共1页/4条首页上一页1下一页尾页
回复:5 阅读:1777
右肺上叶穿刺活检

wjr2019 离线

帖子:28
粉蓝豆:475
经验:39
注册时间:2019-02-10
加关注  |  发消息
楼主 发表于 2023-08-25 10:59|举报|关注(1)
浏览排序[ 顺序 逆序 楼主 支持 精彩 ]  快捷回复
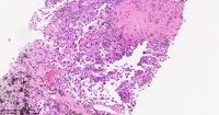
性别年龄61岁临床诊断肺占位性病变
一般病史CT示中-上偏右侧肿块、胸廓入口气管旁肿块、右肺上叶尖段高危结节
标本名称右肺上叶穿刺组织
大体所见穿刺组织条数根
考虑低分化腺癌?大细胞肺癌? 免疫结果:TTF-1(肺泡上皮+)、CK5/6(肺泡上皮基底+)、P63(肺泡上皮基底+)、Syn(-)、CgA(-)、Ki-67(10%+)——免疫组化不支持诊断,还是说需要加做抗体CK7、NapsinA? 是否需要排除间皮瘤,淋巴瘤和生殖系统肿瘤的可能?
  • 图1
  • 图2
  • 图3
  • 图4
  • 图5
  • 图6
  • 图7
  • 图8
  • 图9
  • 图10
  • 图11
  • 图12
    标签:
    0
    添加参考诊断
    ×参考诊断
      

    杨成华 离线

    帖子:6273
    粉蓝豆:261
    经验:7141
    注册时间:2014-12-16
    加关注  |  发消息
    1 楼    发表于2023-08-25 19:00:22举报|引用
    返回顶部 | 快捷回复

     核异形,恶性病变,核有偏位,标一下,是否为浆细胞瘤。

    0
    回复

    whyang315 离线

    帖子:7669
    粉蓝豆:426
    经验:9365
    注册时间:2014-05-04
    加关注  |  发消息
    2 楼    发表于2023-08-25 20:41:35举报|引用
    返回顶部 | 快捷回复

     建议:加做CK7;NapsinA;P40等,排除大细胞肺癌。

    0
    回复

    青皮橘 离线

    帖子:266
    粉蓝豆:310
    经验:659
    注册时间:2014-09-12
    加关注  |  发消息
    3 楼    发表于2023-08-26 19:33:38举报|引用
    返回顶部 | 快捷回复

     恶性肿瘤,转移性的也要考虑,比如恶黑

    0
    回复

    蝴蝶兰dali2003 离线

    帖子:12459
    粉蓝豆:2448
    经验:13028
    注册时间:2009-09-06
    加关注  |  发消息
    4 楼    发表于2023-08-26 20:07:23举报|引用
    返回顶部 | 快捷回复

    KI67只有10%? 先加广谱CK,CK7。

    0
    收起回复
    • wjr2019:  部分切片组织断开了,重做了次是40%
      来自Android 2023-08-28 02:53
    signature
    相逢是首歌,同行是你和我。
    回复:5 阅读:1777
    共1页/4条首页上一页1下一页尾页
    【免责声明】讨论内容仅作学术交流之用,不作为诊疗依据,由此而引起的法律问题作者及本站不承担任何责任。
    快速回复
    进入高级回复
    您最多可输入10000个汉字,按 "Ctrl" + "Enter" 直接发送
    搜索回复/乘电梯 ×
    按内容
    按会员
    乘电梯
    合作伙伴
    友情链接