共1页/6条首页上一页1下一页尾页
回复:6 阅读:3898
腹股沟 多枚淋巴结活检

yy369yy 离线

帖子:321
粉蓝豆:27
经验:1131
注册时间:2009-12-18
加关注  |  发消息
楼主 发表于 2011-08-24 19:16|举报|关注(0)
浏览排序[ 顺序 逆序 楼主 支持 精彩 ]  快捷回复

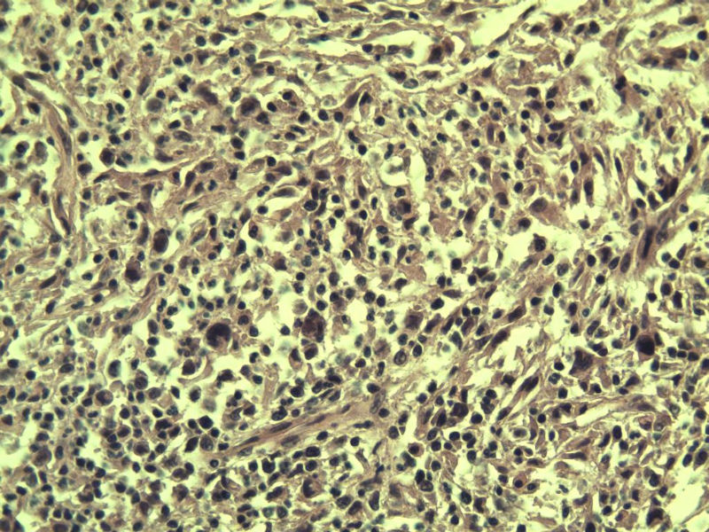
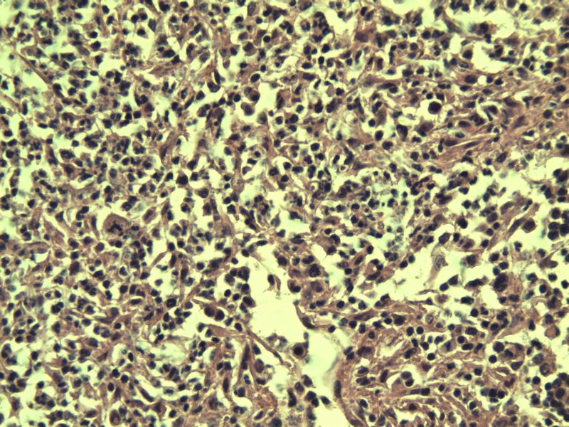
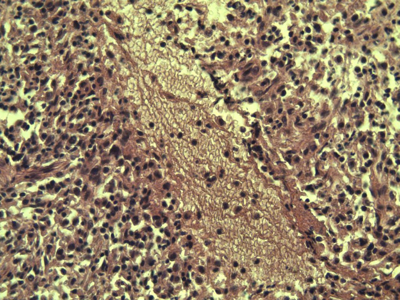
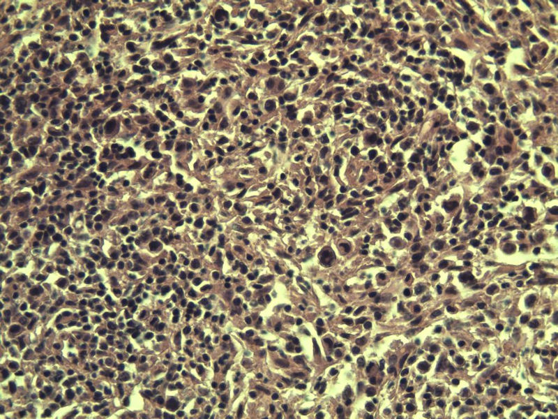
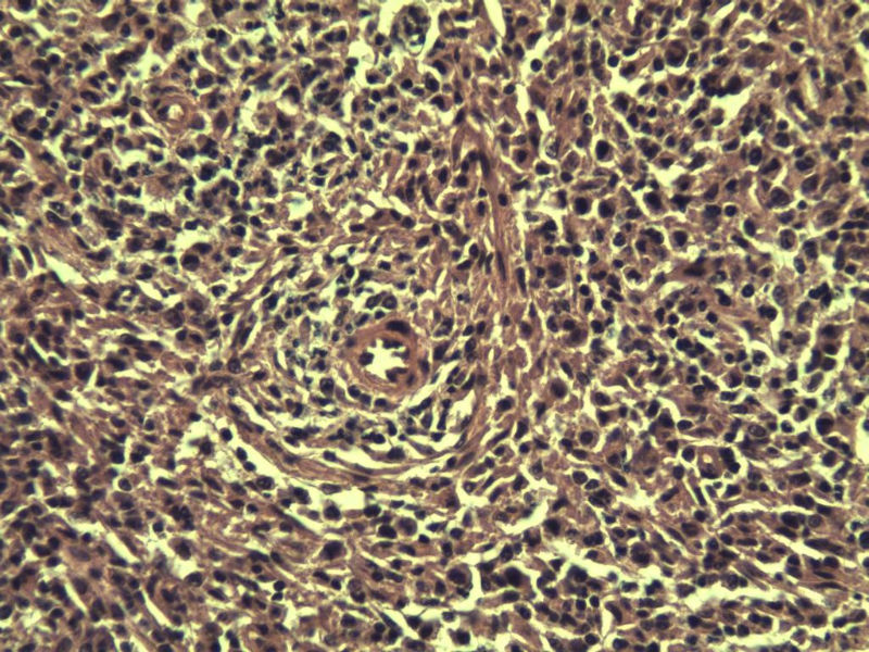
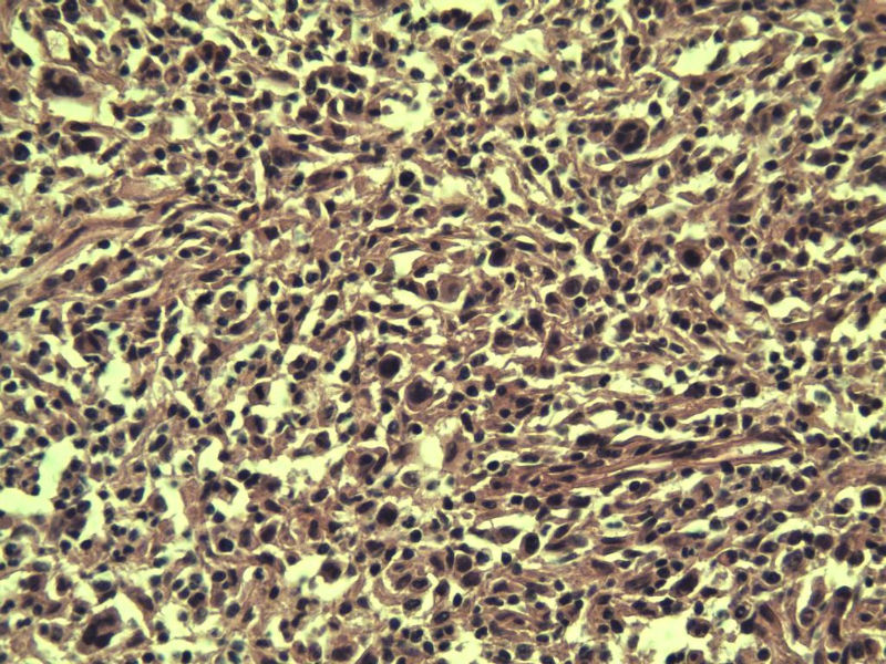
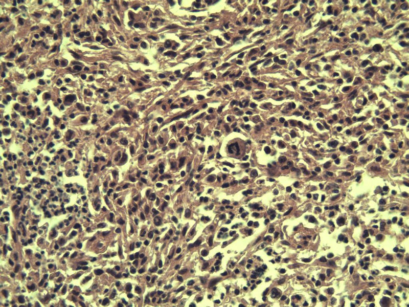
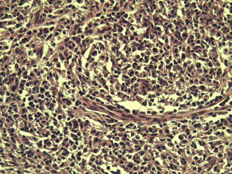
 男,38岁,腹股沟 多枚淋巴结活检  直径 0.2-0.5 请各位老师看看 是什么 谢谢了!
"畏寒,发热咳嗽1年,加重伴腹部疼痛2月" 2月前患者感腹部疼痛不适伴大便呈稀大便,量不详,伴腰骶部疼痛,胸片:纵膈及右肺门多发性淋巴结肿大,进一步完善胸部CT:右肺及中叶病变,纵膈及肺门多发淋巴结肿大,结核性可能,脾脏增大,PPD(-),1个月来患者出现中上腹食欲不振,体重进行性消瘦,全身疲乏无力,3天前到医学院就诊,腹部B超:右肝囊肿,胆囊壁毛糙,脾大,胰周多个减弱回声,淋巴结不能除外,腹水,血常规示:WBC16.36x109 /L,N%14.25%,RBC2.63x1012/L ,HGB 66g/L 。右侧腋窝及腹股沟可扪及多枚淋巴结,压痛,无明显粘连。

腹股沟 多枚淋巴结活检图1
名称:图1
描述:a2.Jpg.jpg
腹股沟 多枚淋巴结活检图2
名称:图2
描述:a3.Jpg.jpg
腹股沟 多枚淋巴结活检图3
名称:图3
描述:a4.Jpg.jpg
腹股沟 多枚淋巴结活检图4
名称:图4
描述:a5.Jpg.jpg
腹股沟 多枚淋巴结活检图5
名称:图5
描述:a6.Jpg.jpg
腹股沟 多枚淋巴结活检图6
名称:图6
描述:a7.Jpg.jpg
腹股沟 多枚淋巴结活检图7
名称:图7
描述:a8.Jpg.jpg
腹股沟 多枚淋巴结活检图8
名称:图8
描述:a9.Jpg.jpg
腹股沟 多枚淋巴结活检图9
名称:图9
描述:a10.Jpg.jpg
腹股沟 多枚淋巴结活检图10
名称:图10
描述:a11.Jpg.jpg
腹股沟 多枚淋巴结活检图11
名称:图11
描述:a12.Jpg.jpg
腹股沟 多枚淋巴结活检图12
名称:图12
描述:a13.Jpg.jpg
腹股沟 多枚淋巴结活检图13
名称:图13
描述:a14.Jpg.jpg
腹股沟 多枚淋巴结活检图14
名称:图14
描述:a15.Jpg.jpg
腹股沟 多枚淋巴结活检图15
名称:图15
描述:a16.Jpg.jpg
腹股沟 多枚淋巴结活检图16
名称:图16
描述:a17.Jpg.jpg
 
标签:
0
添加参考诊断
×参考诊断
  

蔷薇 离线

帖子:846
粉蓝豆:40
经验:1591
注册时间:2007-06-25
加关注  |  发消息
1 楼    发表于2011-08-24 19:38:27举报|引用
返回顶部 | 快捷回复

副皮质区增生,纤维化显著,细胞呈多形性,有一些多核巨细胞及一些异型细胞,病理性核分裂易见,胞浆红染,散在的小淋巴细胞,T细胞淋巴瘤不能除外,树突细胞肉瘤等鉴别。免疫标记。CD21、CD3、CD5、CD10、CD20、CD79a、PD1、CD68、CXCL13、KI-67、CD68、CD163等,据切片选择。不知对否。

0
回复
signature
超越自我,自由飞翔!

薄冰之旅 离线

帖子:1566
粉蓝豆:2098
经验:3456
注册时间:2006-11-05
加关注  |  发消息
2 楼    发表于2011-08-24 20:20:33举报|引用
返回顶部 | 快捷回复

加个鉴别:梭形细胞淋巴瘤(也称肉瘤样淋巴瘤)。依蔷薇开的免疫组化的基础上加个actin看一下。

0
回复

快乐之星 离线

帖子:855
粉蓝豆:35
经验:1881
注册时间:2009-06-08
加关注  |  发消息
3 楼    发表于2011-08-24 20:48:55举报|引用
返回顶部 | 快捷回复

学习中,期待结果

0
回复
signature
把握今天,展望明天

天山望月 离线

帖子:4902
粉蓝豆:83
经验:5092
注册时间:2007-02-03
加关注  |  发消息
4 楼    发表于2011-08-24 21:32:45举报|引用
返回顶部 | 快捷回复

淋巴结正常结构破坏,可见大的异型细胞,上皮样或梭形,恶性肿瘤,依据病史,首先考虑淋巴造血系统疾病,大中小细胞混杂,大细胞多,形态多样,可见多核瘤细胞,除以上考虑外需鉴别间变大、组织细胞肉瘤、指状突/树突细胞肿瘤、HL等,还需排除肉瘤或癌转移,尽管病人年轻,加上ALK、CK、S-100、CD1a。

薄切淋巴结,调好采图色差,图片不是很清楚。

0
回复
signature
广州金域病理

dashan366 离线

帖子:69
粉蓝豆:10
经验:725
注册时间:2010-08-21
加关注  |  发消息
5 楼    发表于2011-08-24 22:11:49举报|引用
返回顶部 | 快捷回复

首先免疫组化除外淋巴瘤及髓系白血病,并建议做骨穿做骨髓细胞学检查

0
回复
signature
王术元

赌具 离线

帖子:380
粉蓝豆:12
经验:801
注册时间:2008-03-06
加关注  |  发消息
6 楼    发表于2011-08-29 22:35:40举报|引用
返回顶部 | 快捷回复

待果

0
回复
signature
平凡一人, 风顺一帆, 平淡一生.
回复:6 阅读:3898
共1页/6条首页上一页1下一页尾页
【免责声明】讨论内容仅作学术交流之用,不作为诊疗依据,由此而引起的法律问题作者及本站不承担任何责任。
快速回复
进入高级回复
您最多可输入10000个汉字,按 "Ctrl" + "Enter" 直接发送
搜索回复/乘电梯 ×
按内容
按会员
乘电梯
合作伙伴
友情链接