共3页/43条首页上一页123下一页尾页
回复:43 阅读:9905
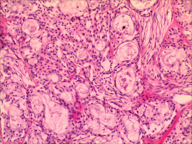
右下颌肿物女26岁 大家帮帮看看

gsls 离线

帖子:32
粉蓝豆:1
经验:48
注册时间:2008-05-17
加关注  |  发消息
楼主 发表于 2011-08-19 14:37|举报|关注(2)
浏览排序[ 顺序 逆序 楼主 支持 精彩 ]  快捷回复

 

  • 右下颌肿物女26岁 大家帮帮看看图1
    图1
  • 右下颌肿物女26岁 大家帮帮看看图2
    图2
  • 右下颌肿物女26岁 大家帮帮看看图3
    图3
  • 右下颌肿物女26岁 大家帮帮看看图4
    图4
  • 右下颌肿物女26岁 大家帮帮看看图5
    图5
  • 右下颌肿物女26岁 大家帮帮看看图6
    图6
  • 右下颌肿物女26岁 大家帮帮看看图7
    图7
  • 右下颌肿物女26岁 大家帮帮看看图8
    图8
  • 右下颌肿物女26岁 大家帮帮看看图9
    图9
  • 右下颌肿物女26岁 大家帮帮看看图10
    图10
  • 肿物有完整包膜求助
标签:下颌下腺
0
添加参考诊断
×参考诊断
  

XLJin8 离线

帖子:2275
粉蓝豆:1531
经验:2417
注册时间:2009-03-04
加关注  |  发消息
1 楼    发表于2011-08-19 16:32:23举报|引用
返回顶部 | 快捷回复

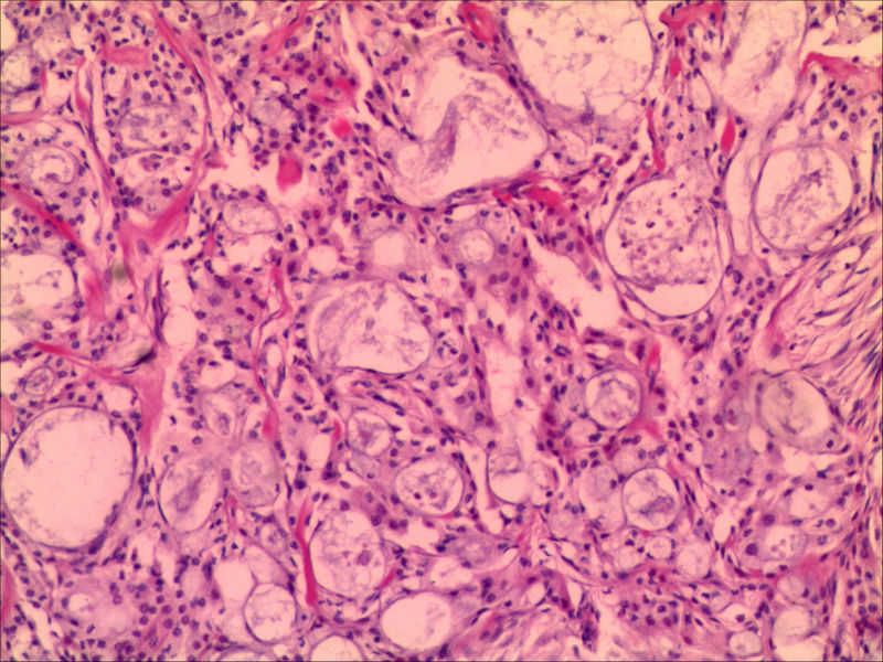
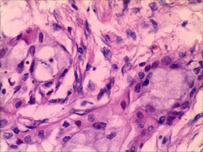
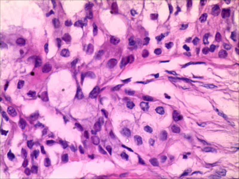
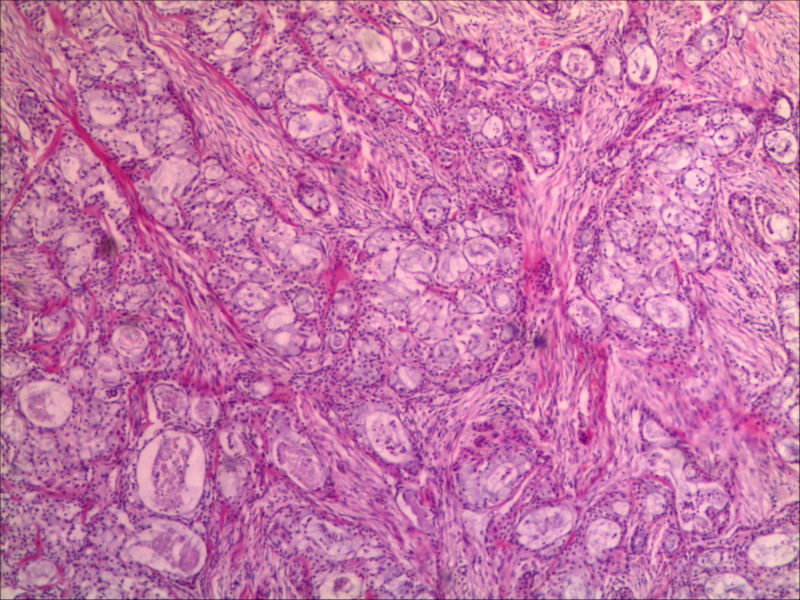
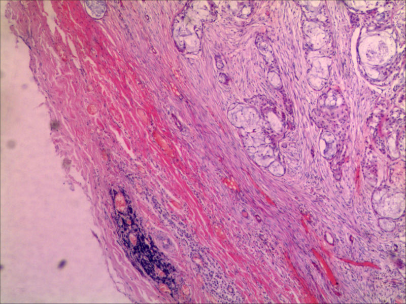
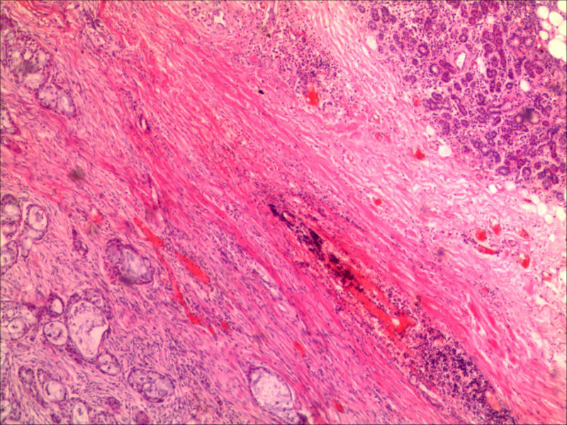
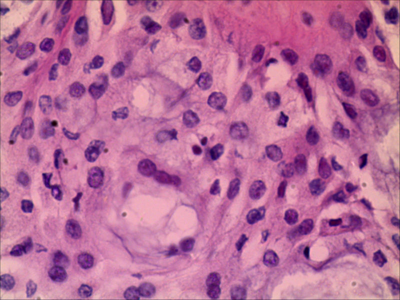
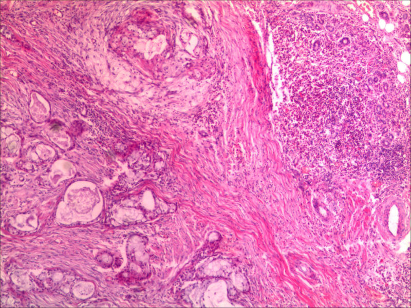
典型的黏液表皮样癌,低度恶性。

13

zhouquan

学浅

200406

羽珩

雪莲花

blwld

伊文洁琳

jcw62

溜溜调

东北鱼

hanbing

贾兆明

李丹
回复
signature
xljin8

海蓝9638 离线

帖子:14
粉蓝豆:1
经验:31
注册时间:2011-04-12
加关注  |  发消息
14 楼    发表于2011-08-29 15:47:25举报|引用
返回顶部 | 快捷回复

本例可以看到典型的产粘液细胞、鳞状细胞、中间细胞和透明细胞,因为产粘液细胞多,甚至形成粘液湖,加之包块似有包膜,分界清楚,应该考虑粘液表皮样癌(低度恶性)。

2

blwld

贾兆明
回复

心雨 离线

帖子:419
粉蓝豆:1
经验:687
注册时间:2011-04-17
加关注  |  发消息
18 楼    发表于2011-09-22 22:57:49举报|引用
返回顶部 | 快捷回复

黏液表皮样癌

1

wangzx63..
回复

阿斌 离线

帖子:473
粉蓝豆:10
经验:1468
注册时间:2009-10-27
加关注  |  发消息
5 楼    发表于2011-08-20 08:43:28举报|引用
返回顶部 | 快捷回复

粘液表皮样癌

1

浪里淘沙
回复

fangg 离线

帖子:1426
粉蓝豆:44
经验:1863
注册时间:2007-01-22
加关注  |  发消息
9 楼    发表于2011-08-20 11:22:05举报|引用
返回顶部 | 快捷回复
引用 1 楼 XLJin8 在 2011-08-19 16:32:23 的发言:

典型的黏液表皮样癌,低度恶性。


1

liqiuyue..
回复
signature
境随心转

心雨 离线

帖子:419
粉蓝豆:1
经验:687
注册时间:2011-04-17
加关注  |  发消息
12 楼    发表于2011-08-29 14:25:37举报|引用
返回顶部 | 快捷回复

典型的黏液表皮样癌,

0
回复

zhuozi 离线

帖子:61
粉蓝豆:19
经验:122
注册时间:2009-08-11
加关注  |  发消息
13 楼    发表于2011-08-29 14:33:58举报|引用
返回顶部 | 快捷回复

粘液表皮样癌

0
回复

静静鱼 离线

帖子:91
粉蓝豆:3
经验:404
注册时间:2008-06-26
加关注  |  发消息
20 楼    发表于2011-10-01 10:33:21举报|引用
返回顶部 | 快捷回复

粘液表皮样癌

0
回复

小玉 离线

帖子:1609
粉蓝豆:41
经验:2407
注册时间:2009-04-17
加关注  |  发消息
10 楼    发表于2011-08-27 20:34:07举报|引用
返回顶部 | 快捷回复

粘液表皮样癌

0
回复

huisheng97 离线

帖子:263
粉蓝豆:22
经验:285
注册时间:2009-02-13
加关注  |  发消息
15 楼    发表于2011-09-09 19:31:10举报|引用
返回顶部 | 快捷回复

 粘液表皮样癌

0
回复

田园 离线

帖子:165
粉蓝豆:445
经验:790
注册时间:2007-12-01
加关注  |  发消息
17 楼    发表于2011-09-20 11:18:17举报|引用
返回顶部 | 快捷回复

 粘液表皮样癌

0
回复
signature
田园

liangjinjun 离线

帖子:2328
粉蓝豆:2
经验:2457
注册时间:2007-08-07
加关注  |  发消息
43 楼    发表于2013-03-27 22:44:57举报|引用
返回顶部 | 快捷回复

粘液表皮样癌

0
回复
signature
梁晋军

Danrs 离线

帖子:1445
粉蓝豆:176
经验:3050
注册时间:2008-12-09
加关注  |  发消息
3 楼    发表于2011-08-20 05:13:28举报|引用
返回顶部 | 快捷回复

学习了。

0
回复

zhouquan 离线

帖子:7752
粉蓝豆:302
经验:8263
注册时间:2008-11-09
加关注  |  发消息
4 楼    发表于2011-08-20 06:41:24举报|引用
返回顶部 | 快捷回复

黏液表皮样癌

0
回复
signature
成功不是得到多少东西,而是把身上多余的东西的扔掉多少。   

阿斌 离线

帖子:473
粉蓝豆:10
经验:1468
注册时间:2009-10-27
加关注  |  发消息
19 楼    发表于2011-09-23 15:25:05举报|引用
返回顶部 | 快捷回复

典型的黏液表皮样癌,

0
回复

Skinner 离线

帖子:2
粉蓝豆:1
经验:2
注册时间:2010-10-26
加关注  |  发消息
16 楼    发表于2011-09-13 19:42:18举报|引用
返回顶部 | 快捷回复

黏表。

0
回复

skyliutong 离线

帖子:497
粉蓝豆:190
经验:878
注册时间:2009-02-14
加关注  |  发消息
6 楼    发表于2011-08-20 09:23:45举报|引用
返回顶部 | 快捷回复

学习

 

0
回复
signature
天亮了

白桦林 离线

帖子:523
粉蓝豆:414
经验:1411
注册时间:2007-06-21
加关注  |  发消息
7 楼    发表于2011-08-20 09:38:28举报|引用
返回顶部 | 快捷回复

黏表

0
回复

alqblk 离线

帖子:110
粉蓝豆:3331
经验:356
注册时间:2008-09-16
加关注  |  发消息
11 楼    发表于2011-08-29 10:29:49举报|引用
返回顶部 | 快捷回复

粘液表皮样癌

0
回复

wcq321 离线

帖子:667
粉蓝豆:36
经验:1163
注册时间:2008-06-27
加关注  |  发消息
8 楼    发表于2011-08-20 11:04:22举报|引用
返回顶部 | 快捷回复

粘液表皮样癌

0
回复
回复:43 阅读:9905
共3页/43条首页上一页123下一页尾页
【免责声明】讨论内容仅作学术交流之用,不作为诊疗依据,由此而引起的法律问题作者及本站不承担任何责任。
快速回复
进入高级回复
您最多可输入10000个汉字,按 "Ctrl" + "Enter" 直接发送
搜索回复/乘电梯 ×
按内容
按会员
乘电梯
合作伙伴
友情链接