共2页/21条首页上一页12下一页尾页
回复:21 阅读:8123
病例分享——男性,55岁,左胸壁肋间肿块

老油 离线

帖子:236
粉蓝豆:525
经验:247
注册时间:2010-11-16
加关注  |  发消息
楼主 发表于 2011-08-18 22:56|举报|关注(2)
浏览排序[ 顺序 逆序 楼主 支持 精彩 ]  快捷回复

发现左侧胸壁肋间肿块1月,约3.5×4 。病例分享——男性,55岁,左胸壁肋间肿块图1

名称:图1
描述:F20107181400 2.jpg.jpg
病例分享——男性,55岁,左胸壁肋间肿块图2
名称:图2
描述:F20107181400.jpg.jpg
病例分享——男性,55岁,左胸壁肋间肿块图3
名称:图3
描述:F20107181400 3.jpg.jpg
病例分享——男性,55岁,左胸壁肋间肿块图4
名称:图4
描述:F20107181400 6.jpg.jpg
病例分享——男性,55岁,左胸壁肋间肿块图5
名称:图5
描述:F20107181400 4.jpg.jpg
病例分享——男性,55岁,左胸壁肋间肿块图6
名称:图6
描述:F20107181400 7.jpg.jpg
病例分享——男性,55岁,左胸壁肋间肿块图7
名称:图7
描述:F20107181200.jpg.jpg
病例分享——男性,55岁,左胸壁肋间肿块图8
名称:图8
描述:F20107181100.jpg.jpg
病例分享——男性,55岁,左胸壁肋间肿块图9
名称:图9
描述:F20107181400 5.jpg.jpg
病例分享——男性,55岁,左胸壁肋间肿块图10
名称:图10
描述:
标签:
0
×参考诊断
术后病理示:胸腺瘤(B3型为主)

老油 离线

帖子:236
粉蓝豆:525
经验:247
注册时间:2010-11-16
加关注  |  发消息
1 楼    发表于2011-08-18 22:59:26举报|引用
返回顶部 | 快捷回复

 这是一例非常有意思的病例,过两天我会公布结果。

再上传一张我拍的杭州雪景,希望各位同行有机会能到杭州来玩。

0
回复

jani 离线

帖子:1707
粉蓝豆:46
经验:1808
注册时间:2009-03-21
加关注  |  发消息
2 楼    发表于2011-08-19 09:22:52举报|引用
返回顶部 | 快捷回复

能否传点更清楚的图片呀 

0
回复
signature
只有做你不会做的事 才能做会所有的事

jani 离线

帖子:1707
粉蓝豆:46
经验:1808
注册时间:2009-03-21
加关注  |  发消息
3 楼    发表于2011-08-19 09:25:02举报|引用
返回顶部 | 快捷回复

细胞大小不一  分散排列  不能除外恶性(肉瘤?)

0
回复
signature
只有做你不会做的事 才能做会所有的事

byq 离线

帖子:845
粉蓝豆:130
经验:3229
注册时间:2006-09-25
加关注  |  发消息
4 楼    发表于2011-08-19 21:09:48举报|引用
返回顶部 | 快捷回复

感觉不像肿瘤,尤其不像肉瘤。倾向反应性病变,

0
回复

liguoxia71 离线

帖子:4174
粉蓝豆:3122
经验:4677
注册时间:2007-04-01
加关注  |  发消息
5 楼    发表于2011-08-20 16:05:33举报|引用
返回顶部 | 快捷回复
本帖最后由 liguoxia71 于 2011-08-20 16:07:41 编辑

呵呵,俺倒是觉得 首先 不是癌。淋巴细胞,组织细胞样。

0
回复
signature
三人行,必有我师焉,择其善者而从之,其不善者而改之。

流水 离线

帖子:1105
粉蓝豆:46
经验:3110
注册时间:2008-11-11
加关注  |  发消息
6 楼    发表于2011-08-20 21:45:46举报|引用
返回顶部 | 快捷回复
引用 1 楼 老油 在 2011-08-18 22:59:26 的发言:

 这是一例非常有意思的病例,过两天我会公布结果。

再上传一张我拍的杭州雪景,希望各位同行有机会能到杭州来玩。


0
回复

老油 离线

帖子:236
粉蓝豆:525
经验:247
注册时间:2010-11-16
加关注  |  发消息
7 楼    发表于2011-08-20 23:04:08举报|引用
返回顶部 | 快捷回复

的确这例涂片诊断非常困难,我刚看到涂片的时候,也是一团雾水,我看到淋巴细胞及组织细胞样细胞两种成分。

当时考虑:1、肉芽肿性炎,2、转移性鼻咽部的非角化性未分化癌、3、淋巴结增生、4、转移性胸腺瘤,5、软组织肿瘤6、……


反正良恶性我分不清。

0
回复

老油 离线

帖子:236
粉蓝豆:525
经验:247
注册时间:2010-11-16
加关注  |  发消息
8 楼    发表于2011-08-20 23:06:23举报|引用
返回顶部 | 快捷回复

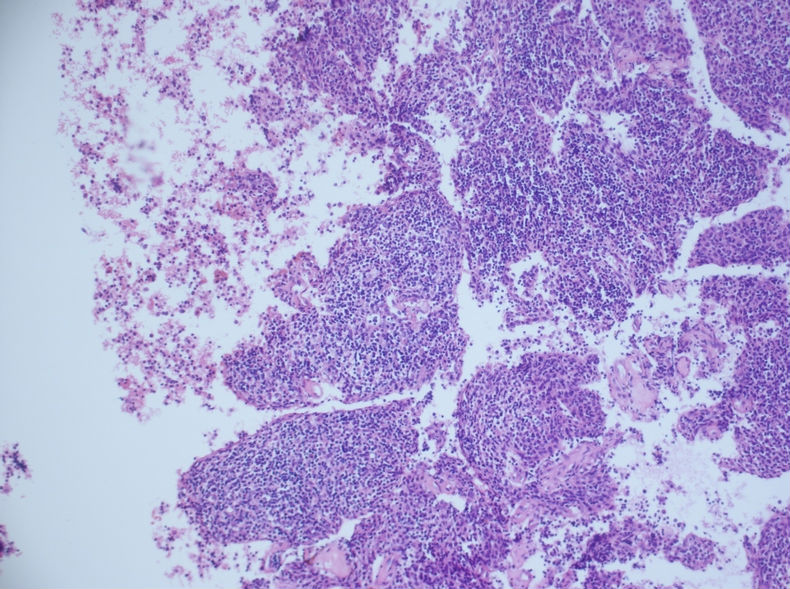
 我当时就让病人等两天,等我把细胞腊块的结果出来后告诉他。

细胞腊块图片如下:

  • 图1
  • 图2
  • 图3
  • 图4
  • 图5
0
回复

老油 离线

帖子:236
粉蓝豆:525
经验:247
注册时间:2010-11-16
加关注  |  发消息
9 楼    发表于2011-08-20 23:09:26举报|引用
返回顶部 | 快捷回复

 免疫组化结果:

  • 图1
  • 图2
  • 图3
  • 图4
  • 图5
0
回复

老油 离线

帖子:236
粉蓝豆:525
经验:247
注册时间:2010-11-16
加关注  |  发消息
10 楼    发表于2011-08-20 23:12:15举报|引用
返回顶部 | 快捷回复

 根据腊块及免疫组化结果,我诊断了

(左胸壁)转移性胸腺瘤(B2型)

建议检查纵隔。


随访,纵隔发现一3.5×3cm肿块,术后病理示:胸腺瘤(B3型为主)



0
回复

土豆2008 离线

帖子:855
粉蓝豆:381
经验:919
注册时间:2009-01-15
加关注  |  发消息
11 楼    发表于2011-08-20 23:52:02举报|引用
返回顶部 | 快捷回复

太漂亮了!

这细胞块做的,真的无话可说了!

 

0
回复

byq 离线

帖子:845
粉蓝豆:130
经验:3229
注册时间:2006-09-25
加关注  |  发消息
12 楼    发表于2011-08-21 11:18:47举报|引用
返回顶部 | 快捷回复
引用 10 楼 老油 在 2011-08-20 23:12:15 的发言:

 根据腊块及免疫组化结果,我诊断了

(左胸壁)转移性胸腺瘤(B2型)

建议检查纵隔。


随访,纵隔发现一3.5×3cm肿块,术后病理示:胸腺瘤(B3型为型)

 学习了!谢谢楼主提供完整的资料,同时也非常佩服楼主的敬业精神,如果楼主不做的细胞蜡块及以后的IHC,仅靠细胞学这个病例术前要明确诊断是很困难。再次感谢楼主!希望以后有好的病例继续上传让我们大家一起分享。
3

路过蜻蜓

江郎山之..

yanghong..
回复

流水 离线

帖子:1105
粉蓝豆:46
经验:3110
注册时间:2008-11-11
加关注  |  发消息
13 楼    发表于2011-08-21 20:09:15举报|引用
返回顶部 | 快捷回复

学习!谢谢分享!

0
回复

guofuqiangjing 离线

帖子:791
粉蓝豆:18
经验:954
注册时间:2010-07-22
加关注  |  发消息
14 楼    发表于2011-08-21 20:15:09举报|引用
返回顶部 | 快捷回复

学习了!谢谢楼主提供完整的资料,同时也非常佩服楼主的敬业精神,如果楼主不做的细胞蜡块及以后的IHC,仅靠细胞学这个病例术前要明确诊断是很困难。再次感谢楼主希望以后有好的病例继续上传让我们大家一起分享。

0
回复

liguoxia71 离线

帖子:4174
粉蓝豆:3122
经验:4677
注册时间:2007-04-01
加关注  |  发消息
15 楼    发表于2011-08-21 20:22:44举报|引用
返回顶部 | 快捷回复

学习!要是有肋间肿块的组织学活检就更好了!

0
回复
signature
三人行,必有我师焉,择其善者而从之,其不善者而改之。

老油 离线

帖子:236
粉蓝豆:525
经验:247
注册时间:2010-11-16
加关注  |  发消息
16 楼    发表于2011-08-21 20:39:49举报|引用
返回顶部 | 快捷回复

肋间肿块切除的标本有的,形态和细胞腊块一致,属于胸腺瘤B2+B3型。

0
回复

1212 离线

帖子:85
粉蓝豆:256
经验:234
注册时间:2010-10-31
加关注  |  发消息
17 楼    发表于2011-08-28 15:55:24举报|引用
返回顶部 | 快捷回复

感谢楼主

0
回复

jani 离线

帖子:1707
粉蓝豆:46
经验:1808
注册时间:2009-03-21
加关注  |  发消息
18 楼    发表于2011-09-01 20:52:46举报|引用
返回顶部 | 快捷回复

学习了  谢谢

0
回复
signature
只有做你不会做的事 才能做会所有的事

轻羽飞扬 离线

帖子:445
粉蓝豆:13
经验:882
注册时间:2009-08-13
加关注  |  发消息
19 楼    发表于2011-09-06 20:38:04举报|引用
返回顶部 | 快捷回复

学习

0
回复
signature
天道酬勤

yanghongwx2005 离线

帖子:18
粉蓝豆:14
经验:115
注册时间:2009-02-15
加关注  |  发消息
20 楼    发表于2011-09-06 21:20:59举报|引用
返回顶部 | 快捷回复

学习了,很好的病例

0
回复
回复:21 阅读:8123
共2页/21条首页上一页12下一页尾页
【免责声明】讨论内容仅作学术交流之用,不作为诊疗依据,由此而引起的法律问题作者及本站不承担任何责任。
快速回复
进入高级回复
您最多可输入10000个汉字,按 "Ctrl" + "Enter" 直接发送
搜索回复/乘电梯 ×
按内容
按会员
乘电梯
合作伙伴
友情链接