消息
2 楼    发表于2011-08-25 21:05:04举报|引用
返回顶部 | 快捷回复

神经内分泌肿瘤 淋巴瘤 低分化腺癌。。。

4

小雪

leiyang8..

疆羽

大雪素
回复

dama0609 离线

帖子:613
粉蓝豆:1474
经验:708
注册时间:2008-09-08
加关注  |  发消息
3 楼    发表于2011-08-25 21:11:19举报|引用
返回顶部 | 快捷回复

下午与腔镜医生沟通过,补充腔镜所见:肿物长满回盲部,大概环肠周,表面黏膜溃疡。患者有右下腹压痛,一直怀疑阑尾炎,余无特殊病史、体征。

0
回复
signature
过河小马!

linyguo 离线

帖子:2365
粉蓝豆:43
经验:2514
注册时间:2009-08-09
加关注  |  发消息
4 楼    发表于2011-08-25 21:12:28举报|引用
返回顶部 | 快捷回复

神经内分泌肿瘤

0
回复

dama0609 离线

帖子:613
粉蓝豆:1474
经验:708
注册时间:2008-09-08
加关注  |  发消息
5 楼    发表于2011-08-27 14:55:34举报|引用
返回顶部 | 快捷回复

又仔细看了一下片子,有核仁,见到核分裂,是否可以定“未分化腺癌”呢?

0
回复
signature
过河小马!

kele324 离线

帖子:1430
粉蓝豆:2371
经验:2435
注册时间:2008-01-31
加关注  |  发消息
6 楼    发表于2011-08-28 20:23:42举报|引用
返回顶部 | 快捷回复
引用 5 楼 dama0609 在 2011-08-27 14:55:34 的发言:

又仔细看了一下片子,有核仁,见到核分裂,是否可以定“未分化腺癌”呢?


楼主是想说“未分化癌”?片子切的比较厚,考虑神经内分泌肿瘤,低分化腺癌待排。

0
回复

mint 离线

帖子:5
粉蓝豆:1
经验:11
注册时间:2009-08-25
加关注  |  发消息
7 楼    发表于2011-08-28 20:41:46举报|引用
返回顶部 | 快捷回复

神经内分泌肿瘤?低分化腺癌?标一下神经内分泌标记

1

选选
回复

一了 离线

帖子:2138
粉蓝豆:64
经验:2288
注册时间:2009-03-31
加关注  |  发消息
8 楼    发表于2011-08-28 20:52:36举报|引用
返回顶部 | 快捷回复

低分化腺癌

0
回复

fangg 离线

帖子:1426
粉蓝豆:44
经验:1863
注册时间:2007-01-22
加关注  |  发消息
9 楼    发表于2011-08-29 12:30:13举报|引用
返回顶部 | 快捷回复
高级别癌,活检标本,可做IHC先排除高级别神经内分泌肿瘤。

如果神经内分泌阴性,明确分型等手术根治标本。
0
回复
signature
境随心转
回复:9 阅读:3271
共1页/9条首页上一页1下一页尾页
【免责声明】讨论内容仅作学术交流之用,不作为诊疗依据,由此而引起的法律问题作者及本站不承担任何责任。
快速回复
进入高级回复
您最多可输入10000个汉字,按 "Ctrl" + "Enter" 直接发送
搜索回复/乘电梯 ×
按内容
按会员
乘电梯
合作伙伴
友情链接