共1页/5条首页上一页1下一页尾页
回复:4 阅读:2804
Sixty old man with proteinuria and hematuria

quhong 离线

帖子:493
粉蓝豆:24
经验:953
注册时间:2009-02-22
加关注  |  发消息
楼主 发表于 2011-08-01 22:45|举报|关注(0)
浏览排序[ 顺序 逆序 楼主 支持 精彩 ]  快捷回复

  • Sixty old man with proteinuria and hematuria图1
    图1
  • Sixty old man with proteinuria and hematuria图2
    图2
  • Sixty old man with proteinuria and hematuria图3
    图3
  • Sixty old man with proteinuria and hematuria图4
    图4
  • Sixty old man with proteinuria and hematuria图5
    图5
  • Sixty old man with proteinuria and hematuria图6
    图6
  • Sixty old man with proteinuria and hematuria图7
    图7
  • Sixty old man with proteinuria and hematuria图8
    图8
  • Sixty old man with proteinuria and hematuria图9
    图9
标签:
本帖最后由 quhong 于 2011-08-01 22:46:54 编辑
0
添加参考诊断
×参考诊断
  

quhong 离线

帖子:493
粉蓝豆:24
经验:953
注册时间:2009-02-22
加关注  |  发消息
4 楼    发表于2011-08-25 22:48:10举报|引用
返回顶部 | 快捷回复

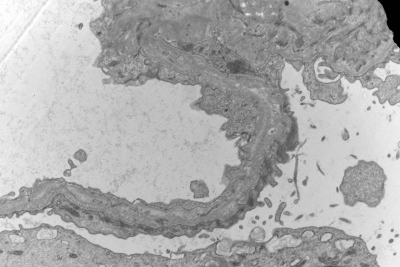
 The patient has a long history of "chronic kidney disease". Initially, he did not tell the nephrologist that he started to have kidney disease decades ago. Given the characteristic ultrastructural changes, Alport's syndrome is suggested.

0
回复

quhong 离线

帖子:493
粉蓝豆:24
经验:953
注册时间:2009-02-22
加关注  |  发消息
3 楼    发表于2011-08-23 04:08:59举报|引用
返回顶部 | 快捷回复

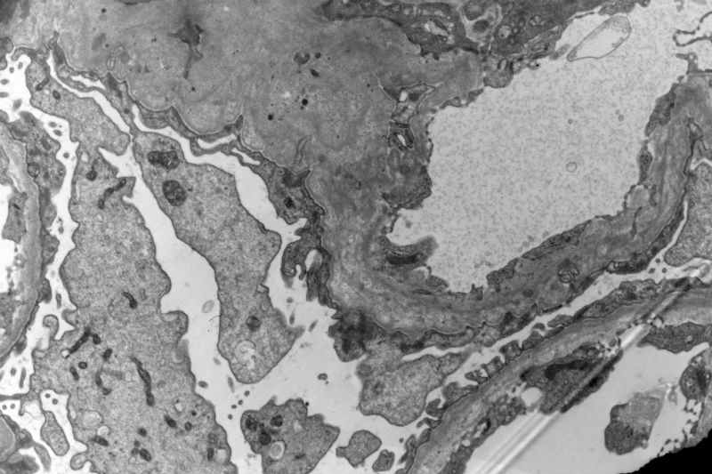
 In the photo #7, there are three platelets in the capillary lumen. I don't know their significance.

0
回复

quhong 离线

帖子:493
粉蓝豆:24
经验:953
注册时间:2009-02-22
加关注  |  发消息
3 楼    发表于2011-08-23 04:08:53举报|引用
返回顶部 | 快捷回复

 In the photo #7, there are three platelets in the capillary lumen. I don't know their significance.

0
回复

quhong 离线

帖子:493
粉蓝豆:24
经验:953
注册时间:2009-02-22
加关注  |  发消息
2 楼    发表于2011-08-23 04:06:12举报|引用
返回顶部 | 快捷回复

 Yes, I agree with your observation that there are a lot of foamy cells. The most impressive change is the lamination or splitting of the glomerular basement membrane.

0
回复

quhong 离线

帖子:493
粉蓝豆:24
经验:953
注册时间:2009-02-22
加关注  |  发消息
1 楼    发表于2011-08-15 09:55:36举报|引用
返回顶部 | 快捷回复
本帖最后由 quhong 于 2011-08-15 09:59:00 编辑
  • 图1
  • 图2
  • 图3
  • 图4
  • 图5

 Here are the additional EM photos with high magnification:

0
回复
回复:4 阅读:2804
共1页/5条首页上一页1下一页尾页
【免责声明】讨论内容仅作学术交流之用,不作为诊疗依据,由此而引起的法律问题作者及本站不承担任何责任。
快速回复
进入高级回复
您最多可输入10000个汉字,按 "Ctrl" + "Enter" 直接发送
搜索回复/乘电梯 ×
按内容
按会员
乘电梯
合作伙伴
友情链接