共1页/7条首页上一页1下一页尾页
回复:21 阅读:7744
男性,30岁,左腹股沟淋巴结穿刺

老油 离线

帖子:236
粉蓝豆:525
经验:247
注册时间:2010-11-16
加关注  |  发消息
楼主 发表于 2011-08-17 21:43|举报|关注(0)
浏览排序[ 顺序 逆序 楼主 支持 精彩 ]  快捷回复

 男性,30岁,左腹股沟淋巴结穿刺图1

名称:图1
描述:F20107050400 6.jpg.jpg
男性,30岁,左腹股沟淋巴结穿刺图2
名称:图2
描述:F20107050200 3.jpg.jpg
男性,30岁,左腹股沟淋巴结穿刺图3
名称:图3
描述:F20107050400 1.jpg.jpg
男性,30岁,左腹股沟淋巴结穿刺图4
名称:图4
描述:F20107050200 1.jpg.jpg
男性,30岁,左腹股沟淋巴结穿刺图5
名称:图5
描述:F20107050200 2.jpg.jpg
男性,30岁,左腹股沟淋巴结穿刺图6
名称:图6
描述:F20107050200 4.jpg.jpg
男性,30岁,左腹股沟淋巴结穿刺图7
名称:图7
描述:F20107050400 5.jpg.jpg
男性,30岁,左腹股沟淋巴结穿刺图8
名称:图8
描述:F20107050100 1.jpg.jpg
男性,30岁,左腹股沟淋巴结穿刺图9
名称:图9
描述:F20107050400 3.jpg.jpg
男性,30岁,左腹股沟淋巴结穿刺图10
名称:图10
描述:F20107050100 2.jpg.jpg
男性,30岁,左腹股沟淋巴结穿刺图11
名称:图11
描述:F20107050400 2.jpg.jpg
男性,30岁,左腹股沟淋巴结穿刺图12
名称:图12
描述:F20107050400 4.jpg.jpg
男性,30岁,左腹股沟淋巴结穿刺图13
名称:图13
描述:F2010705050 1.jpg.jpg
标签:
1
×参考诊断
淋巴结转移性精原细胞瘤

老油 离线

帖子:236
粉蓝豆:525
经验:247
注册时间:2010-11-16
加关注  |  发消息
20 楼    发表于2011-09-15 18:38:15举报|引用
返回顶部 | 快捷回复

是的,我去年去余老师那学习了。

0
回复

老油 离线

帖子:236
粉蓝豆:525
经验:247
注册时间:2010-11-16
加关注  |  发消息
17 楼    发表于2011-09-15 11:14:14举报|引用
返回顶部 | 快捷回复

细胞腊块制作请移步至http://www.ipathology.cn/channel/detail/name/bbs/article/401343.html

我在这个帖子里有说明。

0
回复

老油 离线

帖子:236
粉蓝豆:525
经验:247
注册时间:2010-11-16
加关注  |  发消息
10 楼    发表于2011-08-20 23:53:48举报|引用
返回顶部 | 快捷回复

这例病人的确没有出血。我也从不对穿刺标本去除血细胞。

其实穿刺中如果能适当的出点血是一个好事情。优点如下:1、穿刺时少量出血,血流能将组织更好的带入针筒,能获得更多的组织量,2、适当的出血能更容易制片,如果穿刺的时候没有出血,很容易在拉片的时候出现拉丝现象。

2

jani

大浪淘沙..
回复

老油 离线

帖子:236
粉蓝豆:525
经验:247
注册时间:2010-11-16
加关注  |  发消息
7 楼    发表于2011-08-19 21:39:14举报|引用
返回顶部 | 快捷回复

 我们的最终诊断就是淋巴结转移性精原细胞瘤,建议检查睾丸。


最后睾丸发现肿块,切除后组织学证实是精原细胞瘤

0
回复

老油 离线

帖子:236
粉蓝豆:525
经验:247
注册时间:2010-11-16
加关注  |  发消息
6 楼    发表于2011-08-19 21:37:58举报|引用
返回顶部 | 快捷回复

 对细胞腊块同样进行了免疫标记:

名称:图1
描述: CD20

名称:图2
描述: CD3

名称:图3
描述: CD117

名称:图4
描述:PLAP

名称:图5
描述: CK
0
回复

老油 离线

帖子:236
粉蓝豆:525
经验:247
注册时间:2010-11-16
加关注  |  发消息
5 楼    发表于2011-08-19 21:35:35举报|引用
返回顶部 | 快捷回复

在这个病例中我们同样制作了细胞腊块。细胞腊块的形态学如下:

名称:图1
描述:

名称:图2
描述:

名称:图3
描述:

名称:图4
描述:

名称:图5
描述:F20107050 CB400 2.jpg.jpg

名称:图6
描述:

名称:图7
描述:
0
回复

老油 离线

帖子:236
粉蓝豆:525
经验:247
注册时间:2010-11-16
加关注  |  发消息
4 楼    发表于2011-08-19 21:33:18举报|引用
返回顶部 | 快捷回复

 到公布这例答案的时候了。

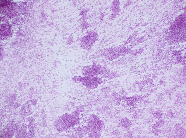
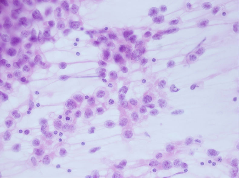
在这里病例中我们发现下拨成巢及散在排列,细胞异形,而且核仁明显。我想诊断恶性肿瘤没有任何疑议。

在明确具体诊断中,我考虑:

1、首先考虑byq想到的精原细胞瘤,男性患者,腹股沟淋巴肿大,细胞异形,核仁明显,的确要首先考虑到。

2、恶性黑色素瘤:这个部位,这样的细胞形态,恶黑与精原细胞瘤一样,是重点考虑对象,我没法区分两者应该谁考虑在前头。

3、转移性低分化癌

4、弥漫大B细胞淋巴瘤


光这例涂片,我觉得诊断恶性肿瘤应该足够,其余的该建议活检。

0
回复
回复:21 阅读:7744
共1页/7条首页上一页1下一页尾页
【免责声明】讨论内容仅作学术交流之用,不作为诊疗依据,由此而引起的法律问题作者及本站不承担任何责任。
快速回复
进入高级回复
您最多可输入10000个汉字,按 "Ctrl" + "Enter" 直接发送
搜索回复/乘电梯 ×
按内容
按会员
乘电梯
合作伙伴
友情链接