共1页/15条首页上一页1下一页尾页
回复:15 阅读:3167
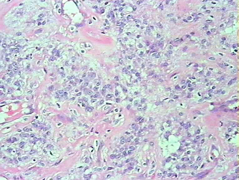
腹部肿物会诊血管球瘤

weixiao 离线

帖子:90
粉蓝豆:1059
经验:328
注册时间:2011-12-13
加关注  |  发消息
楼主 发表于 2011-12-13 22:37|举报|关注(1)
浏览排序[ 顺序 逆序 楼主 支持 精彩 ]  快捷回复

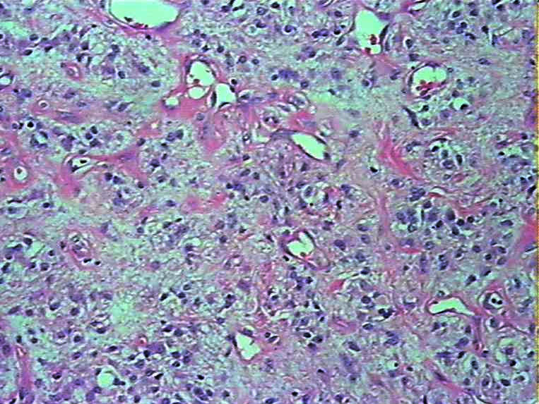
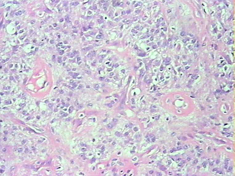
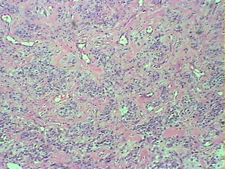
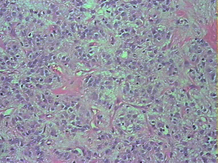
女45发现下腹部皮下肿物4个月

 灰白色肿物一枚,9*8*5cm,切面实性、质韧,似有包膜

  • 腹部肿物会诊血管球瘤图1
    图1
  • 腹部肿物会诊血管球瘤图2
    图2
  • 腹部肿物会诊血管球瘤图3
    图3
  • 腹部肿物会诊血管球瘤图4
    图4
  • 腹部肿物会诊血管球瘤图5
    图5
  • 腹部肿物会诊血管球瘤图6
    图6
  • 腹部肿物会诊血管球瘤图7
    图7















8

标签:腹部肿物
本帖最后由 weixiao 于 2011-12-30 22:52:55 编辑
0
×参考诊断
血管球瘤

五月的风 离线

帖子:368
粉蓝豆:19
经验:1359
注册时间:2007-09-19
加关注  |  发消息
1 楼    发表于2011-12-13 22:49:17举报|引用
返回顶部 | 快捷回复

部位,年龄,性别,病史?

0
回复

山川 离线

帖子:324
粉蓝豆:18
经验:926
注册时间:2010-12-28
加关注  |  发消息
2 楼    发表于2011-12-13 22:53:00举报|引用
返回顶部 | 快捷回复

临床资料,与腹腔、腹膜的关系?

0
回复
signature
看图识字

TK1905 离线

帖子:962
粉蓝豆:283
经验:1054
注册时间:2010-03-14
加关注  |  发消息
3 楼    发表于2011-12-13 23:17:27举报|引用
返回顶部 | 快捷回复

同楼上2位同问!

0
回复

zxh123 离线

帖子:24
粉蓝豆:366
经验:260
注册时间:2011-05-06
加关注  |  发消息
4 楼    发表于2011-12-14 02:31:14举报|引用
返回顶部 | 快捷回复
临床并使,部位,年龄,性别
0
回复

zhouquan 离线

帖子:7752
粉蓝豆:297
经验:8263
注册时间:2008-11-09
加关注  |  发消息
5 楼    发表于2011-12-14 07:05:58举报|引用
返回顶部 | 快捷回复

您的诊断

1、副节瘤

2、PECOMA

3、GIST

4、圆细胞脂肪肉瘤

5、MPNST

6、SFT/HPC

7、滑肉

8、癌,恶黑等

期待组化

2

jianghan..

再燃一根..
回复
signature
成功不是得到多少东西,而是把身上多余的东西的扔掉多少。   

haozhaoxing 离线

帖子:767
粉蓝豆:51
经验:1465
注册时间:2010-03-14
加关注  |  发消息
6 楼    发表于2011-12-14 08:10:47举报|引用
返回顶部 | 快捷回复

部位,年龄,性别,病史?

0
回复
signature

厚积薄发

ZZRR 离线

帖子:433
粉蓝豆:579
经验:1757
注册时间:2009-04-09
加关注  |  发消息
7 楼    发表于2011-12-14 08:30:27举报|引用
返回顶部 | 快捷回复

考虑恶性梭行细胞肿瘤,组化标记。

0
回复
signature
爱学习

fuyong 离线

帖子:6879
粉蓝豆:2638
经验:12692
注册时间:2008-03-10
加关注  |  发消息
8 楼    发表于2011-12-14 10:57:00举报|引用
返回顶部 | 快捷回复

副节瘤

0
回复
signature
多读书,读好书

hxxtl 离线

帖子:709
粉蓝豆:565
经验:3217
注册时间:2009-01-07
加关注  |  发消息
9 楼    发表于2011-12-14 11:12:04举报|引用
返回顶部 | 快捷回复

病史、手术情况不告知,没法讨论!

0
回复
signature
集腋成裘 厚积薄发

zhouquan 离线

帖子:7752
粉蓝豆:297
经验:8263
注册时间:2008-11-09
加关注  |  发消息
10 楼    发表于2011-12-14 18:30:25举报|引用
返回顶部 | 快捷回复

请楼主告知部位,年龄,性别,病史,手术情况

0
回复
signature
成功不是得到多少东西,而是把身上多余的东西的扔掉多少。   

贝贝 离线

帖子:851
粉蓝豆:15
经验:1510
注册时间:2007-11-23
加关注  |  发消息
11 楼    发表于2011-12-14 20:04:27举报|引用
返回顶部 | 快捷回复

SFT建议IHC

0
回复

TK1905 离线

帖子:962
粉蓝豆:283
经验:1054
注册时间:2010-03-14
加关注  |  发消息
12 楼    发表于2011-12-14 22:15:26举报|引用
返回顶部 | 快捷回复
本帖最后由 TK1905 于 2011-12-14 22:15:49 编辑

楼主快点更新相关资料啊,仅凭HE形态还有点像软组织透明细胞肉瘤,可是病理诊断不是孤立性的形态学诊断,要综合尽量多的资料信息才能准确诊断,单纯地凭形态学诊断很容易出错,因为不同病变有相似形态学特征

0
回复

weixiao 离线

帖子:90
粉蓝豆:1059
经验:328
注册时间:2011-12-13
加关注  |  发消息
13 楼    发表于2011-12-24 15:15:30举报|引用
返回顶部 | 快捷回复

会诊血管球瘤

0
回复

202PL 离线

帖子:850
粉蓝豆:129
经验:1050
注册时间:2010-06-19
加关注  |  发消息
14 楼    发表于2012-01-10 22:40:23举报|引用
返回顶部 | 快捷回复

学习了

0
回复

catcat 离线

帖子:1187
粉蓝豆:0
经验:2152
注册时间:2008-07-10
加关注  |  发消息
15 楼    发表于2015-01-18 20:20:04举报|引用
返回顶部 | 快捷回复
引用 14 楼 202PL 在 2012-01-10 22:40:23 的发言:

学习了


0
回复
回复:15 阅读:3167
共1页/15条首页上一页1下一页尾页
【免责声明】讨论内容仅作学术交流之用,不作为诊疗依据,由此而引起的法律问题作者及本站不承担任何责任。
快速回复
进入高级回复
您最多可输入10000个汉字,按 "Ctrl" + "Enter" 直接发送
搜索回复/乘电梯 ×
按内容
按会员
乘电梯
合作伙伴
友情链接