共1页/17条首页上一页1下一页尾页
回复:17 阅读:6477
请你根据形态自己命名,可能是一种新的软组织肿瘤类型:图片请看后面上传的内容。

mrjys 离线

帖子:129
粉蓝豆:13
经验:504
注册时间:2008-03-29
加关注  |  发消息
楼主 发表于 2011-06-17 13:24|举报|关注(3)
浏览排序[ 顺序 逆序 楼主 支持 精彩 ]  快捷回复
姓    名: ××× 性别:   年龄:  
标本名称:  
简要病史:  
肉眼检查:  
姓 名: ××× 性别: 年龄: 53岁
标本名称: 左手掌肿物
简要病史: 3个月前始发现左手掌肿物并逐渐增大
肉眼检查: 肿物无包膜,条索状,4*2*2cm

肿瘤镜下:瘤组织呈片状,浸润横纹肌组织(瘤组织内见分离的横纹肌),在片状区散在多个上皮样结节,结节之间瘤细胞呈梭形或胖梭形,束状排列,部分可呈旋涡状,上皮样结节瘤细胞胞浆丰富,多边形或圆形卵圆形。本病例曾经专家会诊,无法归类,定性为中间交界性或低度恶性。

免疫组化:上皮结节CD34阳性,所有肿瘤组织表达VIMENTIN、CD68及CD163,CD99+/-.

阴性:HMB45、CALPONIN、EMA、BCL-2、AE1/AE3、S-100、Melan-A、MSA、B-catenin、SMA、FVIIIAg、FXIII、CD117

  • 请你根据形态自己命名,可能是一种新的软组织肿瘤类型:图片请看后面上传的内容。图1
    图1
  • 请你根据形态自己命名,可能是一种新的软组织肿瘤类型:图片请看后面上传的内容。图2
    图2
  • 请你根据形态自己命名,可能是一种新的软组织肿瘤类型:图片请看后面上传的内容。图3
    图3
标签:
本帖最后由 mrjys 于 2011-09-14 22:42:43 编辑
0
添加参考诊断
×参考诊断
  

山川 离线

帖子:324
粉蓝豆:18
经验:926
注册时间:2010-12-28
加关注  |  发消息
17 楼    发表于2011-12-30 17:21:18举报|引用
返回顶部 | 快捷回复

显示瘤组织呈弥漫性排列,其中散在大小不等、分布不均的上皮样结节,瘤细胞无明显异型性或仅有轻度异型,呈侵袭性生长。伴有上皮样结节的纤维组织细胞变异性肿瘤?

1

李庆芳
回复
signature
看图识字

防港一员 离线

帖子:410
粉蓝豆:30
经验:1041
注册时间:2010-08-13
加关注  |  发消息
16 楼    发表于2011-10-27 22:59:47举报|引用
返回顶部 | 快捷回复

 上皮样肉瘤样血管内皮瘤??

0
回复
signature
有志者事竟成

羽珩 离线

帖子:797
粉蓝豆:25
经验:1208
注册时间:2010-11-24
加关注  |  发消息
15 楼    发表于2011-10-16 21:24:05举报|引用
返回顶部 | 快捷回复
本帖最后由 羽珩 于 2011-12-30 21:19:48 编辑

需要慢慢观察!!!

0
回复
signature

炎相羽珹

zhouquan 离线

帖子:7752
粉蓝豆:302
经验:8263
注册时间:2008-11-09
加关注  |  发消息
14 楼    发表于2011-10-16 19:35:33举报|引用
返回顶部 | 快捷回复

梭形细胞肿瘤,具有较多脑膜瘤样漩涡结构,就HE 形态而言本例倾向滤泡树突状细胞肉瘤,不知,CD21,CD35等标记结果如何

0
回复
signature
成功不是得到多少东西,而是把身上多余的东西的扔掉多少。   

海上明月 离线

帖子:9476
粉蓝豆:1172
经验:10007
注册时间:2009-08-29
加关注  |  发消息
13 楼    发表于2011-09-16 00:24:33举报|引用
返回顶部 | 快捷回复

初步考虑:

1)伴有较多脑膜上皮样漩涡的皮隆突;

2)非典型性纤维黄色瘤;

3)上皮样变异的恶纤组,低度恶性。

0
回复
signature
王军臣

mrjys 离线

帖子:129
粉蓝豆:13
经验:504
注册时间:2008-03-29
加关注  |  发消息
12 楼    发表于2011-09-14 22:36:07举报|引用
返回顶部 | 快捷回复
  • 图1
  • 图2
  • 图3
  • 图4
  • 图5
  • 图6
  • 图7
  • 图8

 

0
回复

mrjys 离线

帖子:129
粉蓝豆:13
经验:504
注册时间:2008-03-29
加关注  |  发消息
11 楼    发表于2011-09-14 22:29:21举报|引用
返回顶部 | 快捷回复

讨     论    

1. 生物学潜能评估:2002版WHO肿瘤新分类中,软组织肿瘤分类工作组按照生物学潜能将软组织肿瘤分为4个类型[1]:良性、中间性(局部侵袭性)、中间性(偶见转移型)和恶性。各类型的定义如下:良性是指大多数肿瘤不会发生局部复发,确实复发者也不具破坏性,可经完整切除而治愈。中间性(局部侵袭性)是指肿瘤经常局部复发,并呈浸润性和局部破坏性生长,肿瘤无转移潜能,但需要采取边缘带有正常组织的扩大切除术,确保局部无肿瘤组织残留。中间性(偶见转移型)是指肿瘤常具有局部侵袭性,除此之外,偶尔有些病例还有明确的远处转移能力,转移风险小于2%,而且根据组织学形态不能可靠预测肿瘤的转移潜能。恶性又称软组织肉瘤,是指除局部具有破坏性生长和复发潜能外,远处转移的风险高,根据肿瘤组织学类型和分级的不同,转移率从20%至几乎100%,有些组织学表现为低级别的肉瘤的转移率只有2%至10%,但这种病变在局部复发时恶性度可能会增高,因此远处转移的风险增加。我们阐述的这个病例,临床上具有局部复发的生物学行为以及组织形态学表现为明显的浸润性生长(浸润横纹肌),瘤细胞无明显异型性。因此,本病变符合WHO软组织肿瘤分类中的“中间性(局部侵袭性)”的生物学潜能的分类

2. 组织学形态特征及命名:瘤组织无包膜,呈弥漫性分布及侵袭性生长(浸润横纹肌),其中散在大小不等、分布不均的上皮样结节,瘤细胞无明显异型性或仅有轻度异型,所有瘤组织均表达Vimentin、CD163及CD168,上皮样结节尚表达CD34,提示肿瘤组织具有纤维组织细胞分化的特点,超微结构亦显示肿瘤细胞具有纤维母细胞及组织细胞分化的特征。目前根据相关文献的分类,中间性纤维组织细胞肿瘤主要分为[1-3]:非典型纤维黄色瘤、隆凸性皮肤纤维肉瘤及其亚型、巨细胞纤维母细胞瘤、丛状纤维组织细胞瘤、软组织巨细胞瘤及血管瘤样纤维组织细胞瘤,其中后者被部分文献列入起源未定的中间性肿瘤之中。这些中间性肿瘤均具有较为独特的形态学特征,本病变的形态学表现与前述肿瘤所描述的形态特征存在明显差异,无法归类于上述任何肿瘤类型中因此,我们把此病变描述为“伴有上皮样结节的纤维组织细胞肿瘤 (Fibrohistiocytic  tumor with epithelioid  tubercles,ET-FHT )”。由于本病变具有侵袭性的生物学行为,并向纤维组织细胞方向分化以及具有上皮样结节结构特征,与丛状纤维组织细胞瘤具有一定程度的相似性,因此,一些会诊专家对本病变曾提议命名为“非典型丛状纤维组织细胞瘤(Atypical plexiform fibrohistiocytic tumor,APFT)”这一术语。我们认为,“非典型”常包含两层意思,一种为肿瘤组织的“异型性”,如“非典型纤维组织细胞瘤”,另一种为“缺乏经典型特征”,如“非典型肺炎”。由此可见,使用“APFT”这一名称容易导致诊断上的混淆,因此,我们不赞成启用该命名来描述这一具有独特形态学表现的病变

3. 病因学、组织学起源发生机制:由于病例尚少,对其病因学、组织学起源及发生机制尚难作出可靠的分析。然而,对于本例复发的病变(目前尚未作再次手术切除)或其他新发病例,在条件允许的情况下,建议进一步做细胞及分子遗传学方面的分析,以进一步揭示这种病变的本质特征,期待积累更多的新病例进行研究。

4. 鉴别诊断:①腱鞘巨细胞瘤[4]:肿瘤组织常呈分叶状,小叶由致密、透明化胶原围绕,瘤细胞由组织细胞样单核细胞、破骨样多核巨细胞、黄色瘤细胞、慢性炎症性细胞、含铁血黄素巨噬细胞和胶原化基质以不同比例混合组成,多数情况下瘤细胞排列成成片,形成大小不等的脉管样裂隙结构,这是腱鞘巨细胞瘤的重要线索,缺乏ET-FHT的上皮样结节,后者无小叶状结构、含铁血黄素巨噬细胞及胶原化基质。②栅栏状纤维组织细胞瘤[5]:瘤组织局灶区域排列呈栅栏状结构并形成小体样结构,其他区域具有典型的纤维组织细胞瘤形态特征,缺乏ET-FHT上皮样结节。③深在性良性纤维组织细胞瘤(富于细胞型皮肤纤维组织细胞瘤)[6]:是一种良性纤维组织细胞瘤,肿瘤组织全部位于皮下、深部软组织或实质器官内,界限清楚,有假包膜,有明显的编席状结构,有时伴有血管外周细胞瘤样区域,结构单一瘤细胞表现温和,无细胞核多形性和核深染无上皮样结节,可与ET-FHT鉴别。④上皮样纤维组织细胞瘤[7]:病变隆起于皮肤表面,呈半圆形或息肉状,镜下病变主要局限于真皮乳头层,由胞质丰富嗜伊红的上皮样纤维母细胞样细胞组成,呈镶嵌状排列,瘤内富含小血管,有点类似子宫内膜蜕膜样间质,EMA可运行表达,缺乏ET-FHT的上皮样结节,后者ET-FHT发生于深部肌腱,与腱膜相连,EMA阴性。⑤丛状纤维组织细胞瘤[8]:瘤组织由丛状分布的多个小结节或梭形细胞束组成,小结节由单核样组织细胞、梭形纤维母细胞和破骨样巨细胞构成,具有3种形态学表现,包括纤维组织细胞瘤亚型(由单核组织细胞样和多核巨细胞样细胞组成)、纤维母细胞亚型(短束状纤维母细胞样细胞)及混合型,瘤组织除了表达组织细胞标记以外,尚表达SMA,而ET-FHT的瘤组织内散在大小不等、分布不均的结节,缺乏典型的丛状结构,亦无表达SMA,两者可以鉴别。⑥非典型纤维组织细胞瘤[9]肿瘤位于真皮内,由多形性的纤维母细胞样梭形细胞和卵圆形、圆形和多边形的组织细胞样细胞组成,病变内可见核大深染、核型不规则的多形性细胞或畸形细胞,具有1个小核仁,但核分裂像难于找到,常可见到杜顿巨细胞样多核巨细胞,无ET-FHT上皮样结节,后者缺乏奇异型瘤细胞。⑦非典型纤维黄色瘤[10]:具有与恶性纤维组织细胞瘤相似的低度恶性肿瘤,二者组织学上相似,但前者较小,位置较浅,因而预后较好,组织病理检查显示肿瘤发生于真皮,由细胞的胶原带与表皮分开,肿瘤由奇形怪状的梭形细胞与非典型性组织细胞构成,部分梭形细胞有一泡状核,胞浆呈空泡状而类似黄色瘤细胞,易见核分裂象,具有显著的嗜酸性核仁和出现双相肿瘤细胞群为特征性表现,而ET-FHT缺乏异型性或异型性不明显,缺乏奇异型瘤细胞,具有大小不等、分布不均的多个上皮样结节,可资鉴别。⑧血管瘤样纤维组织细胞瘤[11]:瘤组织具有较厚的纤维性假包膜,肿瘤实质由嗜酸性细胞、组织细胞样细胞和肌样细胞呈多结节状增生所构成,瘤内尚见多少不等的假血管瘤样腔隙,包膜周围淋巴浆细胞浸润,免疫组化显示数病例表达CD68、DesminEMA,而ET-FHT除了具有特征性的上皮样结节外,缺乏假包膜及假血管瘤样腔隙,瘤组织不表达DesminEMA而表达CD163、CD68及CD34。⑨隆突性皮肤纤维肉瘤[12]:病变主要位于真皮组织,瘤细胞丰富,呈梭形,大小形态较一致,瘤细胞和胶原纤维常呈席纹状、轮辐状、编织状、旋涡状或束状排列,组织学表现可分为普通型、粘液型、纤维瘤型、黑色素型、巨细胞纤维母细胞瘤样型、萎缩型和混合型等多种类型,免疫组化显示瘤细胞弥漫表达CD34,SMA表达不定,与ET-FHT不同,前者缺乏CD34阳性的上皮样结节,瘤细胞不表达或仅局灶性表达CD163等组织细胞标记。⑩恶性纤维组织细胞瘤/多形性未分化肉瘤:瘤组织具有明显的异型性,缺乏上皮样结节结构,可与ET-FHT 鉴别。11低度恶性神经鞘膜瘤(包括恶性神经束膜瘤)[13]:常可见到旋涡状结构,瘤细胞异型性可不明显,但核分裂像明显,尚可见到病理性核分裂,瘤组织表达S100,不表达CD163及CD68,ET-FHT 易于鉴别12恶性腱鞘巨细胞瘤[14]:多数病变由含有肉瘤性区域及良性腱鞘巨细胞瘤样区域成分,浸润性生长的结节或结节-片状组成,细胞大而肥胖,胞质丰富,胞界不清,间质稀少、核大,核仁明显,核质比高,有非典型核分裂,少量黄色瘤细胞和炎症细胞,有时有裂隙样或假腺样腔隙,常见坏死浸润性生长,有时看见良性腱鞘巨细胞瘤的区域,而ET-FHT 主要由梭形、卵圆形细胞构成,伴有明显的上皮样结节,瘤组织无明显异型性,罕见破骨细胞样巨细胞,两者可资鉴别。

5.治疗及预后:本病变是一种局部侵袭性的中间性肿瘤,局部单纯肿物切除术后4个月复发。因此能深入认识本病,早期作出明确诊断以及采取扩大性切除手术十分必要,是预防复发、避免转移的关键。采取局部扩大切除不是仅指除了在肿瘤外2cm 以上距离切除肿瘤,更重要的是通过术中多点冷冻病检来确保切缘干净。 

 总之,根据组织学形态及局部呈侵袭性生长及临床具有复发的特点,ET-FHT应属于恶性潜能未定的中间型肿瘤,由于具有独特的形态学特征,加之免疫组化及超微结构特征显示瘤组织向纤维组织细胞方向分化。因此,我们认为该病变可能是一种新的肿瘤实体,有待于积累更多的病例进行研究。

0
回复

mrjys 离线

帖子:129
粉蓝豆:13
经验:504
注册时间:2008-03-29
加关注  |  发消息
10 楼    发表于2011-09-14 22:28:42举报|引用
返回顶部 | 快捷回复

术中于左手掌肿物处作一弧形约10cm切口,锐性分离,切开掌腱膜,可见一梭型实性肿物,大小约为4cm×2cm×2cm,附着于第2至4指屈肌腱,与蚓状肌粘连并压迫中环指间指总神经,质中,活动度尚可,局部无红肿及渗出,锐性分离肿物送病检

3.病理学检查

3.1眼观(图5:灰黄色组织一块,无包膜,大小4cmx2cmx2cm,质中偏软,切面鱼肉状,浅黄色,未见出血及坏死。

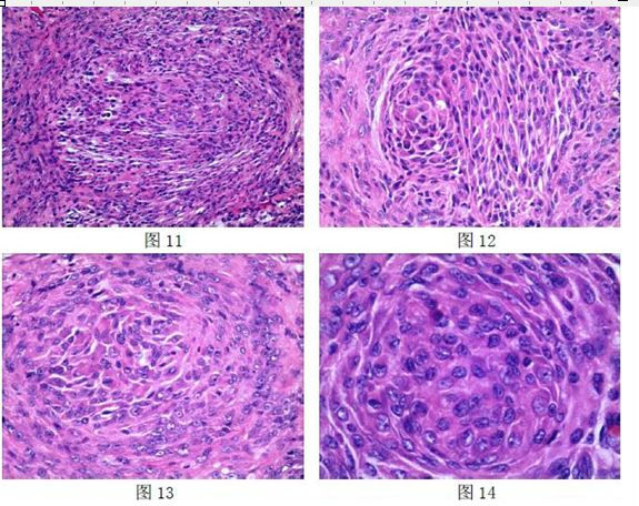
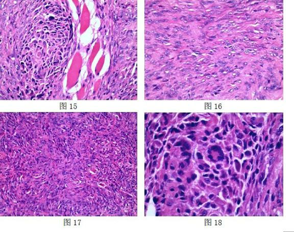
3.2 镜检:瘤组织无包膜,边界尚清,局部与肌腱或横纹肌相连(图6-7;瘤细胞呈弥漫性分布,多数区域瘤组织随机分布,部分区域呈束状或席纹状排列瘤组织内散在多个大小不等、分布不均的上皮样细胞性结节,部分结节彼此相邻或紧密相连以致融合成片状,少量孤立性结节周边区域瘤细胞呈同心圆样或漩涡样排列(图8-14灶区域可见被瘤组织分离成大小不等的横纹肌束,周围被瘤组织紧密包绕(图15结节间瘤组织束状或席纹状排列(图16-17,瘤细胞呈梭形、胖梭形或卵圆形,境界不清,胞质丰富、红染,核梭形或卵圆形,核膜稍厚,核异型性不明显或轻度异型,可见一个小核仁,核分裂小于5个/10HPF,无病理性核分裂结节瘤细胞境界清楚,呈上皮样圆形或卵圆形,胞浆丰富、红染,核圆形或多边形,核膜厚,染色质细颗粒状,多数细胞具有一个明显的核仁,偶见少许胞质丰富的单核巨细胞及个别杜顿巨细胞样多核巨细胞(图18之外瘤组织内尚可见到散在少量的淋巴细胞浸润,以血管周围多见。

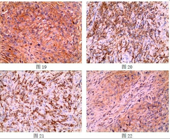
3.3免疫组化:瘤组织包括结节间梭形细胞及结节内上皮样细胞表达Vimentin(图19CD163(图20)、CD68(图21、CD99+/-,不表达HMB45、Calponin、EMA、Bcl-2、AE1/AE3、S-100、Melan-A、MSA、B-Catenin、Desmin、SMA、FXIII、FVIIIagLCACD117,此外,上皮样组织细胞结节表达CD34(图22)。

3.4电镜观察:瘤细胞呈梭形、胖梭形、圆形或多边形,核有切迹及核内有一个醒目的核仁,具有纤维母细胞及组织细胞特征。

0
回复

mrjys 离线

帖子:129
粉蓝豆:13
经验:504
注册时间:2008-03-29
加关注  |  发消息
9 楼    发表于2011-09-14 22:28:22举报|引用
返回顶部 | 快捷回复

1.影像学资料 

2011年4月18日B(图1左手掌皮下肌肉梭形低回声实性团块,约4.0cm×2.1cm×1.2cm,团块边界清楚,规整,血供丰富,周边见环状彩流,内部见短杆状彩流,诊断意见:左手掌皮下肌内实性占位性病变,倾向良性声像图,神经源性可能性大”。术后4个月B超复查(同年8月18日)示(图2)手术切口下见一边缘规整均匀低回声实性团块,约1.3cm×0.8cm×0.8cm,内见少量彩流,诊断意见:左手掌切口下实性占位性病变

    2.手术所见(图3-4

0
回复

mrjys 离线

帖子:129
粉蓝豆:13
经验:504
注册时间:2008-03-29
加关注  |  发消息
8 楼    发表于2011-09-14 22:25:03举报|引用
返回顶部 | 快捷回复

1.临床资料 

患者,女,53岁,因左掌肿物逐渐增大1年余伴同侧第4、第5指半年于2011年4月18日院就诊,门诊拟“左掌肿物,倾向神经源性肿瘤”收入我院骨二科进一步治疗专科检查:左手掌皮下扪及一4cm×2cm×2cm大小的肿物,质韧,无压痛,边缘尚清,活动度稍差局部皮面光滑、隆起,触之无搏动感左手指动血运良好4、第5指伴有麻痛感期间曾行B超检查诊断为:左手掌肌肉内实性占位性病变患者在臂丛麻下行掌部肿物切除术,术后指关节活动良好,指端血运同侧4、第5指感觉明显改善。术后4个月随访,局部触及一质偏硬的肿块,局部皮面稍隆起,无压痛,B超显示原术口下实性占位性病变,临床考虑复发,建议患者进一步手术切除。

2.方法 

0
回复

mrjys 离线

帖子:129
粉蓝豆:13
经验:504
注册时间:2008-03-29
加关注  |  发消息
7 楼    发表于2011-09-14 22:22:03举报|引用
返回顶部 | 快捷回复

 

 人们对疾病的认知是一个渐进性不断发展的过程,尽管许多疾病依赖于当前医疗科技的发展得到较好的诊断和治疗,然而或许更多的疾病未被发现及获得充分的认识,因此需要人们充分发挥才智进行深入探究。本文阐述一种具有独特形态学表现的肿瘤性病变,镜下显示瘤组织呈弥漫性排列,其中散在大小不等、分布不均的上皮样结节,瘤细胞无明显异型性或仅有轻度异型,呈侵袭性生长。根据WHO肿瘤分类的原则,符合具有局部侵袭性的中间性肿瘤,免疫组化及超微结构特征显示肿瘤细胞具有纤维母细胞及组织细胞分化的特征。然而,参阅当前国内外文献各种肿瘤组织病理学分类,均未发现任何肿瘤类型所描述的组织学形态符合本病变的特征。因此,我们认为这种具有独特形态学表现的病变可能是一种新的尚未被认知的肿瘤实体并予以命名为“伴有上皮样结节的纤维组织细胞

性肿瘤(Fibrohistiocytic tumor with epithelioid tubercles,ET-FHT )”。现就其临床表现、组织学形态、免疫组化及超微结构特征方面报告如下,期与同行探讨并提议收集类似病例以作进一步研究。 

 
0
回复

qwe628400 离线

帖子:459
粉蓝豆:57
经验:516
注册时间:2009-11-17
加关注  |  发消息
12 楼    发表于2011-06-21 20:35:00举报|引用
返回顶部 | 快捷回复

 建议再作 CD31   CK8/18   CK19

考虑诊断 :

1上皮样肉瘤: Miettine及其同事的大规模免疫组化显示,肿瘤波形蛋白、EMA、CK8、CK19阳性

                      率分别为100%,96%,94%,72%, 60%的CD34阳性 ,因此我们不能仅仅因为一两个上皮性

                      抗体阴性就排除上皮样肉瘤。

2、上皮样肉瘤样血管内皮瘤:交界性血管肿瘤,CD31阳性,但一般CD34阴性。

0
回复

安迪 离线

帖子:598
粉蓝豆:3525
经验:849
注册时间:2011-03-04
加关注  |  发消息
13 楼    发表于2011-06-21 19:37:00举报|引用
返回顶部 | 快捷回复
 像横纹肌肉瘤
0
回复

潇凌 离线

帖子:84
粉蓝豆:5
经验:96
注册时间:2008-10-27
加关注  |  发消息
14 楼    发表于2011-06-20 10:22:00举报|引用
返回顶部 | 快捷回复

 图片太少了,来点低倍看看全貌,诊断上皮样肉瘤跟上皮样血管内瘤诊据不充分。

C31\F8?

0
回复

cmulin 离线

帖子:84
粉蓝豆:442
经验:115
注册时间:2010-10-14
加关注  |  发消息
15 楼    发表于2011-06-20 07:58:00举报|引用
返回顶部 | 快捷回复
 上皮样肉瘤,CD34阳性,好发于手掌
0
回复
signature
反反复复

wfbjwt 离线

帖子:6628
粉蓝豆:163
经验:7418
注册时间:2006-10-08
加关注  |  发消息
16 楼    发表于2011-06-17 18:09:00举报|引用
返回顶部 | 快捷回复
      或者:组织细胞样血管内皮瘤。
0
回复
signature
嫁人就嫁灰太狼,学习要上华夏网。

wfbjwt 离线

帖子:6628
粉蓝豆:163
经验:7418
注册时间:2006-10-08
加关注  |  发消息
17 楼    发表于2011-06-17 17:56:00举报|引用
返回顶部 | 快捷回复
 呵呵,我来命名:实性上皮样血管内皮瘤。
0
回复
signature
嫁人就嫁灰太狼,学习要上华夏网。
回复:17 阅读:6477
共1页/17条首页上一页1下一页尾页
【免责声明】讨论内容仅作学术交流之用,不作为诊疗依据,由此而引起的法律问题作者及本站不承担任何责任。
快速回复
进入高级回复
您最多可输入10000个汉字,按 "Ctrl" + "Enter" 直接发送
搜索回复/乘电梯 ×
按内容
按会员
乘电梯
合作伙伴
友情链接