共1页/5条首页上一页1下一页尾页
回复:5 阅读:1465
眼睑肿块

zhengfunian 离线

帖子:308
粉蓝豆:162
经验:372
注册时间:2009-12-14
加关注  |  发消息
楼主 发表于 2025-06-05 14:22|举报|关注(0)
浏览排序[ 顺序 逆序 楼主 支持 精彩 ]  快捷回复
性别年龄62岁临床诊断
一般病史眼睑肿块
标本名称眼睑肿块
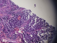
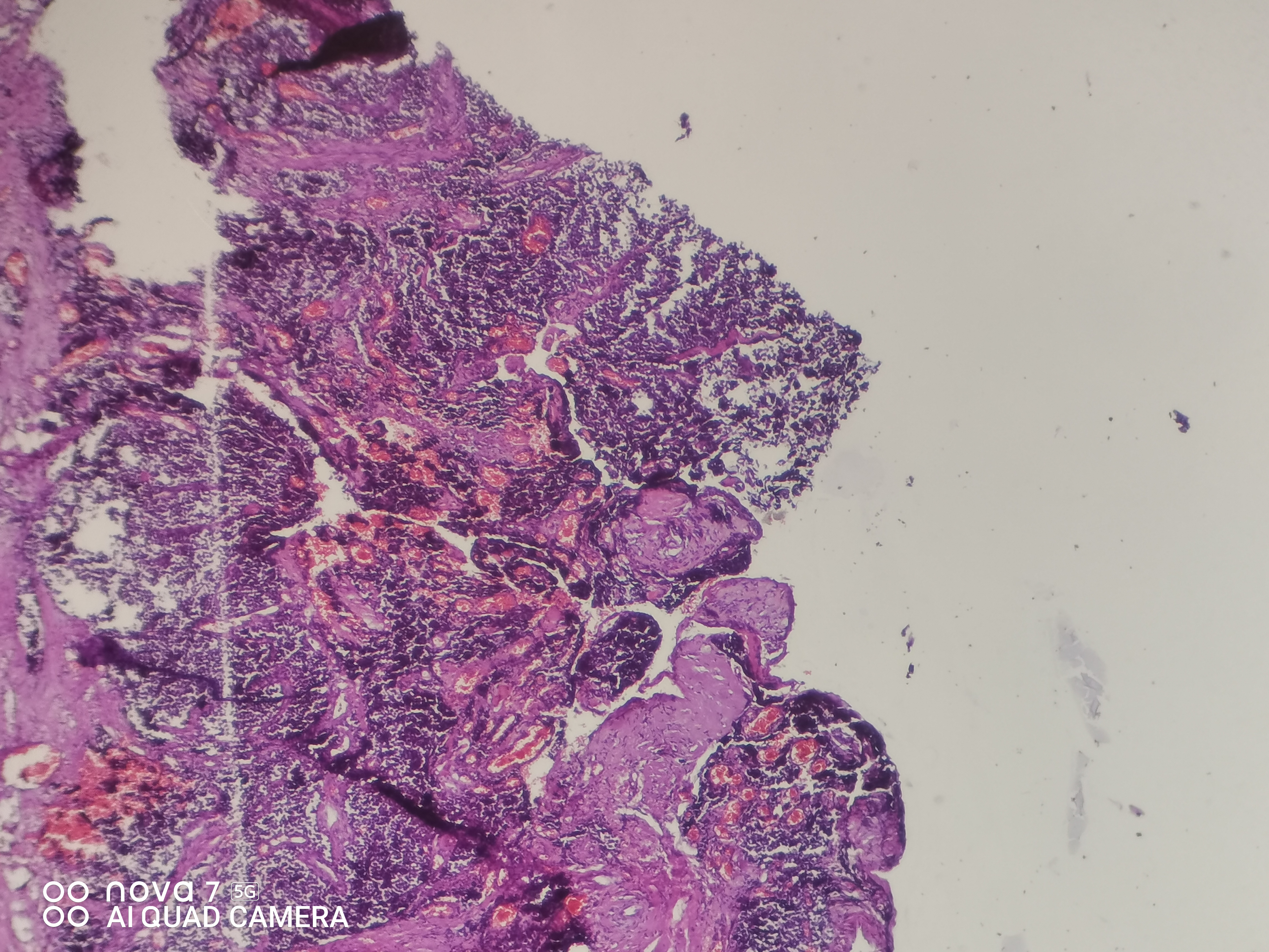
大体所见0.7*0.5cm灰白色组织。
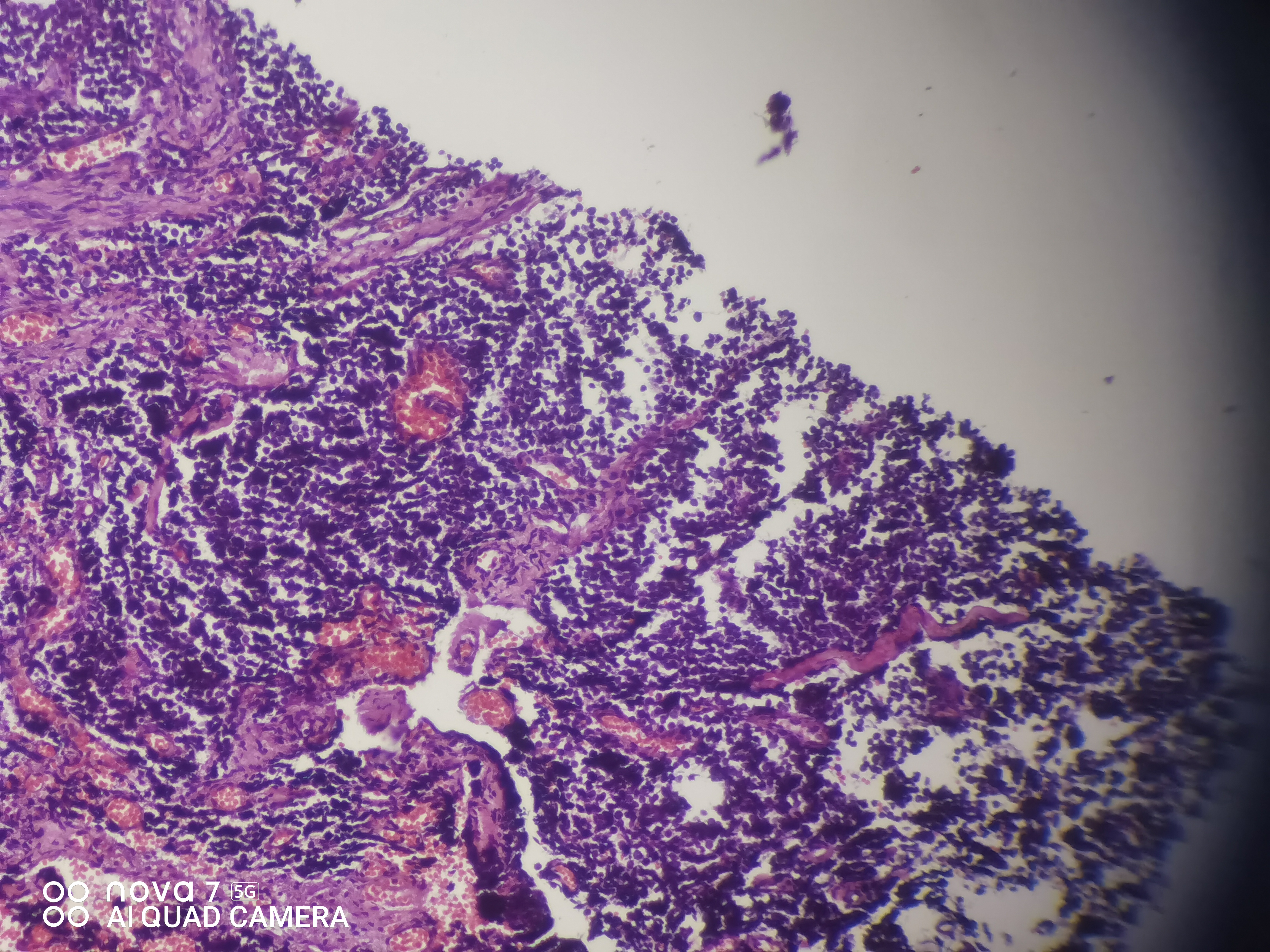
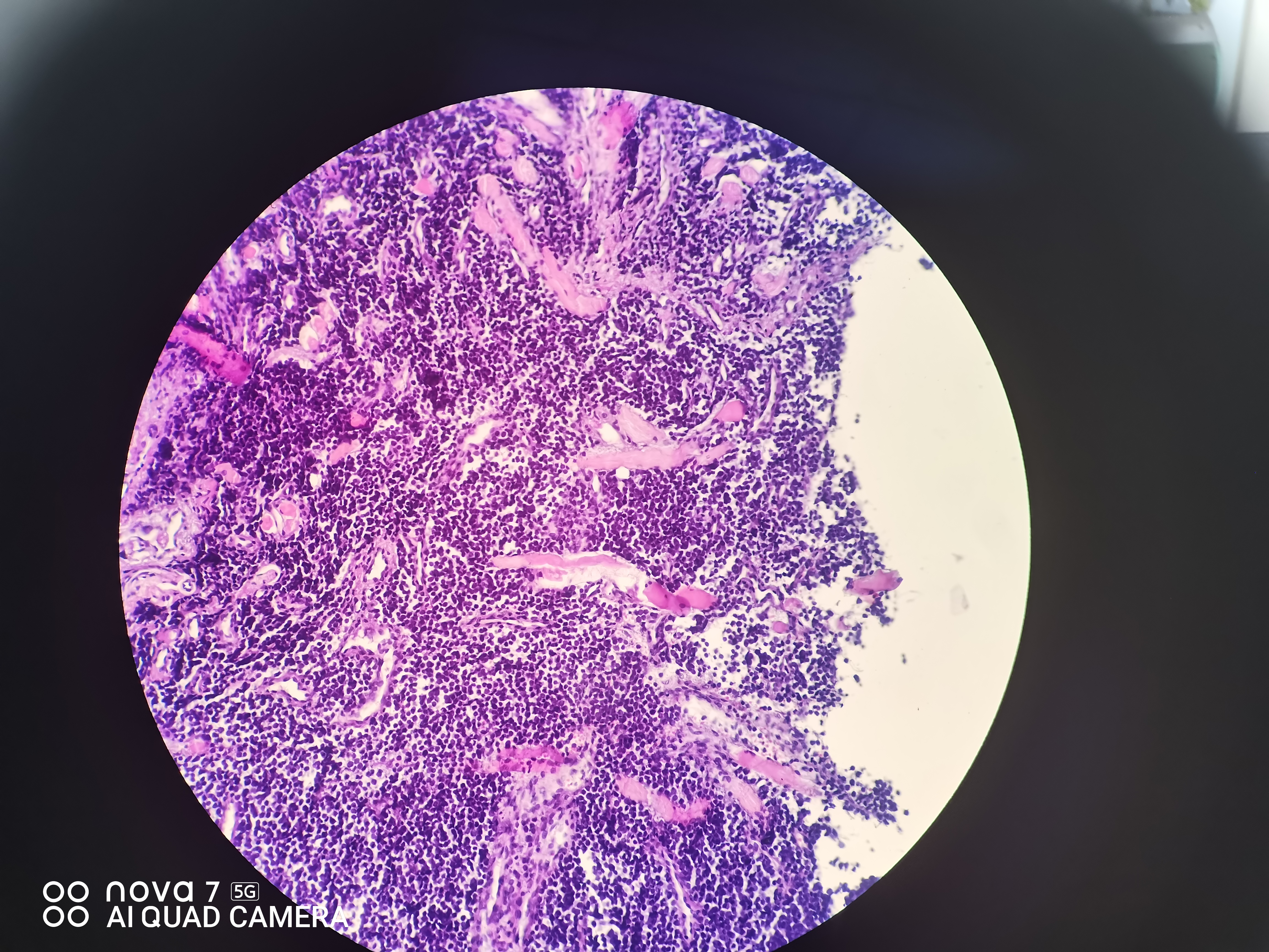
第一次手术标本0.7*0.5cm灰白色组织。1、2、3、图片。1月后复发送检1.5*0.8cm皮肤组织。4、5、图片。镜下见大量淋巴细胞浸润,考虑淋巴细胞慢性炎。请各位老师会诊。谢谢
  • 图1
  • 图2
  • 图3
  • 图4
  • 图5
    标签:
    0
    添加参考诊断
    ×参考诊断
      

    whyang315 在线

    帖子:7692
    粉蓝豆:426
    经验:9393
    注册时间:2014-05-04
    加关注  |  发消息
    1 楼    发表于2025-06-06 15:40:08举报|引用
    返回顶部 | 快捷回复

     考虑:炎症

    0
    回复

    lei 离线

    帖子:501
    粉蓝豆:36
    经验:1360
    注册时间:2006-12-11
    加关注  |  发消息
    2 楼    发表于2025-06-07 10:40:07举报|引用
    返回顶部 | 快捷回复

    除外隋性淋巴瘤或粘膜相关……

    0
    回复

    一孔之见 离线

    帖子:1710
    粉蓝豆:99
    经验:11719
    注册时间:2013-10-20
    加关注  |  发消息
    3 楼    发表于2025-06-07 11:24:39举报|引用
    来自Android 返回顶部 | 快捷回复
    这要做个免疫组化鉴别一下
    0
    回复
    signature
    新手,请多指导!

    zhengfunian 离线

    帖子:308
    粉蓝豆:162
    经验:372
    注册时间:2009-12-14
    加关注  |  发消息
    4 楼    发表于2025-06-07 16:34:03举报|引用
    返回顶部 | 快捷回复

    谢谢各位老师。 已嘱患者,借片外出会诊。

    0
    回复

    蝴蝶兰dali2003 离线

    帖子:12511
    粉蓝豆:2448
    经验:13080
    注册时间:2009-09-06
    加关注  |  发消息
    5 楼    发表于2025-06-07 20:36:56举报|引用
    返回顶部 | 快捷回复

     需要做一做免疫组化协助诊断。

    0
    回复
    signature
    相逢是首歌,同行是你和我。
    回复:5 阅读:1465
    共1页/5条首页上一页1下一页尾页
    【免责声明】讨论内容仅作学术交流之用,不作为诊疗依据,由此而引起的法律问题作者及本站不承担任何责任。
    快速回复
    进入高级回复
    您最多可输入10000个汉字,按 "Ctrl" + "Enter" 直接发送
    搜索回复/乘电梯 ×
    按内容
    按会员
    乘电梯
    合作伙伴
    友情链接