| 图片: | |
|---|---|
| 名称: | |
| 描述: | |
chenliu0552 离线
这么有意思的病例,根据老师上述指点,临时学习一下WHO,咱小兵也来凑凑热闹.
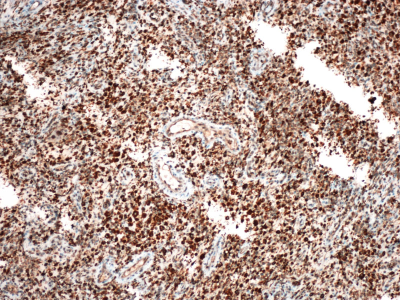
1. 支持CHL的方面: 本例CD15和D30,尤其是前者的表达强烈支持霍奇金淋巴瘤CHL,但似乎也不能完全排除ALCL;EMA-也支持CHL;
2. 支持ALCL的方面: 但CHL一般有更好的PAX5-表达;CHL的CD68一般不表达,而ALCL的KP1可以+但PGM1多-;CD3+细胞不多,可能是肿瘤细胞缺失了CD3的表达,如果再有CD5,CD4的结果就更好了;
3. 其他标记:如ALK, EBER, Oct-2, Bob-1, CD4,KP1,PGM1, ganzymeB, MUM1等对诊断也有帮助,另外也需考虑其他疾病。
感谢fangg老师提供好的病例,如果方便,还请继续提供更多信息。也请XLJin8 老师和其他专家关注本例病变,多多指点。
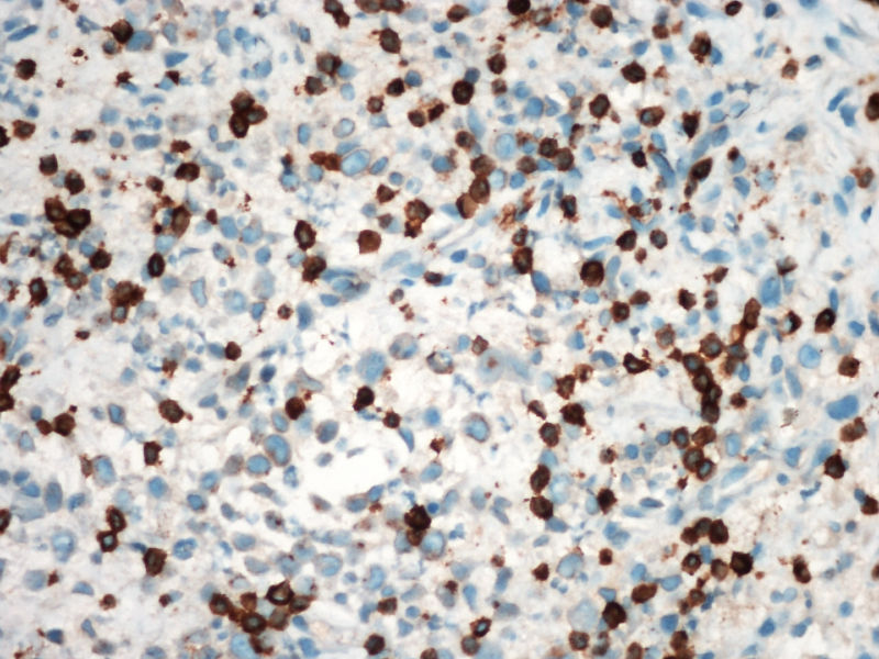
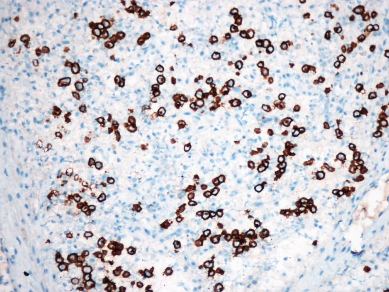
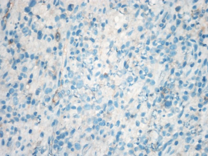
本例患者未查见淋巴结肿大,无肝脾肿大。其余标记物:大细胞显示CD2,CD3,CD4,CD8,CD5,EMA,TIA-1,GranB, oct, Bob1, EBER均阴性。
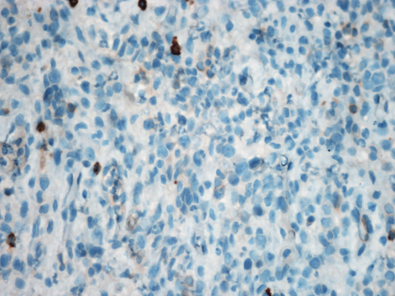
阳性的有CD30,CD15,CD43,ALK,perforin。
最终诊断为:ALK阳性的间变性大细胞淋巴瘤,淋巴组织细胞变异型。
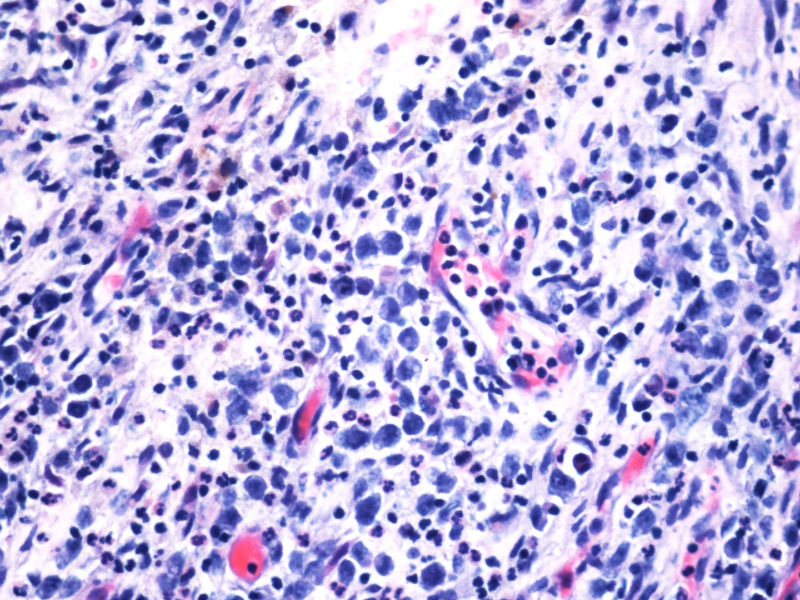
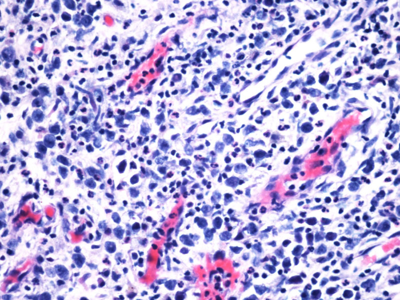
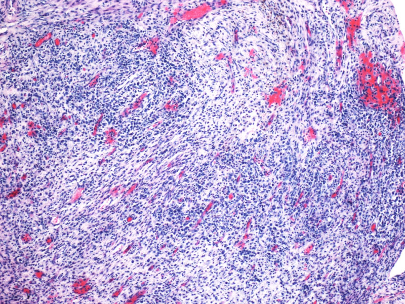
拿出来的目的:本例始发于骨骼,临床提示脓肿或骨髓瘤,ALK阳性但EMA阴性,细胞毒只有一个标记阳性,本例CD4不阳性。因为CD30和CD15均有非肿瘤细胞阳性的情况,所以对于这个骨骼病例,细胞少而退变,因此最初没有信心诊断,但ALK一般不在非肿瘤细胞内阳性表达,所以最终还是诊断了ALCL。

chenliu0552 离线
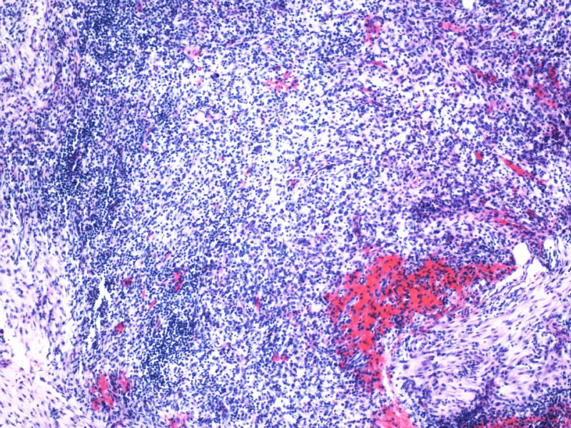
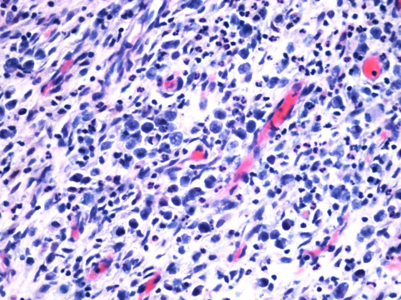
此病例是非常特殊,其表现为:
1)ALCL很少原发于骨组织,
2)肿瘤细胞免疫表型特殊, CD30+CD15+ALK-1+CD43+Perforin+, 而其他PanB细胞和PanT细胞的标记均为阴性。
3)楼主诊断ALCL主要根据是 ALK-1+, 很有说服力!
问题:
1)如何解释ALCL表达 CD15?
2)除了ALK-1+支持ALCL外, 还有那些是支持ALCL的病理诊断线索(包括形态学和 IHC标记)?
感谢分享!
谢谢金主任指教!
关于第一个问题,请看文献摘要:
IMPATH Inc., New York, NY 10019, USA. wojciech.gorczyca@impath.com The characteristic histologic features and immunophenotype are usually diagnostic and allow distinguishing CD30 positive T-cell lymphoma (including anaplastic large cell lymphoma) from classical Hodgkin's lymphoma. The latter differs by expression of CD15 and lack of CD45, pan-T antigens and ALK expression. We report nine cases of large cell hematopoietic neoplasms in which the neoplastic cells co-expressed CD30 and CD15, and had immunophenotypic and morphologic features of T-cell lymphoproliferative process. The average age of the CD15-positive group was 61.9 years; 6 cases occurred in men and 3 in women. The tumors were located in lymph nodes in 8 cases, and in liver in 1 case. Two cases expressed ALK protein. There were no statistically significant differences in phenotypic parameters between the CD15-positive and CD15-negative neoplasms (p>0.05). However, the CD15-positive group appeared to show a minor trend toward less positivity for EMA (44% versus 72%), ALK protein (22% versus 51%), and CD45RO (33.3% versus 83.3%, p=0.07), when compared to the typical CD15-negative neoplasms. In summary, although the co-expression of CD30 and CD15is typical for classical HL, it may be also present in a subset of peripheral T-cell neoplasms including ALK-positive anaplastic large cell lymphoma. Combined and sensible use of morphology and a broad immunophenotypic panel in cases with limited material and/or those with overlapping histologic patterns will best discriminate between HL and ALCL. It is incumbent upon the pathologist to distinguish between these two clinicopathologic entities, since treatment options and clinical outcomes differ. 本例特殊之处在于,本例ALCL同时表达了ALK和CD15,这还是非常少见的,但是ALK在HL中的表达更少见。CD30-positive T-cell lymphomas co-expressing CD15: an immunohistochemical analysis.
Source
Abstract

此病例是非常特殊,其表现为:
1)ALCL很少原发于骨组织,
2)肿瘤细胞免疫表型特殊, CD30+CD15+ALK-1+CD43+Perforin+, 而其他PanB细胞和PanT细胞的标记均为阴性。
3)楼主诊断ALCL主要根据是 ALK-1+, 很有说服力!
问题:
1)如何解释ALCL表达 CD15?
2)除了ALK-1+支持ALCL外, 还有那些是支持ALCL的病理诊断线索(包括形态学和 IHC标记)?
感谢分享!
关于第二个问题:
本例是大细胞病变;本例出现了“裸”免疫表型,这可在ALCL中出现;本例perforin阳性,支持是细胞毒性的大细胞淋巴瘤;大细胞同时表达CD30/CD15/ALK/细胞毒标志物,据目前文献报道,只有ALCL能解释;EBER阴性;临床影像学提示为溶骨性病变。。。
欢迎大家补充!
非常感谢金主任,抛砖引玉式的精彩剖析!

chenliu0552 离线
ALK阳性ALCL发病年龄,发病部位,细胞形态可以非常广泛。西方国家统计男女比例为1.5:1,主要是40岁以内,尤其是儿童青少年多发。本例46岁女性,流行病学应少见的女性发病时段;
如金老师所言原发于骨也少见,如标题所显示:“临床骶骨脓肿?”表现为骨脓肿恐怕更少,综合以上所以本例的确特殊;
形态学hallmark 细胞显示不是很清晰,大的肿瘤细胞如果在ALCL和HL之间选择可能不容易,但HL的肿瘤细胞形态学特点的范围比较狭窄,而ALCL可能具有更广泛的形态学范围,细胞大小形态以及典型hallmark cell的多少有时很难确定。如果只看HE,觉得ALCL的可能会安全一点,当然我个人经验不足,可能理解得比较肤浅。
本例CD68的表达也许很重要,HL可以有严重的炎症背景,但背景细胞是否会出现如此明显CD68阳性细胞,还请各位老师教我;而ALCL CD68大概可以阳性。另外就是哪些细胞是肿瘤细胞的问题了,可能未必局限于CD30阳性的大细胞吧。
chenliu0552 离线
CD43+ 能否认为是T细胞标记+?
有了专家发言,俺就大胆说了,如果偏离轨道,还请各位老师把俺给拉回来。
CD43的表达缺乏特异性,一般正常B细胞不表达但很多B细胞淋巴瘤阳性,ALCL也可以阳性,本例不能只依据CD43的表达说明是T细胞+。WHO的描述如下: CD43 is expressed in two thirds of the cases(ALCL,ALK+), but this antigen lacks lineage specificity.
本例全B,全T缺失,使诊断很困难,淋巴瘤范围内一般考虑①HL;②浆细胞分化的肿瘤如浆细胞骨髓瘤或浆母细胞瘤;③ALCL. 以下为鉴别:
1.关于CD15:可见于HL,偶尔(WHO: rarely)见于ALCL,甚至可意外地或异常地(WHO: exceptionally)见于外周T,非特指.
2.关于PAX5:应该是HL和ALCL鉴别非常好的标记。WHO: The B-cell nature of HRS cell is further demonstrable in approximately 95% of cases by their expression of the B-cell specific activator protein PAX5. 本例PAX5阴性,重点就只有放在ALCL上了。
3.关于CD43: 对比CD43和CD3的结果,并不能否认ALCL,甚至还提供了一个线索就是CD3- 是由于肿瘤细胞“改头换面”缺失表达造成的,如果追加CD2,4,5等可能就会使肿瘤“原形毕露”了。
最后,ALK+可证实以上的推断。
感谢 chenliu0552老师很好的发言!
的确如此,CD43不仅表达于多量T细胞淋巴瘤,还可以表达于一些B细胞淋巴瘤,如套细胞淋巴瘤、小淋巴细胞淋巴瘤/白血病、粒细胞肉瘤等等,甚至还可以表达于一些非肿瘤细胞。本例CD2,CD3,CD4,CD8,CD5,CD7均阴性,在这样的大细胞病变形态基础上,此时做CD43和细胞毒标记物只是寻找诊断ALCL的佐证,后来果然CD43和部分细胞毒标志物是阳性,对于“裸”免疫表型的ALCL,这一诊断思路也是WHO和许多文献推荐的,日常工作中也是我们也常常是这样做的。如果病变是在淋巴结内,HE是大细胞病变,且出现上述免疫表型,我想应该有许多病理医生就诊断了ALCL了。只是本例部位等临床特征特殊,诊断需要慎之又慎,但最后ALK-1也显示大细胞阳性,就增加了诊断的信心。
