共2页/21条首页上一页12下一页尾页
回复:21 阅读:7736
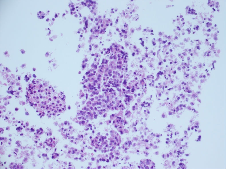
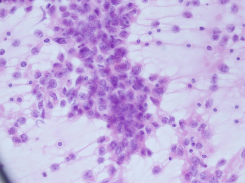
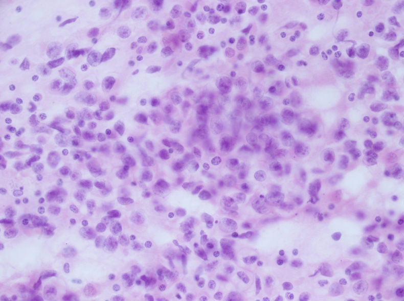
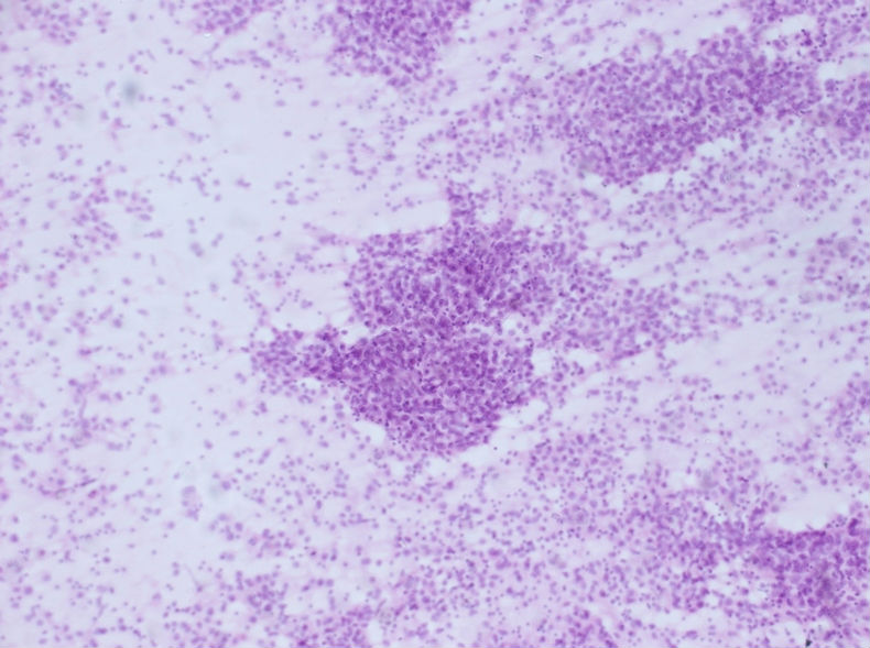
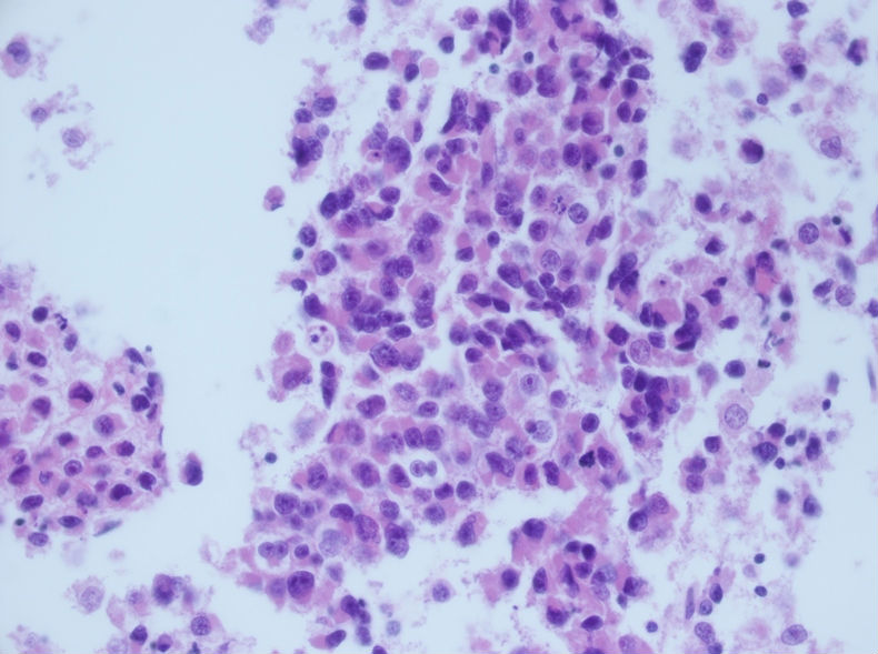
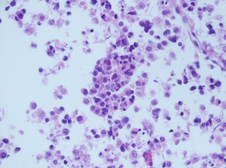
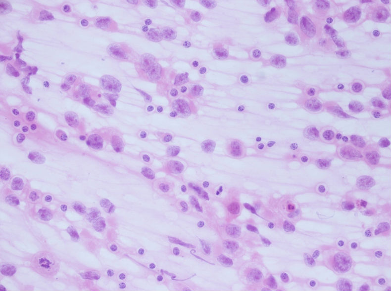
男性,30岁,左腹股沟淋巴结穿刺

老油 离线

帖子:236
粉蓝豆:525
经验:247
注册时间:2010-11-16
加关注  |  发消息
楼主 发表于 2011-08-17 21:43|举报|关注(0)
浏览排序[ 顺序 逆序 楼主 支持 精彩 ]  快捷回复

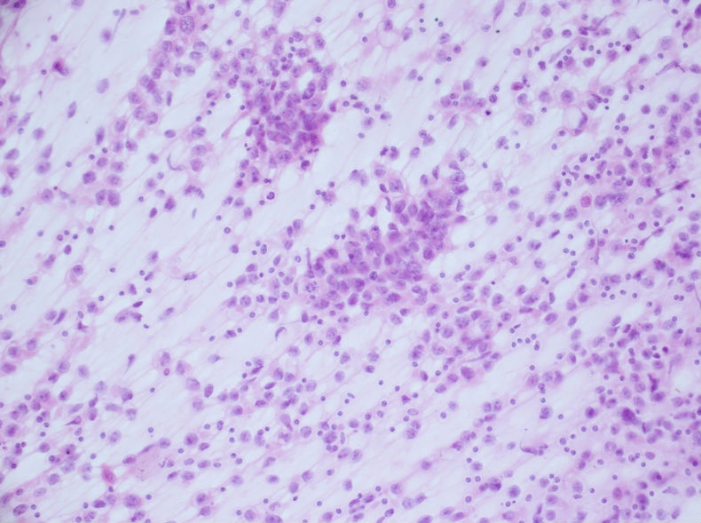
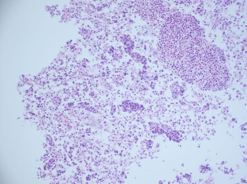
 男性,30岁,左腹股沟淋巴结穿刺图1

名称:图1
描述:F20107050400 6.jpg.jpg
男性,30岁,左腹股沟淋巴结穿刺图2
名称:图2
描述:F20107050200 3.jpg.jpg
男性,30岁,左腹股沟淋巴结穿刺图3
名称:图3
描述:F20107050400 1.jpg.jpg
男性,30岁,左腹股沟淋巴结穿刺图4
名称:图4
描述:F20107050200 1.jpg.jpg
男性,30岁,左腹股沟淋巴结穿刺图5
名称:图5
描述:F20107050200 2.jpg.jpg
男性,30岁,左腹股沟淋巴结穿刺图6
名称:图6
描述:F20107050200 4.jpg.jpg
男性,30岁,左腹股沟淋巴结穿刺图7
名称:图7
描述:F20107050400 5.jpg.jpg
男性,30岁,左腹股沟淋巴结穿刺图8
名称:图8
描述:F20107050100 1.jpg.jpg
男性,30岁,左腹股沟淋巴结穿刺图9
名称:图9
描述:F20107050400 3.jpg.jpg
男性,30岁,左腹股沟淋巴结穿刺图10
名称:图10
描述:F20107050100 2.jpg.jpg
男性,30岁,左腹股沟淋巴结穿刺图11
名称:图11
描述:F20107050400 2.jpg.jpg
男性,30岁,左腹股沟淋巴结穿刺图12
名称:图12
描述:F20107050400 4.jpg.jpg
男性,30岁,左腹股沟淋巴结穿刺图13
名称:图13
描述:F2010705050 1.jpg.jpg
标签:
1
×参考诊断
淋巴结转移性精原细胞瘤

byq 离线

帖子:845
粉蓝豆:130
经验:3229
注册时间:2006-09-25
加关注  |  发消息
1 楼    发表于2011-08-18 06:11:40举报|引用
返回顶部 | 快捷回复

查见异型细胞,且有成团的趋势,男性患者,首先要除外精原细胞瘤转移。

0
回复

jani 离线

帖子:1707
粉蓝豆:46
经验:1808
注册时间:2009-03-21
加关注  |  发消息
2 楼    发表于2011-08-18 20:41:41举报|引用
返回顶部 | 快捷回复

查见恶性肿瘤细胞 

0
回复
signature
只有做你不会做的事 才能做会所有的事

lsping666 离线

帖子:99
粉蓝豆:1
经验:108
注册时间:2010-07-07
加关注  |  发消息
3 楼    发表于2011-08-18 21:59:21举报|引用
返回顶部 | 快捷回复

小圆恶性肿瘤细胞, 

0
回复

老油 离线

帖子:236
粉蓝豆:525
经验:247
注册时间:2010-11-16
加关注  |  发消息
4 楼    发表于2011-08-19 21:33:18举报|引用
返回顶部 | 快捷回复

 到公布这例答案的时候了。

在这里病例中我们发现下拨成巢及散在排列,细胞异形,而且核仁明显。我想诊断恶性肿瘤没有任何疑议。

在明确具体诊断中,我考虑:

1、首先考虑byq想到的精原细胞瘤,男性患者,腹股沟淋巴肿大,细胞异形,核仁明显,的确要首先考虑到。

2、恶性黑色素瘤:这个部位,这样的细胞形态,恶黑与精原细胞瘤一样,是重点考虑对象,我没法区分两者应该谁考虑在前头。

3、转移性低分化癌

4、弥漫大B细胞淋巴瘤


光这例涂片,我觉得诊断恶性肿瘤应该足够,其余的该建议活检。

0
回复

老油 离线

帖子:236
粉蓝豆:525
经验:247
注册时间:2010-11-16
加关注  |  发消息
5 楼    发表于2011-08-19 21:35:35举报|引用
返回顶部 | 快捷回复

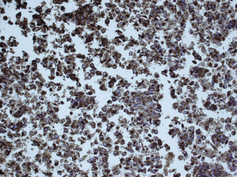
在这个病例中我们同样制作了细胞腊块。细胞腊块的形态学如下:

名称:图1
描述:

名称:图2
描述:

名称:图3
描述:

名称:图4
描述:

名称:图5
描述:F20107050 CB400 2.jpg.jpg

名称:图6
描述:

名称:图7
描述:
0
回复

老油 离线

帖子:236
粉蓝豆:525
经验:247
注册时间:2010-11-16
加关注  |  发消息
6 楼    发表于2011-08-19 21:37:58举报|引用
返回顶部 | 快捷回复

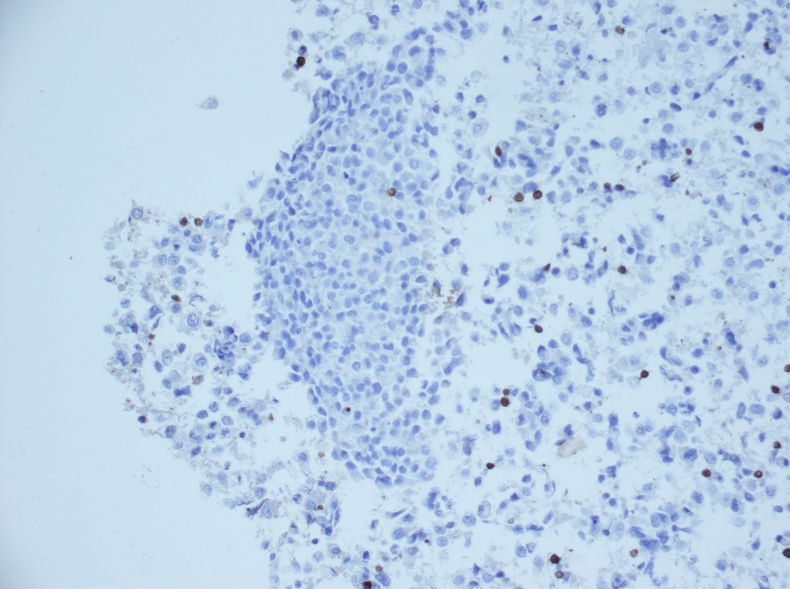
 对细胞腊块同样进行了免疫标记:

名称:图1
描述: CD20

名称:图2
描述: CD3

名称:图3
描述: CD117

名称:图4
描述:PLAP

名称:图5
描述: CK
0
回复

老油 离线

帖子:236
粉蓝豆:525
经验:247
注册时间:2010-11-16
加关注  |  发消息
7 楼    发表于2011-08-19 21:39:14举报|引用
返回顶部 | 快捷回复

 我们的最终诊断就是淋巴结转移性精原细胞瘤,建议检查睾丸。


最后睾丸发现肿块,切除后组织学证实是精原细胞瘤

0
回复

liguoxia71 离线

帖子:4174
粉蓝豆:3122
经验:4677
注册时间:2007-04-01
加关注  |  发消息
8 楼    发表于2011-08-20 16:02:57举报|引用
返回顶部 | 快捷回复

真漂亮!

0
回复
signature
三人行,必有我师焉,择其善者而从之,其不善者而改之。

土豆2008 离线

帖子:855
粉蓝豆:381
经验:919
注册时间:2009-01-15
加关注  |  发消息
9 楼    发表于2011-08-20 23:47:09举报|引用
返回顶部 | 快捷回复

无话可说

太强了!

非常漂亮的图片!

穿刺涂片和细胞蜡块都很少的血!涂片诊断细胞非常的清楚!

非常好的病例!

看到了差距

顺便问一下,腹股沟穿刺很容易带血的,你是如何去除血细胞的?还是穿刺这一例是本身就没有出血?

0
回复

老油 离线

帖子:236
粉蓝豆:525
经验:247
注册时间:2010-11-16
加关注  |  发消息
10 楼    发表于2011-08-20 23:53:48举报|引用
返回顶部 | 快捷回复

这例病人的确没有出血。我也从不对穿刺标本去除血细胞。

其实穿刺中如果能适当的出点血是一个好事情。优点如下:1、穿刺时少量出血,血流能将组织更好的带入针筒,能获得更多的组织量,2、适当的出血能更容易制片,如果穿刺的时候没有出血,很容易在拉片的时候出现拉丝现象。

2

jani

大浪淘沙..
回复

byq 离线

帖子:845
粉蓝豆:130
经验:3229
注册时间:2006-09-25
加关注  |  发消息
11 楼    发表于2011-08-23 21:34:56举报|引用
返回顶部 | 快捷回复

很好的病例!学习了!

0
回复

gwls0008 离线

帖子:1365
粉蓝豆:5
经验:1465
注册时间:2008-08-24
加关注  |  发消息
12 楼    发表于2011-08-24 18:10:03举报|引用
返回顶部 | 快捷回复

老油的细胞学诊断和免疫组化都做得非常好,让临床无话可说。呵呵,学习了。很好的病例,希望以后能够多多的学习和沟通。

0
回复

爱飞的芦苇 离线

帖子:281
粉蓝豆:0
经验:841
注册时间:2008-01-29
加关注  |  发消息
13 楼    发表于2011-08-24 18:19:52举报|引用
返回顶部 | 快捷回复

0
回复

绝世好片 离线

帖子:501
粉蓝豆:1502
经验:694
注册时间:2008-02-05
加关注  |  发消息
14 楼    发表于2011-09-13 21:49:09举报|引用
返回顶部 | 快捷回复

厉害!

0
回复

无尾鱼 离线

帖子:55
粉蓝豆:2
经验:129
注册时间:2011-09-09
加关注  |  发消息
15 楼    发表于2011-09-14 08:55:29举报|引用
返回顶部 | 快捷回复

老油老师太厉害了,以后多上传一些病例吧,让像我这样的基层医生不用出门就学习到很多的知识。给我们的日常工作带来很大的帮助,谢谢老师们的辛苦劳作。

1

jani
回复

zhanghs 离线

帖子:209
粉蓝豆:9
经验:495
注册时间:2007-11-19
加关注  |  发消息
16 楼    发表于2011-09-15 08:15:14举报|引用
返回顶部 | 快捷回复

想请教一下做细胞块的诀窍,我们自己也做过,但都不怎么成功。

0
回复
signature
把我们应该做的做到最好!

老油 离线

帖子:236
粉蓝豆:525
经验:247
注册时间:2010-11-16
加关注  |  发消息
17 楼    发表于2011-09-15 11:14:14举报|引用
返回顶部 | 快捷回复

细胞腊块制作请移步至http://www.ipathology.cn/channel/detail/name/bbs/article/401343.html

我在这个帖子里有说明。

0
回复

迷路 离线

帖子:259
粉蓝豆:4
经验:376
注册时间:2010-11-08
加关注  |  发消息
18 楼    发表于2011-09-15 13:27:27举报|引用
返回顶部 | 快捷回复
本帖最后由 迷路 于 2011-09-15 13:28:05 编辑

0
回复

土豆2008 离线

帖子:855
粉蓝豆:381
经验:919
注册时间:2009-01-15
加关注  |  发消息
19 楼    发表于2011-09-15 13:28:49举报|引用
返回顶部 | 快捷回复

在最新的中华病理学杂志上,就有余小蒙老师写的细胞块的制作的方法,和老油老师的方法是一样的

很详细,可以去查阅。

0
回复

老油 离线

帖子:236
粉蓝豆:525
经验:247
注册时间:2010-11-16
加关注  |  发消息
20 楼    发表于2011-09-15 18:38:15举报|引用
返回顶部 | 快捷回复

是的,我去年去余老师那学习了。

0
回复
回复:21 阅读:7736
共2页/21条首页上一页12下一页尾页
【免责声明】讨论内容仅作学术交流之用,不作为诊疗依据,由此而引起的法律问题作者及本站不承担任何责任。
快速回复
进入高级回复
您最多可输入10000个汉字,按 "Ctrl" + "Enter" 直接发送
搜索回复/乘电梯 ×
按内容
按会员
乘电梯
合作伙伴
友情链接