共1页/7条首页上一页1下一页尾页
回复:7 阅读:3036
左鼻隔肿物

dujun0522 离线

帖子:406
粉蓝豆:532
经验:2696
注册时间:2008-07-11
加关注  |  发消息
楼主 发表于 2011-08-25 14:41|举报|关注(0)
浏览排序[ 顺序 逆序 楼主 支持 精彩 ]  快捷回复
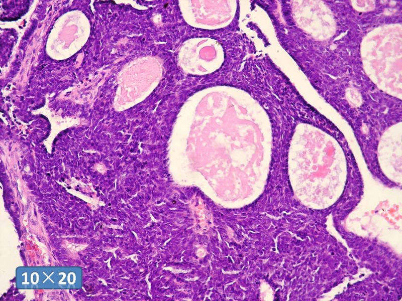
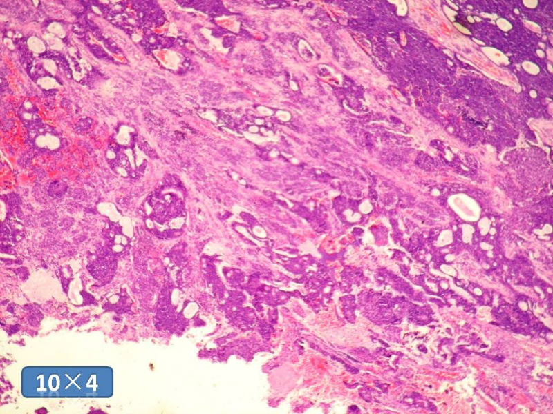
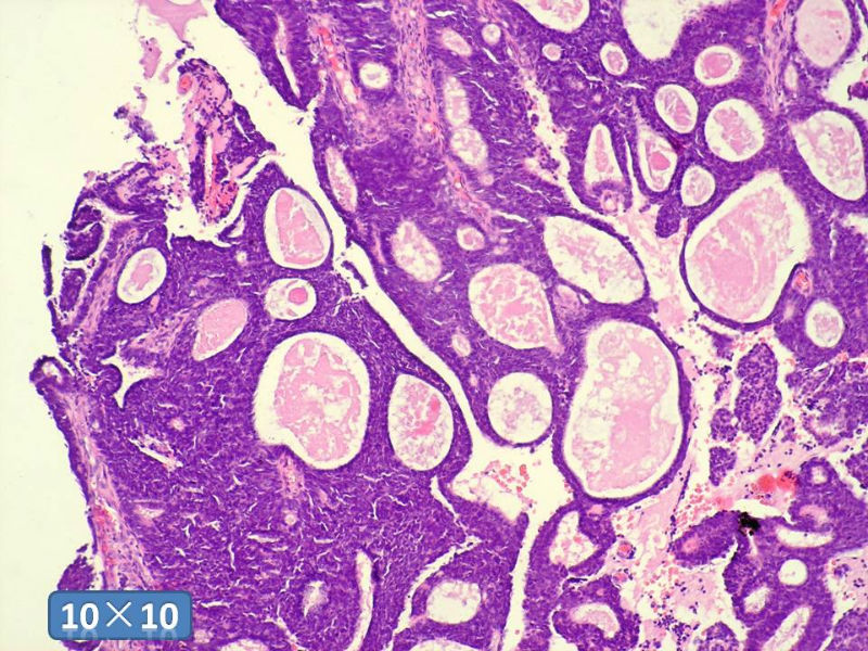
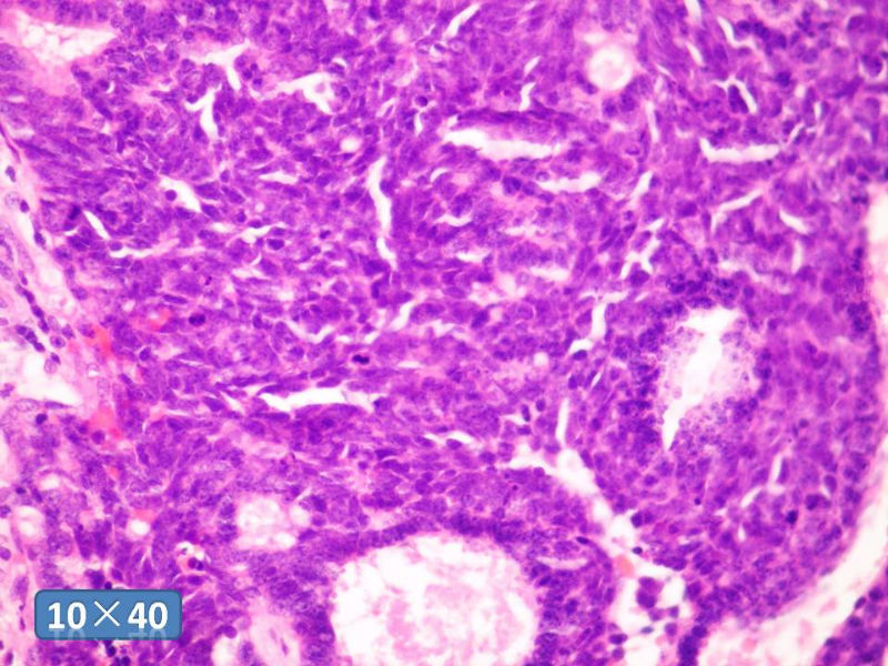
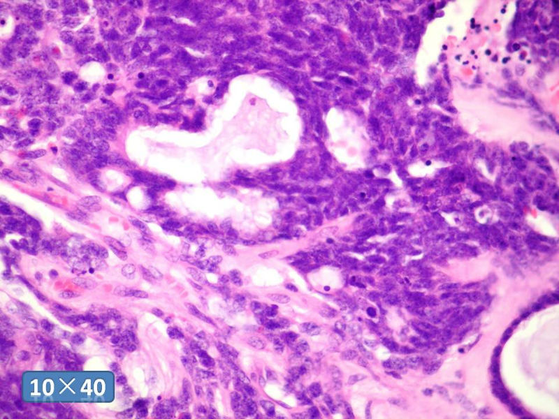
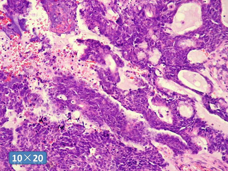
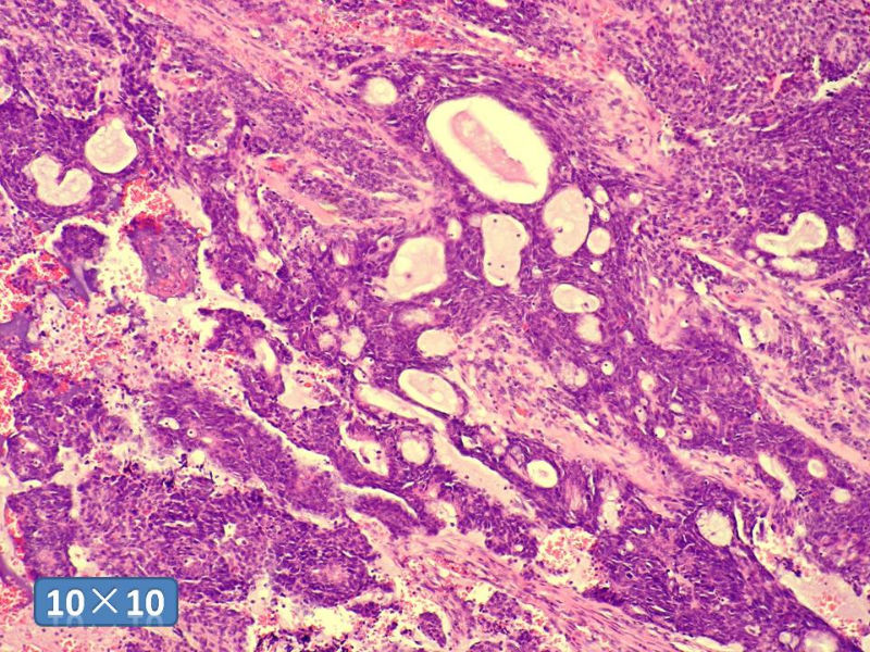
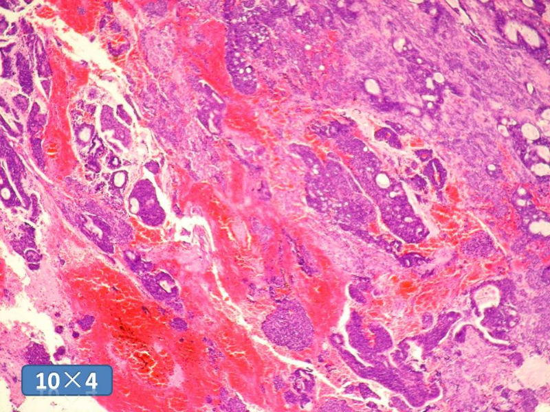
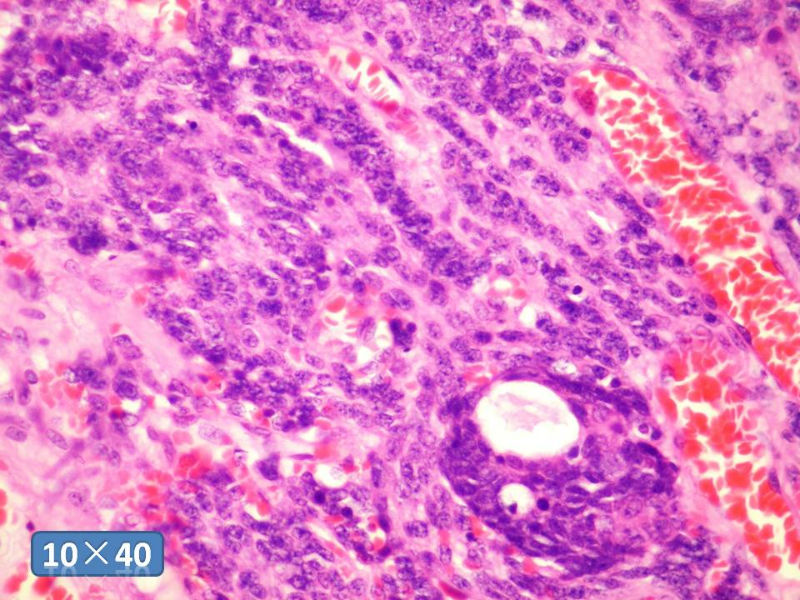
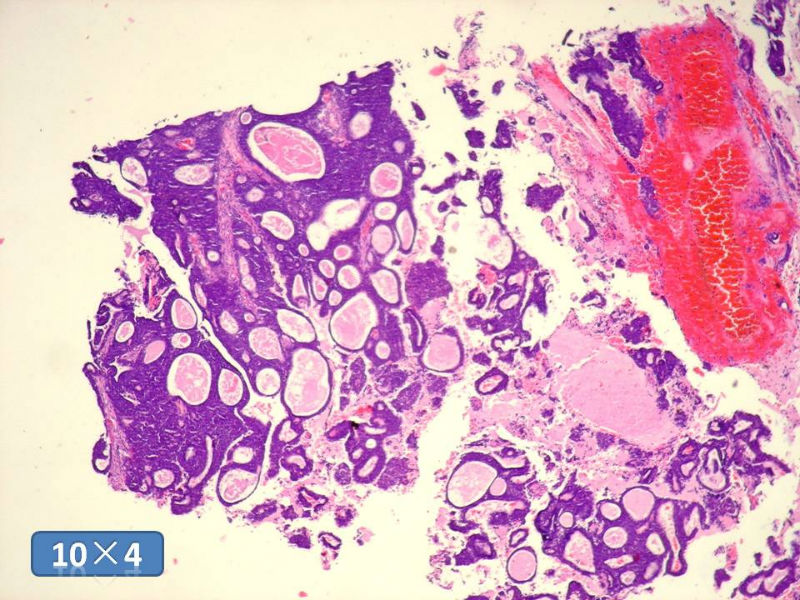
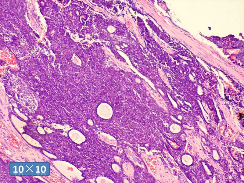
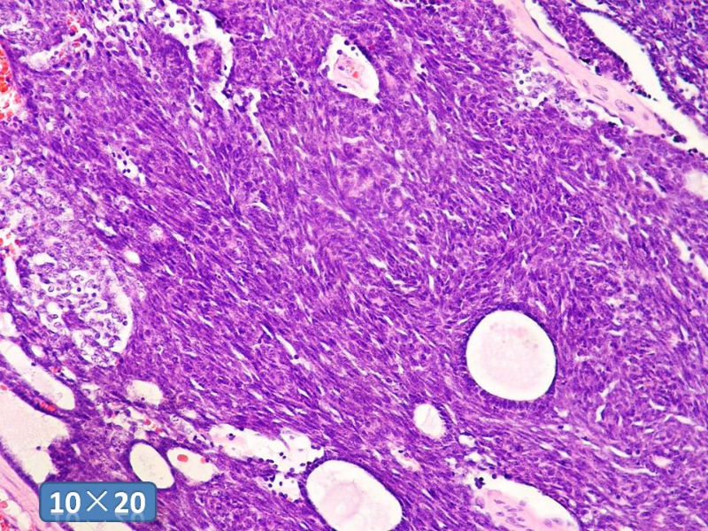
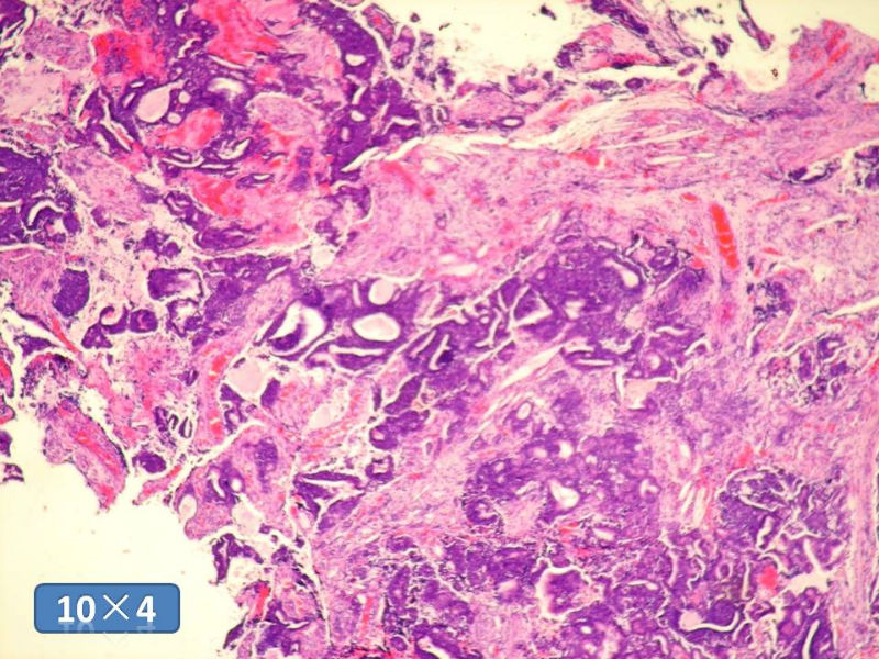
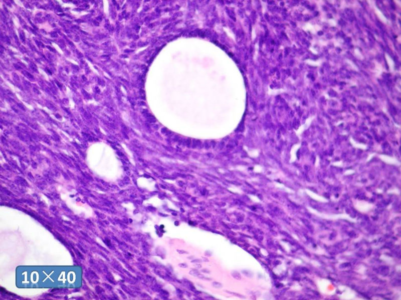
男性,49岁,间断左鼻腔出血3个月。



  • 左鼻隔肿物图1
    图1
  • 左鼻隔肿物图2
    图2
  • 左鼻隔肿物图3
    图3
  • 左鼻隔肿物图4
    图4
  • 左鼻隔肿物图5
    图5
  • 左鼻隔肿物图6
    图6
  • 左鼻隔肿物图7
    图7
  • 左鼻隔肿物图8
    图8
  • 左鼻隔肿物图9
    图9
  • 左鼻隔肿物图10
    图10
  • 左鼻隔肿物图11
    图11
  • 左鼻隔肿物图12
    图12
  • 左鼻隔肿物图13
    图13
  • 左鼻隔肿物图14
    图14
  • 左鼻隔肿物图15
    图15
  • 左鼻隔肿物图16
    图16
  • 左鼻隔肿物图17
    图17
  • 左鼻隔肿物图18
    图18
  • 左鼻隔肿物图19
    图19
  • 左鼻隔肿物图20
    图20
  • 左鼻隔肿物图21
    图21
  • 左鼻隔肿物图22
    图22
  • 左鼻隔肿物图23
    图23
  • 左鼻隔肿物图24
    图24
  • 左鼻隔肿物图25
    图25
  • 左鼻隔肿物图26
    图26
  • 左鼻隔肿物图27
    图27
  • 左鼻隔肿物图28
    图28
  • 左鼻隔肿物图29
    图29

 

标签:是嗅母么?
0
添加参考诊断
×参考诊断
  

XLJin8 离线

帖子:2275
粉蓝豆:1531
经验:2417
注册时间:2009-03-04
加关注  |  发消息
1 楼    发表于2011-08-25 17:55:24举报|引用
返回顶部 | 快捷回复

您的诊断:

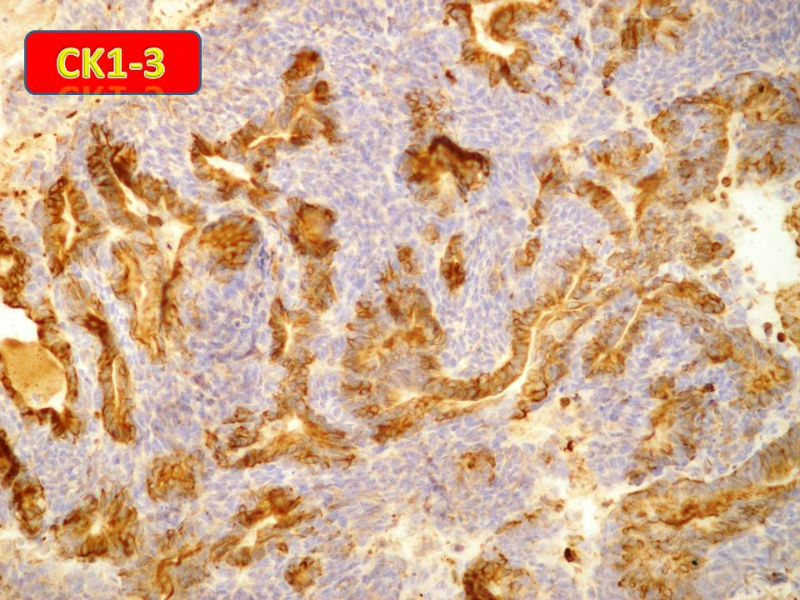
1)嗅神经母细胞瘤?

2)腺肌上皮癌?

3)肌上皮癌?

4)神经内分泌癌?

5)腺样囊性癌?

6)其他?

0
回复
signature
xljin8

xclbljys 离线

帖子:5253
粉蓝豆:224
经验:7005
注册时间:2008-11-21
加关注  |  发消息
2 楼    发表于2011-08-25 19:04:02举报|引用
返回顶部 | 快捷回复

腺肌上皮癌

0
回复
signature
许春雷

羽珩 离线

帖子:797
粉蓝豆:25
经验:1208
注册时间:2010-11-24
加关注  |  发消息
3 楼    发表于2011-08-25 20:29:04举报|引用
返回顶部 | 快捷回复
本帖最后由 羽珩 于 2011-08-25 21:21:06 编辑

感觉要排除畸胎癌肉瘤。

间质为恶性梭形细胞成分,其间感觉是腺体,两种成分密切相关....

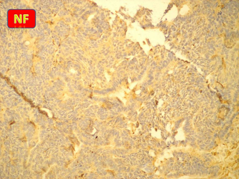
免疫组化S-100的阳性区域方式...嗅母可能性大。

0
回复
signature

炎相羽珹

老四 离线

帖子:153
粉蓝豆:31
经验:347
注册时间:2009-03-28
加关注  |  发消息
4 楼    发表于2011-08-25 20:53:47举报|引用
返回顶部 | 快捷回复

支持嗅神经母细胞瘤(伴有腺体分化)

0
回复

zky2008 离线

帖子:15
粉蓝豆:2
经验:342
注册时间:2010-12-01
加关注  |  发消息
5 楼    发表于2011-08-25 21:21:53举报|引用
返回顶部 | 快捷回复

嗅神经母细胞瘤

1

dujun052..
回复
signature
加油!

小玉 离线

帖子:1609
粉蓝豆:41
经验:2407
注册时间:2009-04-17
加关注  |  发消息
6 楼    发表于2011-08-27 20:01:36举报|引用
返回顶部 | 快捷回复

嗅神经母细胞瘤

0
回复

huisheng97 离线

帖子:263
粉蓝豆:22
经验:285
注册时间:2009-02-13
加关注  |  发消息
7 楼    发表于2011-09-09 19:53:22举报|引用
返回顶部 | 快捷回复

 有上皮和间叶2种结构,畸胎性癌肉瘤是要考虑一下的吧!

0
回复
回复:7 阅读:3036
共1页/7条首页上一页1下一页尾页
【免责声明】讨论内容仅作学术交流之用,不作为诊疗依据,由此而引起的法律问题作者及本站不承担任何责任。
快速回复
进入高级回复
您最多可输入10000个汉字,按 "Ctrl" + "Enter" 直接发送
搜索回复/乘电梯 ×
按内容
按会员
乘电梯
合作伙伴
友情链接