共1页/5条首页上一页1下一页尾页
回复:5 阅读:909
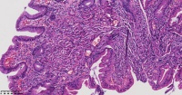
胃粘膜异位?

hzh001439 离线

帖子:4889
粉蓝豆:109
经验:7277
注册时间:2012-03-22
加关注  |  发消息
楼主 发表于 2023-03-17 17:09|举报|关注(1)
浏览排序[ 顺序 逆序 楼主 支持 精彩 ]  快捷回复
性别年龄51岁临床诊断十二指肠球部息肉
一般病史十二指肠球部息肉
标本名称十二指肠球部息肉
大体所见十二指肠球部息肉
  • 图1
  • 图2
  • 图3
  • 图4
  • 图5
  • 图6
  • 图7
  • 图8
  • 图9
    标签:
    0
    signature
    昆明
    添加参考诊断
    ×参考诊断
      

    yymclb 离线

    帖子:919
    粉蓝豆:124
    经验:3435
    注册时间:2009-06-17
    加关注  |  发消息
    2 楼    发表于2023-03-20 07:38:02举报|引用
    返回顶部 | 快捷回复

     胃粘膜腺体异位

    2

    lanyue

    青皮橘
    回复

    杨成华 离线

    帖子:6273
    粉蓝豆:261
    经验:7141
    注册时间:2014-12-16
    加关注  |  发消息
    1 楼    发表于2023-03-18 09:08:09举报|引用
    返回顶部 | 快捷回复
    本帖最后由 杨成华 于 2023-03-18 09:08:49 编辑

     慢性炎,息肉样增生,未见十二指肠腺体,请结合胃镜检查。

    0
    回复

    平医病理 离线

    帖子:84
    粉蓝豆:163
    经验:94
    注册时间:2020-10-05
    加关注  |  发消息
    3 楼    发表于2023-03-25 07:45:42举报|引用
    来自Android 返回顶部 | 快捷回复
    憩室
    0
    回复

    qaz0538 离线

    帖子:1
    粉蓝豆:5
    经验:1
    注册时间:2023-03-25
    加关注  |  发消息
    4 楼    发表于2023-03-25 09:32:15举报|引用
    来自Android 返回顶部 | 快捷回复
    胃粘膜异位
    0
    回复

    蝴蝶兰dali2003 离线

    帖子:12243
    粉蓝豆:2448
    经验:12812
    注册时间:2009-09-06
    加关注  |  发消息
    5 楼    发表于2023-03-25 20:04:14举报|引用
    返回顶部 | 快捷回复

     支持楼主意见。

    0
    回复
    signature
    相逢是首歌,同行是你和我。
    回复:5 阅读:909
    共1页/5条首页上一页1下一页尾页
    【免责声明】讨论内容仅作学术交流之用,不作为诊疗依据,由此而引起的法律问题作者及本站不承担任何责任。
    快速回复
    进入高级回复
    您最多可输入10000个汉字,按 "Ctrl" + "Enter" 直接发送
    搜索回复/乘电梯 ×
    按内容
    按会员
    乘电梯
    合作伙伴
    友情链接