共3页/56条首页上一页123下一页尾页
回复:56 阅读:11563
男/35岁 黑色素性Xp11易位肾癌?(上海市疑难病例读片会2010#1长海医院病例)

xljin8 离线

帖子:2275
粉蓝豆:1531
经验:2417
注册时间:2009-03-04
加关注  |  发消息
楼主 发表于 2010-03-28 20:54|举报|关注(1)
浏览排序[ 顺序 逆序 楼主 支持 精彩 ]  快捷回复
姓    名: ××× 性别:   年龄:  
标本名称:  
简要病史: 体检发现右肾肿瘤一周
肉眼检查:  肾脏一个,9.5x5x3cm,切面中上级见一肿块,3x3x2.5cm, 灰白灰黄色,部分暗红色,边界较清楚。位于肾实质内,累及肾包膜。

图片9 IHC 标记- HMB-45;
图片10-11 肿瘤与正常肾脏 CK7

图12 肿瘤周围正常肾脏 CK7
男/35岁 黑色素性Xp11易位肾癌?(上海市疑难病例读片会2010#1长海医院病例)图1
名称:图1
描述:图1
男/35岁 黑色素性Xp11易位肾癌?(上海市疑难病例读片会2010#1长海医院病例)图2
名称:图2
描述:图2
男/35岁 黑色素性Xp11易位肾癌?(上海市疑难病例读片会2010#1长海医院病例)图3
名称:图3
描述:图3
男/35岁 黑色素性Xp11易位肾癌?(上海市疑难病例读片会2010#1长海医院病例)图4
名称:图4
描述:图4
男/35岁 黑色素性Xp11易位肾癌?(上海市疑难病例读片会2010#1长海医院病例)图5
名称:图5
描述:图5
男/35岁 黑色素性Xp11易位肾癌?(上海市疑难病例读片会2010#1长海医院病例)图6
名称:图6
描述:图6
男/35岁 黑色素性Xp11易位肾癌?(上海市疑难病例读片会2010#1长海医院病例)图7
名称:图7
描述:图7
男/35岁 黑色素性Xp11易位肾癌?(上海市疑难病例读片会2010#1长海医院病例)图8
名称:图8
描述:图8
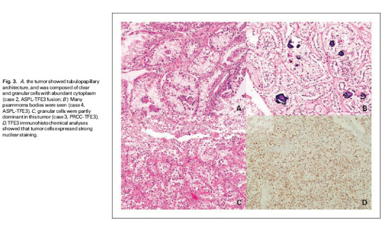
男/35岁 黑色素性Xp11易位肾癌?(上海市疑难病例读片会2010#1长海医院病例)图9
名称:图9
描述:图9
男/35岁 黑色素性Xp11易位肾癌?(上海市疑难病例读片会2010#1长海医院病例)图10
名称:图10
描述:图10
男/35岁 黑色素性Xp11易位肾癌?(上海市疑难病例读片会2010#1长海医院病例)图11
名称:图11
描述:图11
男/35岁 黑色素性Xp11易位肾癌?(上海市疑难病例读片会2010#1长海医院病例)图12
名称:图12
描述:图12
标签:
本帖最后由 于 2010-04-01 02:56:00 编辑
0
signature
xljin8
×参考诊断
黑色素性Xp11易位肾癌

hansonnameliu 离线

帖子:347
粉蓝豆:9
经验:1051
注册时间:2011-05-26
加关注  |  发消息
56 楼    发表于2012-09-27 21:11:19举报|引用
返回顶部 | 快捷回复

Pecoma.

0
回复

ChenJoan 离线

帖子:288
粉蓝豆:114
经验:466
注册时间:2009-10-02
加关注  |  发消息
55 楼    发表于2012-09-24 19:18:08举报|引用
返回顶部 | 快捷回复

真是精彩。多谢了。

0
回复
signature
Chenjoan

lindongliang2008 离线

帖子:259
粉蓝豆:8
经验:914
注册时间:2009-11-11
加关注  |  发消息
54 楼    发表于2012-09-23 22:09:58举报|引用
返回顶部 | 快捷回复

 上皮样血管平滑肌脂肪瘤,HMB45(+),此例可能也是TFE3也是(+)。

那就考虑TFE-3阳性的Pecoma。Pecoma可有Xp11易位。罕见。

1

海涵
回复

jcw62 离线

帖子:2267
粉蓝豆:468
经验:4978
注册时间:2009-05-23
加关注  |  发消息
53 楼    发表于2012-09-04 21:49:31举报|引用
返回顶部 | 快捷回复

很好的病例,没见过,大家讨论很热烈,专家的总结和点评也非常好!

0
回复

shandongzhang 离线

帖子:804
粉蓝豆:506
经验:1510
注册时间:2006-09-24
加关注  |  发消息
52 楼    发表于2012-09-03 15:19:30举报|引用
返回顶部 | 快捷回复

时间过的真快,但是这个病例仍在记忆中,当初的困惑伴随着时间的流失非但没有退却,反而更加纠结,

yourself  个人觉得本例诊断“黑色素性Xp11易位肾癌”欠妥。依据:1.黑色素性Xp11易位肾癌首先要具备Xp11易位肾癌的临床特点、病理形态学特点及遗传学改变;2.肿瘤细胞内必须含有色素,而且是黑色素而非含铁血黄素。

黑色素性Xp11易位肾癌很"时髦",但是最近所遇到的病例,似乎对该例诊断"黑色素性Xp11易位肾癌"有些不能"理解",先不说自己遇到的病例该如何诊断,就本例"所见"斗胆的做下"猜想"如果不是在肾而是其他部位该如何诊断??

 

0
回复

XLJin8 离线

帖子:2275
粉蓝豆:1531
经验:2417
注册时间:2009-03-04
加关注  |  发消息
51 楼    发表于2011-09-05 21:08:51举报|引用
返回顶部 | 快捷回复
本帖最后由 XLJin8 于 2011-09-07 04:46:43 编辑
引用 36 楼 XLJin8 在 2010-04-16 19:44:00 的发言:
感谢Dr.天山望月。
如果要归纳黑色素性Xp11易位肾癌的临床病理特征,大致如下:
1)青少年患者,一般小于25岁;
2)HE形态更像肾细胞癌;
3)血管周围有明显的纤维素样沉积,
4)无发育不良的厚壁血管、无脂肪细胞;
5)一般肾细胞癌标记阴性;
6)平滑肌和脂肪细胞标记阴性;
7)HMB-45阳性;
8)TFE3+
9)遗传学检测Xp11易位+。
  


1

海上明月
回复
signature
xljin8

feiyanwen 离线

帖子:200
粉蓝豆:3
经验:201
注册时间:2011-03-19
加关注  |  发消息
50 楼    发表于2011-09-05 06:19:52举报|引用
返回顶部 | 快捷回复

低分化透明细胞癌,部分有肉瘤样分化

0
回复
signature
费晏文

XLJin8 离线

帖子:2275
粉蓝豆:1531
经验:2417
注册时间:2009-03-04
加关注  |  发消息
49 楼    发表于2011-09-02 18:36:16举报|引用
返回顶部 | 快捷回复

                       伴XP11易位的肾细胞癌

类型                        发生率             融合产物

t(X;1)(p11;q21)       78%                PECC-TFE3 

t(X;1)(p11.2;p34)    24%                PSE-TFE3

t(X;17(p11.2;q25)  罕见                 ASPL-TFE3 

t(6;11)(p21;q13)    罕见                      TFEB                  

0
回复
signature
xljin8

yourself 离线

帖子:663
粉蓝豆:7137
经验:691
注册时间:2007-06-30
加关注  |  发消息
48 楼    发表于2011-09-01 23:58:53举报|引用
返回顶部 | 快捷回复

谢谢金主任的回复!本例确实有意思,不知有无做TFE3 FISH或其他分子病理检测,结果如何?金主任所提及两篇诊断黑色素性Xp11易位肾癌的文献中作者做的工作比较全面。不过也有如下文献报道,这样增加了诊断和鉴别诊断的复杂性,不过读后感觉是要诊断一个新的肿瘤entity,必须是工作要全面,再加上形态学,后者为最根本。

1. A distinctive subset of PEComas harbors TFE3 gene fusions.

Argani P, Aulmann S, Illei PB, Netto GJ, Ro J, Cho HY, Dogan S, Ladanyi M, Martignoni G, Goldblum JR, Weiss SW.

Am J Surg Pathol. 2010 Oct;34(10):1395-406.

2. Monotypic epithelioid angiomyolipoma of the liver with TFE3 expression.

Wen MC, Jan YJ, Li MC, Wang J, Lin A.

Pathology. 2010 Apr;42(3):300-2.

3. Perivascular epithelioid cell tumor of the nasal cavity with TFE3 expression.

Kuroda N, Goda M, Kazakov DV, Hes O, Michal M, Lee GH.

Pathol Int. 2009 Oct;59(10):769-70.

4.  The role of TFE3 in PEComa.

Cho HY, Chung DH, Khurana H, Zhai QJ, Ro JY.

Histopathology. 2008 Aug;53(2):236-49. Epub 2008 May 28.

 

1

lindongl..
回复

XLJin8 离线

帖子:2275
粉蓝豆:1531
经验:2417
注册时间:2009-03-04
加关注  |  发消息
47 楼    发表于2011-09-01 20:35:59举报|引用
返回顶部 | 快捷回复
本帖最后由 XLJin8 于 2011-09-02 17:13:39 编辑
    • 图1
    • 图2
    • 图3
    • 图4
    • 图5

本病例由上海肿瘤医院提供,IHC标记TFE3+。

如何理解此病人年龄大?请看上述文献摘要。

有没有色素颗粒?请看图7-8。

 

0
回复
signature
xljin8

yourself 离线

帖子:663
粉蓝豆:7137
经验:691
注册时间:2007-06-30
加关注  |  发消息
46 楼    发表于2011-09-01 17:50:33举报|引用
返回顶部 | 快捷回复

为何上传的四张图片未能显示?新的网站似乎还不太熟悉,呵呵!

0
回复

yourself 离线

帖子:663
粉蓝豆:7137
经验:691
注册时间:2007-06-30
加关注  |  发消息
45 楼    发表于2011-09-01 17:48:17举报|引用
返回顶部 | 快捷回复

 图片为金主任所提及的两篇文献中的图片。

0
回复

yourself 离线

帖子:663
粉蓝豆:7137
经验:691
注册时间:2007-06-30
加关注  |  发消息
44 楼    发表于2011-09-01 17:40:16举报|引用
返回顶部 | 快捷回复
本帖最后由 yourself 于 2011-09-01 17:54:03 编辑

谢谢金主任提供的好病例,但 个人觉得本例诊断“黑色素性Xp11易位肾癌”欠妥。

依据:1.黑色素性Xp11易位肾癌首先要具备Xp11易位肾癌的临床特点、病理形态学特点及遗传学改变;

           2.肿瘤细胞内必须含有色素,而且是黑色素而非含铁血黄素。

就本例而言,患者年龄偏大,病理形态学上缺乏Xp11易位肾癌的特点,细胞形态学上更多的是类似“植物细胞样细胞”,类似EAML(PEComa)的细胞;诊断黑色素性Xp11易位肾癌的IHC更重要的是TFE3而非HMB45,以及TFE3 FISH的检测结果;此外,本例未见色素(所给图片未见)。

以上为个人的不成熟意见,请金主任批评指正,谢谢!

0
回复

XLJin8 离线

帖子:2275
粉蓝豆:1531
经验:2417
注册时间:2009-03-04
加关注  |  发消息
43 楼    发表于2011-09-01 16:03:12举报|引用
返回顶部 | 快捷回复
本帖最后由 XLJin8 于 2011-09-01 21:10:50 编辑
引用 22 楼 XLJin8 在 2010-04-01 02:46:00 的发言:
本帖最后由 于 2010-04-01 02:58:00 编辑
以下是引用xljin8在2010-4-1 2:44:00的发言:


肾癌的新类型-黑色素性Xp11易位肾癌。

1. Chang IW, Huang HY, Sung MT. Melanotic Xp11 translocation renal cancer: a case with PSF-TFE3 gene fusion and up-regulation of melanogenetic transcripts. Am J Surg Pathol. 2009;33:1894-901.

Department of Pathology, Chang Gung Memorial Hospital-Kaohsiung Medical Center,Chang Gung University College of Medicine, Kaohsiung, Taiwan.

Melanotic Xp11 translocation renal cancer is a recently recognized aggressive epithelioid neoplasm with features overlapping between PEComa, carcinoma, and melanoma. We describe morphologic and immunohistochemical characteristics of a melanotic Xp11 translocation renal cancer occurring in an 18-year-old girl and perform molecular genetic studies to analyze its genetic alterations and related melanogenetic activities. The tumor was composed of solid nests of epithelioid cells bearing abundant clear to finely granular eosinophilic cytoplasm and separated by delicate vascular septa. Finely granular and nonrefractile brown melanin pigments, highlighted by Fontana-Masson stain, were scattered through the tumor. By immunohistochemistry, the tumor was diffusely and strongly labeled by TFE3 and focally stained by HMB45 in a patchy pattern. In contrast, all other applied immunomarkers, including cytokeratins, epithelial membrane antigen, vimentin, CD10, S-100, smooth muscle actin, desmin, c-kit, CD68, and microphthalmia-associated transcription factor, were nonreactive to the tumor. Reverse transcription-polymerase chain reaction and validating sequencing demonstrated PSF-TFE3 gene fusion, a novel exon composition juxtaposing PSF exon 9 to TFE3 exon 5. Up-regulations of melanogenesis-associated regulators,including microphthalmia-associated transcription factor, tyrosinase (TYR), and tyrosinase-Related protein 1 (TYRP1), were identified in the tumor by semiquantitative reverse transcription-polymerase chain reaction. The morphologic and immunohistochemical discrepancies between this intriguing melanotic tumor and other documented renal cell carcinomas bearing identical PSF-TFE3 gene fusion may suggest melanotic Xp11 translocation renal cancer is a distinct entity among the MiT/TFE family neoplasms.

 

 

2. Argani P, Aulmann S, Karanjawala Z, Fraser RB, Ladanyi M, Rodriguez MM.Melanotic Xp11 translocation renal cancers: a distinctive neoplasm with overlapping features of PEComa, carcinoma, and melanoma. Am J Surg Pathol. 2009 ;33:609-19.

Department of Pathology, The Johns Hopkins Hospital , The Johns Hopkins

University, Baltimore, MD 21231-2410, USA. pargani@jhmi.edu

 

We describe 2 cases of malignant melanotic epithelioid renal neoplasms bearing TFE3 gene fusions. Both neoplasms occurred in children (an 11-y-old boy and a 12-y-old girl), and presented with disseminated metastatic disease including mediastinal and mesenteric adenopathy. Both neoplasms featured sheets of epithelioid cells with clear to finely granular eosinophilic cytoplasm set in a branching capillary vasculature. The neoplastic cells contained variable amounts of finely brown pigment confirmed to be melanin by histochemical stains. By immunohistochemistry, the neoplastic cells labeled for melanocytic markers HMB45 and Melan A, but not for S100 protein, MiTF, or any epithelial marker (cytokeratins, epithelial membrane antigen), renal tubular marker (CD10, PAX8,PAX2, RCC Marker) or muscle marker (actin, desmin). Both neoplasms demonstrated nuclear labeling for TFE3 protein by immunohistochemistry, and the presence of TFE3 gene fusions was confirmed by TFE3 fluorescence in situ hybridization analysis. These distinctive neoplasms combine morphologic features of perivascular epithelioid cell neoplasms (PEComas), Xp11 translocation carcinoma, and melanoma, though the phenotype most closely approaches PEComa. These neoplasms represent the first documented examples in which TFE3 gene fusions coexist with melanin production, and their identification raises the possibility that TFE3 gene fusions may underlie an aggressive subset of lesions currently classified as PEComa in young patients.


By immunohistochemistry, the neoplastic cells labeled for melanocytic markers HMB45 and Melan A, but not for S100 protein, MiTF, or any epithelial marker (cytokeratins, epithelial membrane antigen), renal tubular marker (CD10, PAX8,PAX2, RCC Marker) or muscle marker (actin, desmin).

WHO分类是2004年版,书中描述的是t(Xp11.2) ,与TFE3形成融合基因。而本病例是2009年才报道,请参考上述文献。

0
回复
signature
xljin8

ldx849756917 离线

帖子:244
粉蓝豆:5
经验:802
注册时间:2008-04-24
加关注  |  发消息
42 楼    发表于2011-09-01 10:38:01举报|引用
返回顶部 | 快捷回复
本帖最后由 芳芸 于 2015-12-01 10:35:34 编辑

Xp11.2易位/TFE3基因融合相关性肾癌:形态学上最具特点的表现是透明细胞构成的乳头状结构,但常伴有嗜酸性颗粒细胞组成的巢状结构。透明变性的结节内常见砂粒体。乳头状肾癌-TFE3癌则多见实性巢状结构。免疫组化标记显示瘤细胞核TFE3蛋白阳性,约50%病例上皮标记物阳性(CK、EMA),且常呈灶状阳性。肿瘤恒定表达肾细胞癌标记物和CD10.通常认为肿瘤进展缓慢。以上参考WHO肿瘤分类一书。内容与金主任总结的有出入,不知如何为好!

0
回复
signature
Tumors do not read textbooks!肿瘤不厚道,它从不按常规出牌!

WLH001030 离线

帖子:205
粉蓝豆:462
经验:603
注册时间:2007-11-20
加关注  |  发消息
16 楼    发表于2010-08-04 09:20:00举报|引用
返回顶部 | 快捷回复
 学习
0
回复

WLH001030 离线

帖子:205
粉蓝豆:462
经验:603
注册时间:2007-11-20
加关注  |  发消息
17 楼    发表于2010-08-04 09:19:00举报|引用
返回顶部 | 快捷回复
 好病例,学习了!
0
回复

zhanglei 离线

帖子:3751
粉蓝豆:2077
经验:3901
注册时间:2006-09-26
加关注  |  发消息
18 楼    发表于2010-07-18 15:00:00举报|引用
返回顶部 | 快捷回复
 好病例!学习!
0
回复

wy1992 离线

帖子:4858
粉蓝豆:1
经验:7320
注册时间:2007-06-30
加关注  |  发消息
19 楼    发表于2010-04-18 20:59:00举报|引用
返回顶部 | 快捷回复
 谢谢金主任为我们提供了如此精彩的病例!
0
回复
signature

朱正龙

ldhwj 离线

帖子:204
粉蓝豆:2
经验:204
注册时间:2007-12-18
加关注  |  发消息
20 楼    发表于2010-04-17 17:56:00举报|引用
返回顶部 | 快捷回复
 学习中!
0
回复
回复:56 阅读:11563
共3页/56条首页上一页123下一页尾页
【免责声明】讨论内容仅作学术交流之用,不作为诊疗依据,由此而引起的法律问题作者及本站不承担任何责任。
快速回复
进入高级回复
您最多可输入10000个汉字,按 "Ctrl" + "Enter" 直接发送
搜索回复/乘电梯 ×
按内容
按会员
乘电梯
合作伙伴
友情链接