共1页/2条首页上一页1下一页尾页
回复:2 阅读:1393
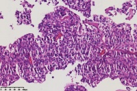
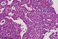
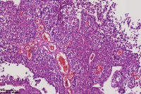
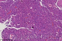
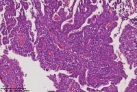
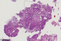
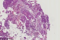
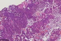
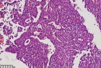
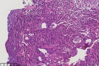
浸润性乳头状尿路上皮癌,高级别?

hzh001439 离线

帖子:4889
粉蓝豆:109
经验:7277
注册时间:2012-03-22
加关注  |  发消息
楼主 发表于 2022-06-27 16:34|举报|关注(0)
浏览排序[ 顺序 逆序 楼主 支持 精彩 ]  快捷回复
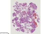
性别年龄41岁临床诊断
一般病史膀胱占位
标本名称膀胱占位
大体所见膀胱占位
  • 图1
  • 图2
  • 图3
  • 图4
  • 图5
  • 图6
  • 图7
  • 图8
  • 图9
  • 图10
  • 图11
  • 图12
  • 图13
  • 图14
  • 图15
  • 图16
  • 图17
  • 图18
  • 图19
  • 图20
  • 图21
  • 图22
  • 图23
  • 图24
  • 图25
    标签:
    0
    signature
    昆明
    添加参考诊断
    ×参考诊断
      

    杨成华 离线

    帖子:6273
    粉蓝豆:261
    经验:7141
    注册时间:2014-12-16
    加关注  |  发消息
    1 楼    发表于2022-06-27 17:13:50举报|引用
    返回顶部 | 快捷回复
    本帖最后由 杨成华 于 2022-06-27 17:16:12 编辑

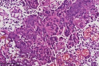
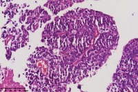
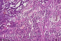
     低级别尿路上皮癌。(膀胱尿路上皮癌分非浸润低级别,高级别和浸润性两级)

    1

    lanyue
    回复

    蝴蝶兰dali2003 离线

    帖子:12243
    粉蓝豆:2448
    经验:12812
    注册时间:2009-09-06
    加关注  |  发消息
    2 楼    发表于2022-06-27 20:45:29举报|引用
    返回顶部 | 快捷回复

     部分区域有高级别。

    组织烧灼变性明显,浸润情况判断起来比较困难。

    1

    千百合
    回复
    signature
    相逢是首歌,同行是你和我。
    回复:2 阅读:1393
    共1页/2条首页上一页1下一页尾页
    【免责声明】讨论内容仅作学术交流之用,不作为诊疗依据,由此而引起的法律问题作者及本站不承担任何责任。
    快速回复
    进入高级回复
    您最多可输入10000个汉字,按 "Ctrl" + "Enter" 直接发送
    搜索回复/乘电梯 ×
    按内容
    按会员
    乘电梯
    合作伙伴
    友情链接