共1页/4条首页上一页1下一页尾页
回复:4 阅读:1250
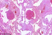
海绵状血管瘤?

hzh001439 离线

帖子:4889
粉蓝豆:109
经验:7277
注册时间:2012-03-22
加关注  |  发消息
楼主 发表于 2022-12-26 09:24|举报|关注(0)
浏览排序[ 顺序 逆序 楼主 支持 精彩 ]  快捷回复
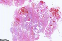
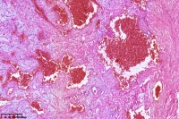
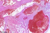
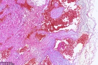
性别年龄22岁临床诊断
一般病史头皮包块
标本名称头皮包块
大体所见头皮包块
  • 图1
  • 图2
  • 图3
  • 图4
  • 图5
  • 图6
  • 图7
  • 图8
  • 图9
  • 图10
  • 图11
  • 图12
  • 图13
  • 图14
  • 图15
  • 图16
  • 图17
  • 图18
  • 图19
  • 图20
    标签:
    0
    signature
    昆明
    添加参考诊断
    ×参考诊断
      

    杨成华 离线

    帖子:6273
    粉蓝豆:261
    经验:7141
    注册时间:2014-12-16
    加关注  |  发消息
    1 楼    发表于2022-12-26 09:41:33举报|引用
    返回顶部 | 快捷回复

     同意楼主意见,海绵状血管瘤。

    2

    yjb10259..

    lanyue
    回复

    michaelus_z 在线

    帖子:1
    粉蓝豆:10
    经验:91
    注册时间:2016-04-27
    加关注  |  发消息
    3 楼    发表于2023-01-06 20:23:00举报|引用
    返回顶部 | 快捷回复

    整形血管外科现在多按照ISSVA的分类,而不是WHO的,所以在诊断前可以先和专科外科医生进行沟通

    0
    回复

    fuyong 离线

    帖子:6879
    粉蓝豆:2606
    经验:12692
    注册时间:2008-03-10
    加关注  |  发消息
    4 楼    发表于2023-01-07 14:44:16举报|引用
    返回顶部 | 快捷回复

     血管瘤

    0
    回复
    signature
    多读书,读好书

    蝴蝶兰dali2003 离线

    帖子:12243
    粉蓝豆:2448
    经验:12812
    注册时间:2009-09-06
    加关注  |  发消息
    2 楼    发表于2022-12-26 19:50:31举报|引用
    返回顶部 | 快捷回复

     支持楼主意见。

    0
    回复
    signature
    相逢是首歌,同行是你和我。
    回复:4 阅读:1250
    共1页/4条首页上一页1下一页尾页
    【免责声明】讨论内容仅作学术交流之用,不作为诊疗依据,由此而引起的法律问题作者及本站不承担任何责任。
    快速回复
    进入高级回复
    您最多可输入10000个汉字,按 "Ctrl" + "Enter" 直接发送
    搜索回复/乘电梯 ×
    按内容
    按会员
    乘电梯
    合作伙伴
    友情链接