| 图片: | |
|---|---|
| 名称: | |
| 描述: | |
bugyang2005 离线
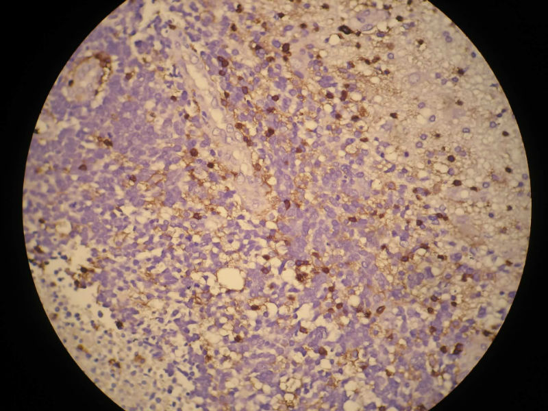
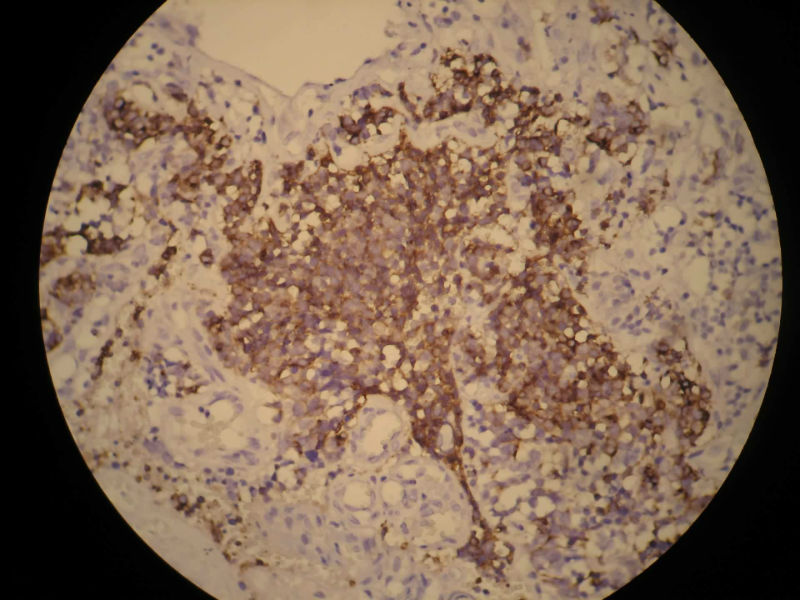
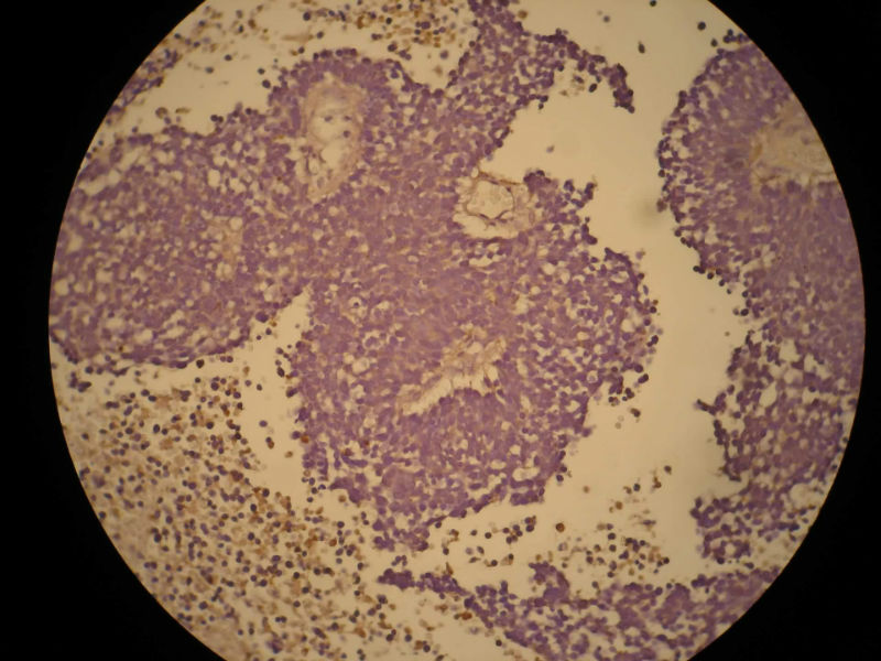
患者,M50Y,左侧肢体乏力半个月,肌力2级
MRI示右顶叶和小脑占位性病变,增强强化明显
术中见鱼肉样质脆,血管丰富,边界不清,部分囊性变,分块切除
大体:碎组织,4.2*3.5*2cm,呈鱼肉状,质嫩软。其间可见少量灰白组织,质韧。
Based on histology and immunohistochemistry, metastatic neuroendocrine carcinoma needs to be ruled out. I suggest TTF-1 stain. Also pay attention to nuclear morphology at high power view and see if it fits small cell carcinoma. It doesn't have to be a primary CNS tumor just because the border appears infiltrative.
谢谢Dr.mjma和楼上各位的指导。形态学符合小细胞癌。我们加做TTF-1,CD56和NSE,下周有结果。

华夏病理/粉蓝医疗
为基层医院病理科提供全面解决方案,
努力让人人享有便捷准确可靠的病理诊断服务。
Based on histology and immunohistochemistry, metastatic neuroendocrine carcinoma needs to be ruled out. I suggest TTF-1 stain. Also pay attention to nuclear morphology at high power view and see if it fits small cell carcinoma. It doesn't have to be a primary CNS tumor just because the border appears infiltrative.

聞道有先後,術業有專攻