共1页/6条首页上一页1下一页尾页
回复:6 阅读:1031
食道溃疡?

hzh001439 离线

帖子:4899
粉蓝豆:112
经验:7287
注册时间:2012-03-22
加关注  |  发消息
楼主 发表于 2022-12-29 14:45|举报|关注(0)
浏览排序[ 顺序 逆序 楼主 支持 精彩 ]  快捷回复
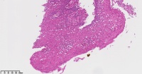
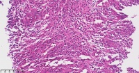
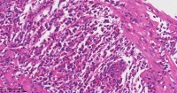
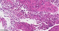
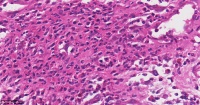
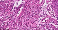
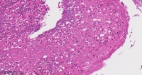
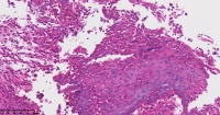
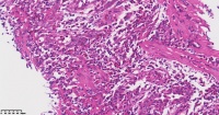
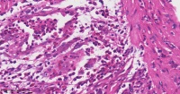
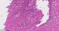
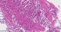
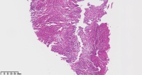
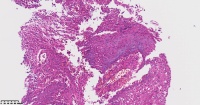
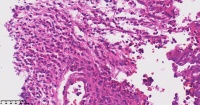
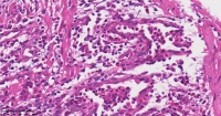
性别年龄61岁临床诊断
一般病史食道溃疡性质待查
标本名称食道溃疡性质待查
大体所见食道溃疡性质待查
  • 图1
  • 图2
  • 图3
  • 图4
  • 图5
  • 图6
  • 图7
  • 图8
  • 图9
  • 图10
  • 图11
  • 图12
  • 图13
  • 图14
  • 图15
  • 图16
  • 图17
  • 图18
  • 图19
  • 图20
  • 图21
  • 图22
  • 图23
  • 图24
  • 图25
    标签:
    0
    signature
    昆明
    添加参考诊断
    ×参考诊断
      

    蝴蝶兰dali2003 离线

    帖子:12345
    粉蓝豆:2448
    经验:12914
    注册时间:2009-09-06
    加关注  |  发消息
    4 楼    发表于2022-12-31 19:42:02举报|引用
    返回顶部 | 快捷回复

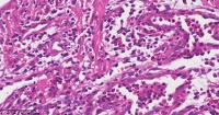
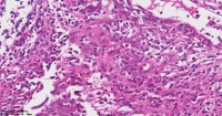
     考虑炎性病变,高倍镜下找找看有没有念珠菌。

    1

    yymclb
    回复
    signature
    相逢是首歌,同行是你和我。

    杨成华 离线

    帖子:6273
    粉蓝豆:261
    经验:7141
    注册时间:2014-12-16
    加关注  |  发消息
    1 楼    发表于2022-12-30 09:41:36举报|引用
    返回顶部 | 快捷回复

    溃疡伴局部上皮低级别。 

    0
    回复

    whyang315 离线

    帖子:7652
    粉蓝豆:426
    经验:9346
    注册时间:2014-05-04
    加关注  |  发消息
    2 楼    发表于2022-12-30 20:33:46举报|引用
    返回顶部 | 快捷回复

     最好重制片,或重取材!

    0
    回复

    feiji1984 离线

    帖子:70
    粉蓝豆:30
    经验:104
    注册时间:2017-09-28
    加关注  |  发消息
    3 楼    发表于2022-12-30 23:48:23举报|引用
    返回顶部 | 快捷回复
    应该是炎症
    0
    回复

    lanyue 离线

    帖子:9082
    粉蓝豆:1626
    经验:16673
    注册时间:2014-03-29
    加关注  |  发消息
    5 楼    发表于2023-01-02 08:51:11举报|引用
    返回顶部 | 快捷回复

     大量嗜酸性粒细胞浸润,查找原因

    0
    回复

    fuyong 离线

    帖子:6879
    粉蓝豆:2713
    经验:12692
    注册时间:2008-03-10
    加关注  |  发消息
    6 楼    发表于2023-01-02 23:46:04举报|引用
    返回顶部 | 快捷回复

     食管溃疡,嗜酸细胞性食管炎,总体感觉还是炎症引起的不典型

    0
    回复
    signature
    多读书,读好书
    回复:6 阅读:1031
    共1页/6条首页上一页1下一页尾页
    【免责声明】讨论内容仅作学术交流之用,不作为诊疗依据,由此而引起的法律问题作者及本站不承担任何责任。
    快速回复
    进入高级回复
    您最多可输入10000个汉字,按 "Ctrl" + "Enter" 直接发送
    搜索回复/乘电梯 ×
    按内容
    按会员
    乘电梯
    合作伙伴
    友情链接