共1页/13条首页上一页1下一页尾页
回复:13 阅读:3394
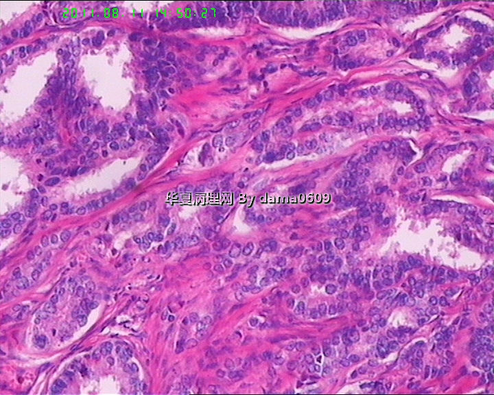
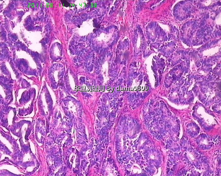
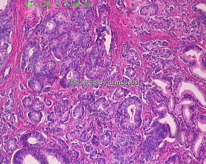
前列腺增生症标本内见有此病灶,请大家看看!!

dama0609 离线

帖子:613
粉蓝豆:1474
经验:708
注册时间:2008-09-08
加关注  |  发消息
楼主 发表于 2011-08-11 20:54|举报|关注(0)
浏览排序[ 顺序 逆序 楼主 支持 精彩 ]  快捷回复
  • 前列腺增生症标本内见有此病灶,请大家看看!!图1
    图1
  • 前列腺增生症标本内见有此病灶,请大家看看!!图2
    图2
  • 前列腺增生症标本内见有此病灶,请大家看看!!图3
    图3
  • 前列腺增生症标本内见有此病灶,请大家看看!!图4
    图4
  • 前列腺增生症标本内见有此病灶,请大家看看!!图5
    图5
  • 前列腺增生症标本内见有此病灶,请大家看看!!图6
    图6
  • 前列腺增生症标本内见有此病灶,请大家看看!!图7
    图7
  • 前列腺增生症标本内见有此病灶,请大家看看!!图8
    图8
  • 前列腺增生症标本内见有此病灶,请大家看看!!图9
    图9
  • 前列腺增生症标本内见有此病灶,请大家看看!!图10
    图10
  • 前列腺增生症标本内见有此病灶,请大家看看!!图11
    图11
  • 前列腺增生症标本内见有此病灶,请大家看看!!图12
    图12
  • 前列腺增生症标本内见有此病灶,请大家看看!!图13
    图13
 
标签:
0
signature
过河小马!
添加参考诊断
×参考诊断
  

dama0609 离线

帖子:613
粉蓝豆:1474
经验:708
注册时间:2008-09-08
加关注  |  发消息
1 楼    发表于2011-08-11 20:56:31举报|引用
返回顶部 | 快捷回复

请老师们帮看看,够癌了吧------前列腺腺泡腺癌。核仁不十分明显!!

0
回复
signature
过河小马!

xiaodexiao 离线

帖子:63
粉蓝豆:1
经验:203
注册时间:2010-11-22
加关注  |  发消息
2 楼    发表于2011-08-11 23:15:09举报|引用
返回顶部 | 快捷回复

前列腺腺癌,个人认为还是有核仁的,应该不需要各个都有核仁吧?

0
回复

fangg 离线

帖子:1426
粉蓝豆:44
经验:1863
注册时间:2007-01-22
加关注  |  发消息
3 楼    发表于2011-08-12 14:30:23举报|引用
返回顶部 | 快捷回复
前列腺腺癌,gleason3

0
回复
signature
境随心转

刀尖上的舞者 离线

帖子:1763
粉蓝豆:87
经验:3356
注册时间:2010-12-14
加关注  |  发消息
4 楼    发表于2011-08-12 19:01:09举报|引用
返回顶部 | 快捷回复

太够了

1

指环王
回复

小雪 离线

帖子:42
粉蓝豆:1
经验:397
注册时间:2010-08-03
加关注  |  发消息
5 楼    发表于2011-08-12 19:38:06举报|引用
返回顶部 | 快捷回复

前列腺腺癌

0
回复

指环王 离线

帖子:570
粉蓝豆:15
经验:577
注册时间:2007-06-10
加关注  |  发消息
6 楼    发表于2011-08-12 22:29:56举报|引用
返回顶部 | 快捷回复

前列腺腺癌

1

13943618..
回复

wangdingding 离线

帖子:1474
粉蓝豆:98
经验:6042
注册时间:2006-10-19
加关注  |  发消息
7 楼    发表于2011-08-13 19:04:18举报|引用
返回顶部 | 快捷回复

 间质已有浸润,癌无疑

0
回复

学浅 离线

帖子:2053
粉蓝豆:79
经验:3125
注册时间:2008-06-01
加关注  |  发消息
8 楼    发表于2011-08-13 19:52:57举报|引用
返回顶部 | 快捷回复

前列腺癌,倾向导管型。

核仁也是仁呀,不能要求太高。我认为该病例核仁已经很明显了。

1

13943618..
回复

巴山夜雨 离线

帖子:34
粉蓝豆:26
经验:229
注册时间:2008-05-10
加关注  |  发消息
9 楼    发表于2011-08-13 19:58:30举报|引用
返回顶部 | 快捷回复

有一种前列腺腺癌--子宫内膜样腺癌,很象的

0
回复

冰谏 离线

帖子:34
粉蓝豆:41
经验:154
注册时间:2009-02-26
加关注  |  发消息
10 楼    发表于2011-08-13 19:58:59举报|引用
返回顶部 | 快捷回复

前列腺腺癌,图9有核仁吧。

0
回复

lantian0508 离线

帖子:1250
粉蓝豆:42
经验:1495
注册时间:2007-08-01
加关注  |  发消息
11 楼    发表于2011-08-17 22:10:42举报|引用
返回顶部 | 快捷回复

前列腺腺癌gleason3+3,伴HGPIN,

1

13943618..
回复

1394361892 离线

帖子:655
粉蓝豆:12
经验:1275
注册时间:2011-09-04
加关注  |  发消息
12 楼    发表于2011-09-11 07:57:58举报|引用
返回顶部 | 快捷回复

前列腺腺癌gleason3+3

0
回复

杨宝军 离线

帖子:1631
粉蓝豆:35
经验:1891
注册时间:2007-02-10
加关注  |  发消息
13 楼    发表于2011-09-11 22:25:00举报|引用
返回顶部 | 快捷回复

前列腺腺癌gleason3+3

1

13943618..
回复
回复:13 阅读:3394
共1页/13条首页上一页1下一页尾页
【免责声明】讨论内容仅作学术交流之用,不作为诊疗依据,由此而引起的法律问题作者及本站不承担任何责任。
快速回复
进入高级回复
您最多可输入10000个汉字,按 "Ctrl" + "Enter" 直接发送
搜索回复/乘电梯 ×
按内容
按会员
乘电梯
合作伙伴
友情链接