共1页/4条首页上一页1下一页尾页
回复:4 阅读:2834
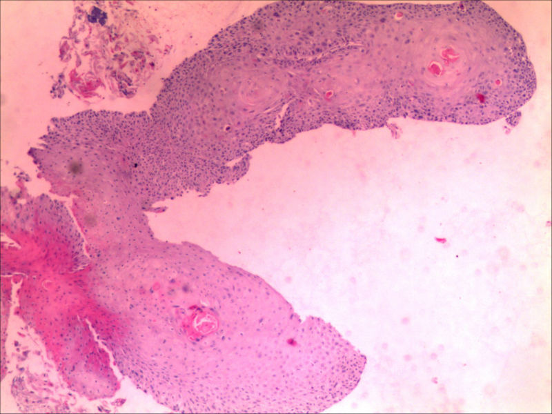
食管活检男64岁食管粗糙

gsls 离线

帖子:32
粉蓝豆:1
经验:48
注册时间:2008-05-17
加关注  |  发消息
楼主 发表于 2011-08-19 14:33|举报|关注(0)
浏览排序[ 顺序 逆序 楼主 支持 精彩 ]  快捷回复

 

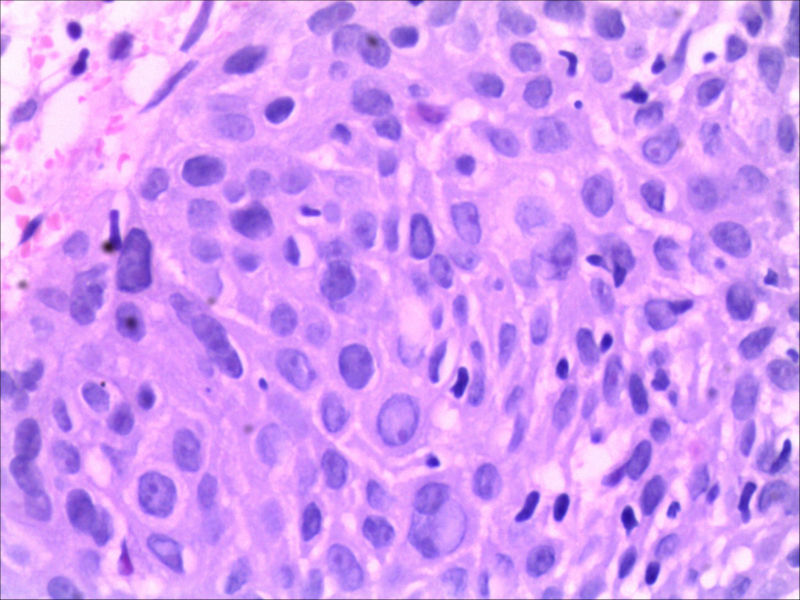
  • 食管活检男64岁食管粗糙图1
    图1
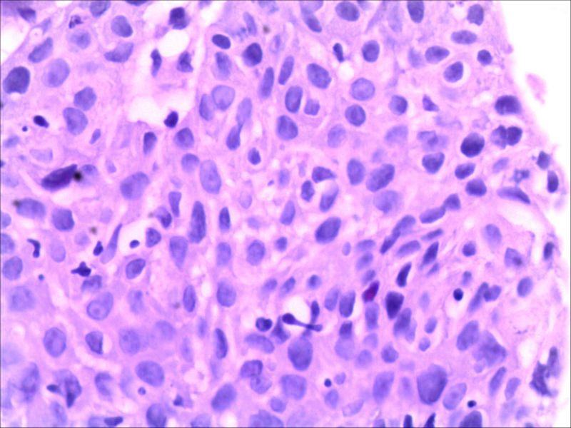
  • 食管活检男64岁食管粗糙图2
    图2
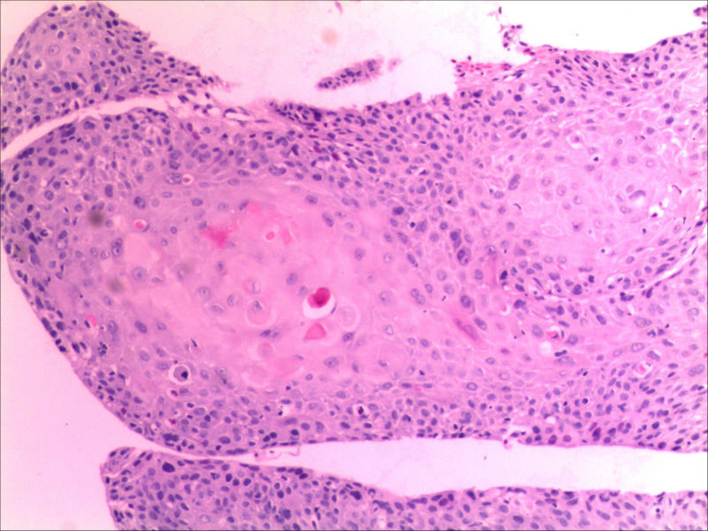
  • 食管活检男64岁食管粗糙图3
    图3
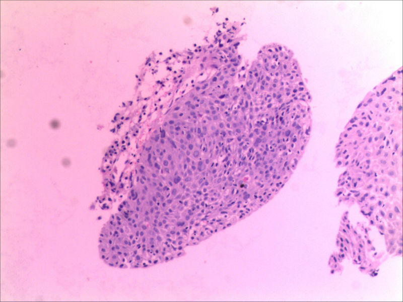
  • 食管活检男64岁食管粗糙图4
    图4
  • 食管活检男64岁食管粗糙图5
    图5
  • 食管活检男64岁食管粗糙图6
    图6
  • 食管活检男64岁食管粗糙图7
    图7
  • 食管活检男64岁食管粗糙图8
    图8
  • 食管活检男64岁食管粗糙图9
    图9
  • 食管活检男64岁食管粗糙图10
    图10
  • 食管活检男64岁食管粗糙图11
    图11
标签:食管 活检
0
添加参考诊断
×参考诊断
  

zhouquan 离线

帖子:7752
粉蓝豆:302
经验:8263
注册时间:2008-11-09
加关注  |  发消息
1 楼    发表于2011-08-20 07:18:21举报|引用
返回顶部 | 快捷回复

高级别上皮内瘤变,取材表浅,不排除高分化鳞癌,请结合临床建议必要时再取活检

5

alb19760..

学浅

Danrs

开心辞典

大海一栗
回复
signature
成功不是得到多少东西,而是把身上多余的东西的扔掉多少。   

fangg 离线

帖子:1426
粉蓝豆:44
经验:1863
注册时间:2007-01-22
加关注  |  发消息
2 楼    发表于2011-08-20 11:14:37举报|引用
返回顶部 | 快捷回复
引用 1 楼 zhouquan 在 2011-08-20 07:18:21 的发言:

高级别上皮内瘤变,取材表浅,不排除高分化鳞癌,请结合临床建议必要时再取活检

同意,本例仅出现食管黏膜粗糙,如果没有较大肿块或溃疡,也有可能就是个高度上皮内瘤变或早期食管癌。因此可做超声内镜,如果可能,做大黏膜切除治疗。

0
回复
signature
境随心转

kele324 离线

帖子:1430
粉蓝豆:2360
经验:2435
注册时间:2008-01-31
加关注  |  发消息
3 楼    发表于2011-08-22 22:30:46举报|引用
返回顶部 | 快捷回复

借此例请教几个有关问题:

1.现在这种情况无论在食管还是在胃是不是都发“高级别上皮内瘤变”而取代“重度异型增生/原位癌”??

2.”重度异型增生/原位癌”现在这种报告还发吗?如果发的话,在程度的把握上应该还是有区别的吧??

0
回复

fangg 离线

帖子:1426
粉蓝豆:44
经验:1863
注册时间:2007-01-22
加关注  |  发消息
4 楼    发表于2011-08-29 14:00:05举报|引用
返回顶部 | 快捷回复
引用 3 楼 kele324 在 2011-08-22 22:30:46 的发言:

借此例请教几个有关问题:

1.现在这种情况无论在食管还是在胃是不是都发“高级别上皮内瘤变”而取代“重度异型增生/原位癌”??

2.”重度异型增生/原位癌”现在这种报告还发吗?如果发的话,在程度的把握上应该还是有区别的吧??

新版WHO分类中指出:食管和胃内“上皮内瘤变”和“异型增生”都可以用,关键是要与临床沟通好,让其知道二者之间的对应关系和处理原则。

高度上皮内瘤变的适用范围大于重度异型增生/原位癌。

1

选选
回复
signature
境随心转
回复:4 阅读:2834
共1页/4条首页上一页1下一页尾页
【免责声明】讨论内容仅作学术交流之用,不作为诊疗依据,由此而引起的法律问题作者及本站不承担任何责任。
快速回复
进入高级回复
您最多可输入10000个汉字,按 "Ctrl" + "Enter" 直接发送
搜索回复/乘电梯 ×
按内容
按会员
乘电梯
合作伙伴
友情链接