回复:5 阅读:2206
腹腔隐睾

yy369yy 离线

帖子:321
粉蓝豆:27
经验:1131
注册时间:2009-12-18
加关注  |  发消息
楼主 发表于 2011-08-02 19:18|举报|关注(0)
浏览排序[ 顺序 逆序 楼主 支持 精彩 ]  快捷回复
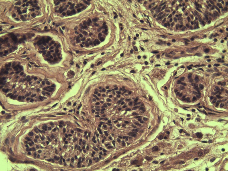
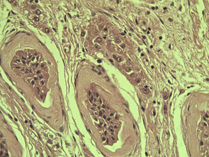
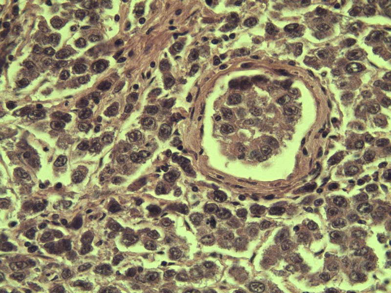
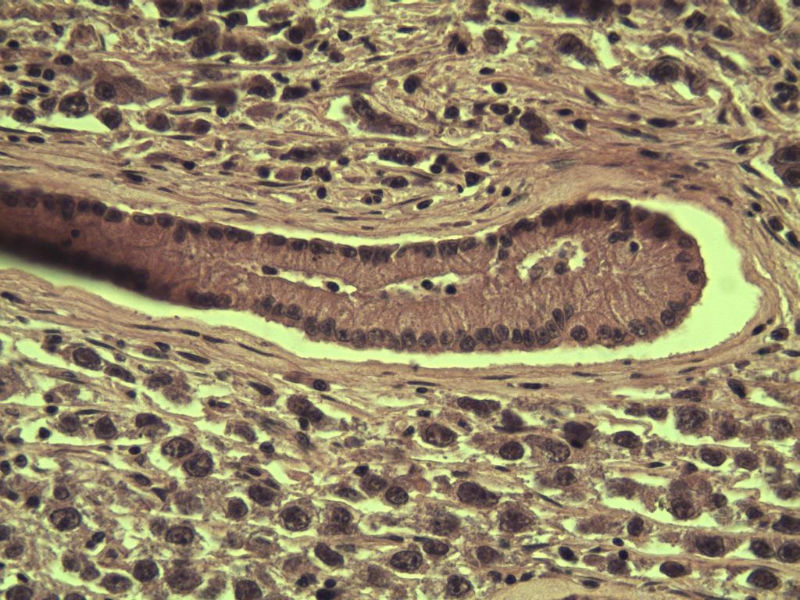
男 27岁 腹腔隐睾 5*3*2 cm, 切面灰红灰黄、实性、质中,请各位老师看看,是精原细胞瘤吗?感觉不像.腹腔隐睾图1
名称:图1
描述:a207.Jpg.jpg
腹腔隐睾图2
名称:图2
描述:a211.Jpg.jpg
腹腔隐睾图3
名称:图3
描述:a212.Jpg.jpg
腹腔隐睾图4
名称:图4
描述:a214.Jpg.jpg
腹腔隐睾图5
名称:图5
描述:a208.Jpg.jpg
腹腔隐睾图6
名称:图6
描述:a213.Jpg.jpg
腹腔隐睾图7
名称:图7
描述:a209.Jpg.jpg
腹腔隐睾图8
名称:图8
描述:a206.Jpg.jpg
腹腔隐睾图9
名称:图9
描述:a210.Jpg.jpg
腹腔隐睾图10
名称:图10
描述:a223.Jpg.jpg
腹腔隐睾图11
名称:图11
描述:a215.Jpg.jpg
腹腔隐睾图12
名称:图12
描述:a221.Jpg.jpg
腹腔隐睾图13
名称:图13
描述:a218.Jpg.jpg
腹腔隐睾图14
名称:图14
描述:a219.Jpg.jpg
腹腔隐睾图15
名称:图15
描述:a216.Jpg.jpg
腹腔隐睾图16
名称:图16
描述:a222.Jpg.jpg
腹腔隐睾图17
名称:图17
描述:a220.Jpg.jpg
腹腔隐睾图18
名称:图18
描述:a217.Jpg.jpg
腹腔隐睾图19
名称:图19
描述:a224.Jpg.jpg
腹腔隐睾图20
名称:图20
描述:a232.Jpg.jpg
腹腔隐睾图21
名称:图21
描述:a226.Jpg.jpg
腹腔隐睾图22
名称:图22
描述:a233.Jpg.jpg
腹腔隐睾图23
名称:图23
描述:a228.Jpg.jpg
腹腔隐睾图24
名称:图24
描述:a229.Jpg.jpg
腹腔隐睾图25
名称:图25
描述:a225.Jpg.jpg
腹腔隐睾图26
名称:图26
描述:a230.Jpg.jpg
腹腔隐睾图27
名称:图27
描述:a223.Jpg.jpg
腹腔隐睾图28
名称:图28
描述:a234.Jpg.jpg

标签:
0
添加参考诊断
×参考诊断
  
回复:5 阅读:2206
【免责声明】讨论内容仅作学术交流之用,不作为诊疗依据,由此而引起的法律问题作者及本站不承担任何责任。
快速回复
进入高级回复
您最多可输入10000个汉字,按 "Ctrl" + "Enter" 直接发送
搜索回复/乘电梯 ×
按内容
按会员
乘电梯
合作伙伴
友情链接