共2页/21条首页上一页12下一页尾页
回复:21 阅读:7126
左眼睑球结膜下肿物,附上级医院会诊意见

xclbljys 离线

帖子:5253
粉蓝豆:224
经验:7005
注册时间:2008-11-21
加关注  |  发消息
楼主 发表于 2011-08-18 21:06|举报|关注(1)
浏览排序[ 顺序 逆序 楼主 支持 精彩 ]  快捷回复

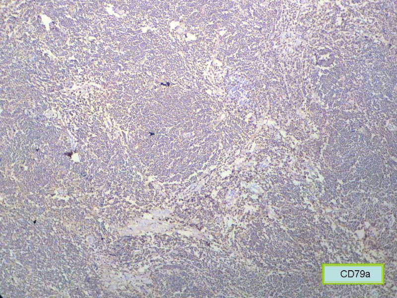
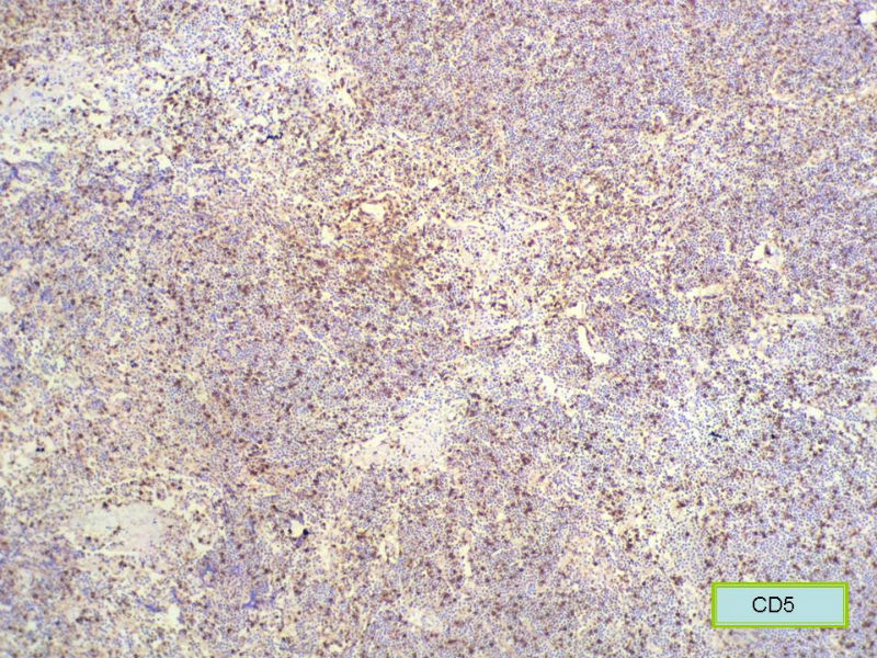
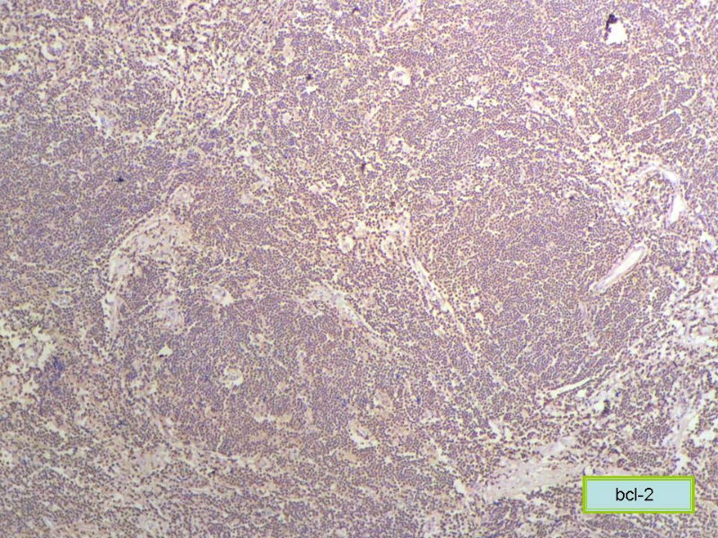
 男,49岁,左眼睑球结膜下肿物2个月,手术切除。检查肿块3X2X2厘米,切面灰红色,质软。


标签:
本帖最后由 xclbljys 于 2011-08-29 12:03:56 编辑
0
signature
许春雷
添加参考诊断
×参考诊断
  

益医 离线

帖子:242
粉蓝豆:1004
经验:682
注册时间:2009-11-15
加关注  |  发消息
21 楼    发表于2011-09-08 09:25:22举报|引用
返回顶部 | 快捷回复

谢谢老师的解惑!

0
回复
signature
tangzhuirong

xclbljys 离线

帖子:5253
粉蓝豆:224
经验:7005
注册时间:2008-11-21
加关注  |  发消息
20 楼    发表于2011-09-07 16:53:30举报|引用
返回顶部 | 快捷回复
引用:19 楼 在 2011-09-07 11:46:14 的发言:

Kappa(+),Lambda(+),,为什么不考虑假性淋巴瘤。



名称:图1
描述:演示文稿1.jpg.jpg
0
回复
signature
许春雷

益医 离线

帖子:242
粉蓝豆:1004
经验:682
注册时间:2009-11-15
加关注  |  发消息
19 楼    发表于2011-09-07 11:46:14举报|引用
返回顶部 | 快捷回复

Kappa(+),Lambda(+),,为什么不考虑假性淋巴瘤。

0
回复
signature
tangzhuirong

xclbljys 离线

帖子:5253
粉蓝豆:224
经验:7005
注册时间:2008-11-21
加关注  |  发消息
18 楼    发表于2011-09-07 09:54:37举报|引用
返回顶部 | 快捷回复
引用 17 楼 天山望月 在 2011-09-07 00:11:35 的发言:
引用 14 楼 xclbljys 在 2011-08-29 12:03:12 的发言:

 上级医院会诊意见:

CD20(+),Kappa(+),ki-67(+)>2%,Lambda(+),Pax-5(+),符合粘膜相关淋巴瘤。


赞成此诊断,但Kappa(+),Lambda(+),是多克隆表达?各自比例多少?

不清楚,谢谢关注!

0
回复
signature
许春雷

天山望月 离线

帖子:4902
粉蓝豆:83
经验:5092
注册时间:2007-02-03
加关注  |  发消息
17 楼    发表于2011-09-07 00:11:35举报|引用
返回顶部 | 快捷回复
引用 14 楼 xclbljys 在 2011-08-29 12:03:12 的发言:

 上级医院会诊意见:

CD20(+),Kappa(+),ki-67(+)>2%,Lambda(+),Pax-5(+),符合粘膜相关淋巴瘤。


赞成此诊断,但Kappa(+),Lambda(+),是多克隆表达?各自比例多少?

0
回复
signature
广州金域病理

feiyanwen 离线

帖子:200
粉蓝豆:3
经验:201
注册时间:2011-03-19
加关注  |  发消息
16 楼    发表于2011-09-05 06:26:29举报|引用
返回顶部 | 快捷回复

学习

0
回复
signature
费晏文

chenliu0552 离线

帖子:502
粉蓝豆:22
经验:985
注册时间:2010-12-10
加关注  |  发消息
15 楼    发表于2011-08-29 17:21:41举报|引用
返回顶部 | 快捷回复

本例是发生在特殊部位“结膜下”,HE肿瘤细胞形态形态一致,形似单核样B细胞。B细胞标记若明确阳性,诊断MALT是挺合理的。

0
回复

xclbljys 离线

帖子:5253
粉蓝豆:224
经验:7005
注册时间:2008-11-21
加关注  |  发消息
14 楼    发表于2011-08-29 12:03:12举报|引用
返回顶部 | 快捷回复

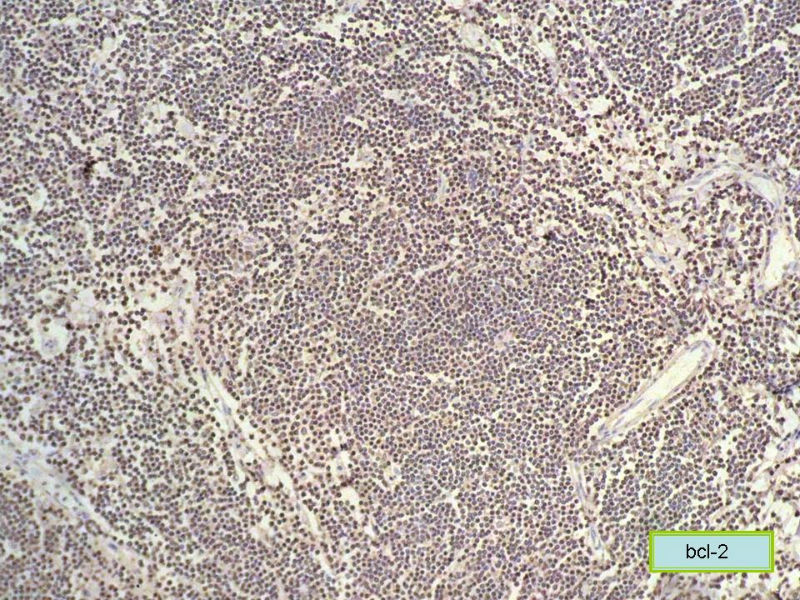
 上级医院会诊意见:

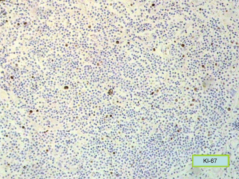
CD20(+),Kappa(+),ki-67(+)>2%,Lambda(+),Pax-5(+),符合粘膜相关淋巴瘤。

0
回复
signature
许春雷

海上明月 离线

帖子:9476
粉蓝豆:1172
经验:10007
注册时间:2009-08-29
加关注  |  发消息
13 楼    发表于2011-08-27 23:36:46举报|引用
返回顶部 | 快捷回复

请IHC标记以便进一步讨论。谢谢!

0
回复
signature
王军臣

天山望月 离线

帖子:4902
粉蓝豆:83
经验:5092
注册时间:2007-02-03
加关注  |  发消息
12 楼    发表于2011-08-24 07:46:05举报|引用
返回顶部 | 快捷回复

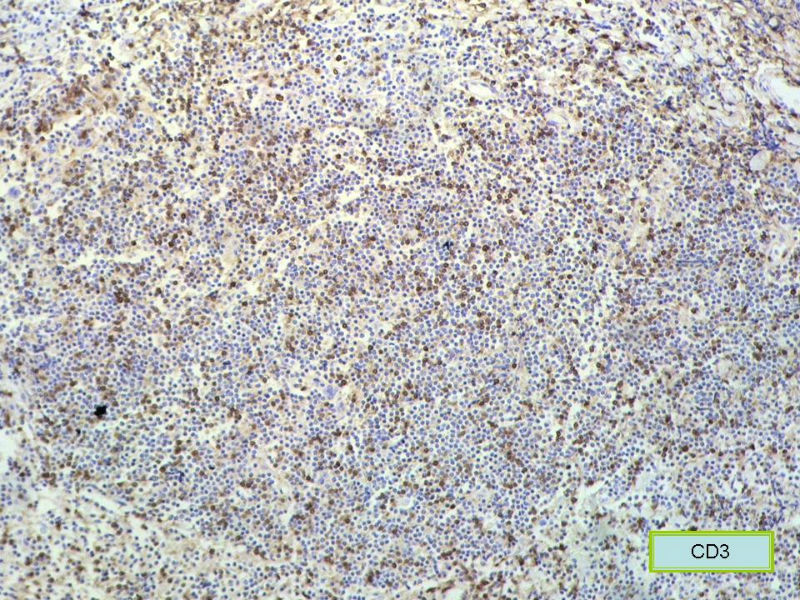
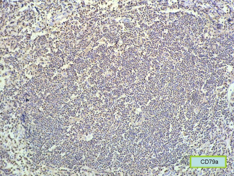
赞成以上专家的讨论,根绝病史,HE形态考虑小细胞病变,CD3、CD5散在+,还是倾向淋巴造血系统病变,CD20、CD79a阳性不明确,可以考虑复查,加做PAX-5,核阳性容易判断,另再加做鉴别其它小细胞肿瘤的抗体:CD99、CD43、CyclinD1、CK、CgA、Syn等,了解病史:骨髓、末梢血、肝、脾等。

0
回复
signature
广州金域病理

yilian206 离线

帖子:204
粉蓝豆:1119
经验:558
注册时间:2010-07-30
加关注  |  发消息
11 楼    发表于2011-08-23 16:26:22举报|引用
返回顶部 | 快捷回复

淋巴瘤  细胞小  形态单一  主要考虑小B细胞淋巴瘤 

0
回复

家家 离线

帖子:60
粉蓝豆:1
经验:73
注册时间:2011-01-05
加关注  |  发消息
10 楼    发表于2011-08-22 22:07:21举报|引用
返回顶部 | 快捷回复

请教

0
回复

chenliu0552 离线

帖子:502
粉蓝豆:22
经验:985
注册时间:2010-12-10
加关注  |  发消息
9 楼    发表于2011-08-22 14:24:00举报|引用
返回顶部 | 快捷回复

同意各位老师淋巴瘤的看法,但仍有很多疑问:

免疫组化:免疫组化的B标记不全面,现有标记的结果也不明确,很难根据现有标记说是B细胞淋巴瘤。

HE:  1.MALT粘膜相关淋巴瘤:本例部位很特殊,位于“结膜下”,考虑MALT很合理;但本例镜下细胞形态很一致,诊断MALT是有难度的。

        2. SLL小细胞淋巴瘤:就细胞形态而言,有相似之处,考虑SLL也有道理;但如果在没有发现淋巴结,肝,脾,骨髓或外周血具有病变的前题下,原发于结膜的SLL可能是少见的。

       3.套细胞淋巴瘤:细胞大小及一致性比较符合;但本例核太规则了,套细胞淋巴瘤很难有这么规则的圆形或椭圆形。

       4.滤泡性淋巴瘤: 可能性更小,暂时不考虑。

综合以上,首先建议完善淋巴瘤的免疫组化标记,淋巴瘤以外的标记是否也可以试一试。

本例很有意思,请广大网友积极参与,也请各位专家批评指正!

0
回复

老四 离线

帖子:153
粉蓝豆:31
经验:347
注册时间:2009-03-28
加关注  |  发消息
8 楼    发表于2011-08-21 01:34:48举报|引用
返回顶部 | 快捷回复

请再标记CD20和CD79a!图片中阳性不明确,根据T细胞标记看,应该是B细胞结节。Ki67散而少,不支持低级别滤泡性淋巴瘤,若B细胞弥漫阳性,则是惰性B细胞非霍奇金淋巴瘤,首先考虑套细胞,然后是边缘区淋巴瘤。不做生发中心标记,Bcl-2在小B细胞淋巴瘤分类中无意义。

0
回复

海上明月 离线

帖子:9476
粉蓝豆:1172
经验:10007
注册时间:2009-08-29
加关注  |  发消息
7 楼    发表于2011-08-21 01:10:11举报|引用
返回顶部 | 快捷回复

淋巴样细胞。细胞形态单一,细胞小。主要鉴别:

1)粘膜相关淋巴组织淋巴瘤

2)小细胞性淋巴瘤/慢性淋巴细胞性白血病

3)套细胞淋巴瘤

形态结构与细胞大小,似不支持滤泡性淋巴瘤。

要多取材,标记鉴别假性淋巴瘤。

0
回复
signature
王军臣

xclbljys 离线

帖子:5253
粉蓝豆:224
经验:7005
注册时间:2008-11-21
加关注  |  发消息
6 楼    发表于2011-08-20 19:08:51举报|引用
返回顶部 | 快捷回复
引用 4 楼 海上明月 在 2011-08-20 18:56:42 的发言:

CD10、CD19、CD43、CD23、cyclin D1表达如何?


以上抗体没有做,请教王老师,据此可以考虑滤泡性淋巴瘤吗?

0
回复
signature
许春雷

海上明月 离线

帖子:9476
粉蓝豆:1172
经验:10007
注册时间:2009-08-29
加关注  |  发消息
5 楼    发表于2011-08-20 18:57:55举报|引用
返回顶部 | 快捷回复
引用 3 楼 xclbljys 在 2011-08-20 18:00:06 的发言:
本帖最后由 xclbljys 于 2011-08-20 18:01:34 编辑

 不知道为什么,发出的图片总不显示?郁闷!

发出前,检查一下图片的大小看看。

0
回复
signature
王军臣

海上明月 离线

帖子:9476
粉蓝豆:1172
经验:10007
注册时间:2009-08-29
加关注  |  发消息
4 楼    发表于2011-08-20 18:56:42举报|引用
返回顶部 | 快捷回复

CD10、CD19、CD43、CD23、cyclin D1表达如何?

0
回复
signature
王军臣

xclbljys 离线

帖子:5253
粉蓝豆:224
经验:7005
注册时间:2008-11-21
加关注  |  发消息
3 楼    发表于2011-08-20 18:00:06举报|引用
返回顶部 | 快捷回复
本帖最后由 xclbljys 于 2011-08-20 18:01:34 编辑

 不知道为什么,发出的图片总不显示?郁闷!

0
回复
signature
许春雷

xclbljys 离线

帖子:5253
粉蓝豆:224
经验:7005
注册时间:2008-11-21
加关注  |  发消息
2 楼    发表于2011-08-20 17:53:39举报|引用
返回顶部 | 快捷回复
本帖最后由 xclbljys 于 2011-08-20 17:55:22 编辑

 IHC

  • 图1
  • 图2
  • 图3
  • 图4
  • 图5
  • 图6
  • 图7
  • 图8
  • 图9
  • 图10
  • 图11
  • 图12

0
回复
signature
许春雷
回复:21 阅读:7126
共2页/21条首页上一页12下一页尾页
【免责声明】讨论内容仅作学术交流之用,不作为诊疗依据,由此而引起的法律问题作者及本站不承担任何责任。
快速回复
进入高级回复
您最多可输入10000个汉字,按 "Ctrl" + "Enter" 直接发送
搜索回复/乘电梯 ×
按内容
按会员
乘电梯
合作伙伴
友情链接