共1页/15条首页上一页1下一页尾页
回复:15 阅读:8293
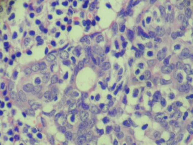
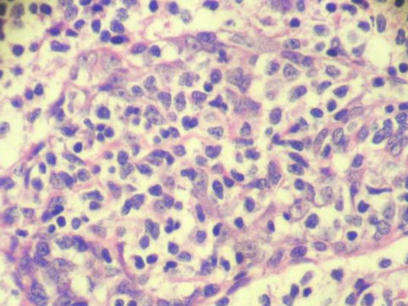
腮腺肿物:良性淋巴上皮病变(Mikulicz病)

guofuqiangjing 离线

帖子:791
粉蓝豆:18
经验:954
注册时间:2010-07-22
加关注  |  发消息
楼主 发表于 2011-09-02 21:40|举报|关注(6)
浏览排序[ 顺序 逆序 楼主 支持 精彩 ]  快捷回复

女,71岁,腮腺肿物,临床诊断混合瘤。 

  • 腮腺肿物:良性淋巴上皮病变(Mikulicz病)图1
    图1
  • 腮腺肿物:良性淋巴上皮病变(Mikulicz病)图2
    图2
  • 腮腺肿物:良性淋巴上皮病变(Mikulicz病)图3
    图3
  • 腮腺肿物:良性淋巴上皮病变(Mikulicz病)图4
    图4
  • 腮腺肿物:良性淋巴上皮病变(Mikulicz病)图5
    图5
  • 腮腺肿物:良性淋巴上皮病变(Mikulicz病)图6
    图6
  • 腮腺肿物:良性淋巴上皮病变(Mikulicz病)图7
    图7
  • 腮腺肿物:良性淋巴上皮病变(Mikulicz病)图8
    图8
  • 腮腺肿物:良性淋巴上皮病变(Mikulicz病)图9
    图9

 
 
 
 
 
  • 腮腺肿物:良性淋巴上皮病变(Mikulicz病)图10
    图1
  • 腮腺肿物:良性淋巴上皮病变(Mikulicz病)图11
    图2
  • 腮腺肿物:良性淋巴上皮病变(Mikulicz病)图12
    图3
  • 腮腺肿物:良性淋巴上皮病变(Mikulicz病)图13
    图4
  • 腮腺肿物:良性淋巴上皮病变(Mikulicz病)图14
    图5

标签:
本帖最后由 xclbljys 于 2011-09-06 20:42:25 编辑
2
添加参考诊断
×参考诊断
  

zhouquan 离线

帖子:7752
粉蓝豆:302
经验:8263
注册时间:2008-11-09
加关注  |  发消息
1 楼    发表于2011-09-02 21:50:22举报|引用
返回顶部 | 快捷回复

同意良性淋巴上皮病变

1

开心快乐..
回复
signature
成功不是得到多少东西,而是把身上多余的东西的扔掉多少。   

kint123 离线

帖子:1620
粉蓝豆:240
经验:2095
注册时间:2009-01-31
加关注  |  发消息
2 楼    发表于2011-09-03 07:23:11举报|引用
返回顶部 | 快捷回复

 很典型

0
回复
signature
The More We See, The Less We Know!

wfx07 离线

帖子:23
粉蓝豆:85
经验:333
注册时间:2011-05-11
加关注  |  发消息
3 楼    发表于2011-09-07 19:24:05举报|引用
返回顶部 | 快捷回复

图像不够清晰

0
回复
signature
天生我才必有用

阿娇 离线

帖子:2054
粉蓝豆:3301
经验:2384
注册时间:2008-05-31
加关注  |  发消息
4 楼    发表于2011-09-08 08:37:47举报|引用
返回顶部 | 快捷回复

增生的上皮样细胞团怎么有些像血管内皮呢,不够清晰。

0
回复

益医 离线

帖子:242
粉蓝豆:1004
经验:682
注册时间:2009-11-15
加关注  |  发消息
5 楼    发表于2011-09-08 08:43:58举报|引用
返回顶部 | 快捷回复

良性淋巴上皮病变

0
回复
signature
tangzhuirong

owen84007 离线

帖子:354
粉蓝豆:50
经验:406
注册时间:2009-07-10
加关注  |  发消息
6 楼    发表于2011-09-08 23:27:36举报|引用
返回顶部 | 快捷回复

良性淋巴上皮病变

0
回复

feiyanwen 离线

帖子:200
粉蓝豆:3
经验:201
注册时间:2011-03-19
加关注  |  发消息
7 楼    发表于2011-09-10 05:50:50举报|引用
返回顶部 | 快捷回复

 良性淋巴上皮病变

0
回复
signature
费晏文

wfx07 离线

帖子:23
粉蓝豆:85
经验:333
注册时间:2011-05-11
加关注  |  发消息
8 楼    发表于2011-10-20 21:56:12举报|引用
返回顶部 | 快捷回复

腺淋巴瘤

0
回复
signature
天生我才必有用

华之夏 离线

帖子:354
粉蓝豆:39
经验:722
注册时间:2010-09-03
加关注  |  发消息
9 楼    发表于2011-10-22 11:55:06举报|引用
返回顶部 | 快捷回复

良性淋巴上皮病变

0
回复

hyl76 离线

帖子:781
粉蓝豆:656
经验:3771
注册时间:2007-06-05
加关注  |  发消息
10 楼    发表于2011-10-22 17:27:16举报|引用
返回顶部 | 快捷回复

良性淋巴上皮病变

1

王海伟
回复
signature
学无止境,不进则退!

龙子 离线

帖子:370
粉蓝豆:9
经验:563
注册时间:2012-03-09
加关注  |  发消息
11 楼    发表于2012-03-10 22:37:48举报|引用
返回顶部 | 快捷回复

淋巴乳头状囊腺瘤

0
回复
signature
复兴帝国

龙子 离线

帖子:370
粉蓝豆:9
经验:563
注册时间:2012-03-09
加关注  |  发消息
12 楼    发表于2012-03-10 22:45:18举报|引用
返回顶部 | 快捷回复

学习了!!!!可惜没法复制

0
回复
signature
复兴帝国

xiaoyulovely 离线

帖子:647
粉蓝豆:5
经验:825
注册时间:2008-05-05
加关注  |  发消息
13 楼    发表于2012-04-09 10:27:50举报|引用
返回顶部 | 快捷回复

良性淋巴上皮病变。

0
回复

yangrunmei 离线

帖子:172
粉蓝豆:1887
经验:197
注册时间:2017-01-21
加关注  |  发消息
14 楼    发表于2017-08-01 22:32:22举报|引用
返回顶部 | 快捷回复

 嗯

0
回复

fanhuali 离线

帖子:57
粉蓝豆:32
经验:57
注册时间:2017-07-26
加关注  |  发消息
15 楼    发表于2018-06-11 15:46:11举报|引用
返回顶部 | 快捷回复

学习了,谢谢 

0
回复
回复:15 阅读:8293
共1页/15条首页上一页1下一页尾页
【免责声明】讨论内容仅作学术交流之用,不作为诊疗依据,由此而引起的法律问题作者及本站不承担任何责任。
快速回复
进入高级回复
您最多可输入10000个汉字,按 "Ctrl" + "Enter" 直接发送
搜索回复/乘电梯 ×
按内容
按会员
乘电梯
合作伙伴
友情链接